Comunicación breve

 

Caracterización clínica y radiológica de pacientes positivos a la COVID-19

Clinical and radiological characterization of COVID-19 positive patients

 

Orlando Adolfo Lovelle Enriquez1* https://orcid.org/0000-0003-3944-3514
Wilfredo de Jesús Machín Cabrera1 https://orcid.org/0000-0001-6254-2276
Marlén Pérez Díaz2 https://orcid.org/0000-0002-3706-9154
Miguel Ángel Rodríguez Allende3 https://orcid.org/0000-0003-2015-9812

 

1Hospital Militar "Comandante Manuel Fajardo Rivero". Villa Clara, Cuba.
2Universidad Central "Marta Abreu" de las Villas. Villa Clara, Cuba.
3Hospital Clínico Quirúrgico Hermanos Ameijeiras. La Habana, Cuba.

*Autor para la correspondencia. Correo electrónico: lovelle@infomed.sld.cu

 

 


RESUMEN
Introducción: Desde el surgimiento de los primeros casos en la pandemia de la COVID-19, se ha desarrollado una carrera vertiginosa en crear un espacio de investigación para el diagnóstico, tratamiento y control de la enfermedad.
Objetivo: Describir las características clínicas y radiológicas de los pacientes con la COVID-19.
Métodos: Se realizó un estudio descriptivo, en el período comprendido de marzo a octubre del año 2020, se estudiaron 404 pacientes de todas las edades, ingresados, con diagnóstico confirmado con PCR en tiempo real. Las variables utilizadas fueron: edad, sexo, síntomas y radiografía del tórax.
Resultados: El 54,5 % de los pacientes fueron del sexo femenino y entre ellos asintomáticos el 55,9 %; el 36,9 % tenía entre 40 a 59 años de edad, en los menores de 20 años, el 64,9 % no presentó síntomas de la enfermedad al ingreso. Estuvieron asintomáticos el 53,5 %; el 76,6 % de las radiografías positivas correspondieron a los sintomáticos, la tos fue el síntoma más frecuente. La mayor positividad en la radiografía del tórax se encontró en los pacientes mayores de 60 años, se observó como patrón más frecuente, la opacidad en velo, de distribución periférica.
Conclusiones: Predominan los pacientes asintomáticos, la positividad de las radiografías es mayor en los ancianos.

Palabras clave: coronavirus; COVID-19; radiografía torácica; neumonía.


ABSTRACT

Introduction: Since the emergence of the first cases of COVID-19 pandemic, a dizzying race has developed in creating a research space for the diagnosis, treatment and control of the disease.
Objective: To describe the clinical and radiological characteristics of patients with COVID-19.
Methods: A descriptive study was carried out, in the period from March to October 2020, 404 patients of all ages, admitted, with confirmed diagnosis with real-time PCR, were studied. The variables used were: age, sex, symptoms and chest X-ray.
Results: 54.5% of the patients were female and 55,9 % of them were asymptomatic, 36,9 % were between 40 and 59 years old, in those under 20 years 64,9 % were not. They presented symptoms of the disease upon admission 53,5 % were asymptomatic, 76,6 % of the positive radiographs corresponded to the symptomatic ones, coughing was the most frequent symptom. The greatest positivity in the chest X-ray was found in patients older than 60 years, the most frequent pattern was the opacity in the peripheral distribution veil.
Conclusions:
Asymptomatic patients predominate, the positivity of radiographs is higher in the elderly.

Keywords: coronavirus; COVID-19; chest radiography; pneumonia.


 

 

Recibido: 15/04/2021
Aprobado: 03/08/2021

 

 

INTRODUCCIÓN

La COVID-19 puede presentarse desde estadios leves hasta graves, con un cuadro clínico que varía desde formas asintomáticas, hasta la neumonía y llegar al síndrome de dificultad respiratoria aguda (SDRA), lo cual puede asociarse a choque séptico y la muerte.(1,2) Los principales síntomas presentados por los pacientes son: tos, fiebre, dificultad para respirar, diarrea, vómitos y dolores musculares.(3,4) Existe predisposición a presentar formas graves de la enfermedad en pacientes de avanzada edad y con enfermedades crónicas no trasmisibles.(5,6)

El período de incubación oscila alrededor de 5 días (intervalo: 4 a 7 días) con un máximo de 12 a 13 días. El SARS-CoV-2 se trasmite por pequeñas gotas de secreciones respiratorias de pacientes infectados, cuando tosen, estornudan, o mediante el contacto de las manos contaminadas con la boca, nariz o la conjuntiva ocular. Puede trasmitirse por pacientes asintomáticos, así como por el contacto con superficies contaminadas.(7,8)

El diagnóstico de la COVID-19 es microbiológico. Las técnicas de imagen tienen un papel significativo para ayudar al diagnóstico, calcular la gravedad de la enfermedad, guiar el tratamiento, detectar posibles complicaciones y valorar la respuesta terapéutica.(9)

Diferentes órganos y sistemas pueden ser afectados por el SARS-CoV-2. El sistema respiratorio es el más afectado, de ahí la utilización de exámenes imagenológicos, como la radiografía de tórax, la tomografía axial computarizada y la ecografía torácica. Si bien se ha expresado la baja sensibilidad de la radiografía de tórax en estadios iniciales de la enfermedad, su disponibilidad, accesibilidad y bajo costo, la sitúan como el estudio de elección en la evaluación del sistema respiratorio.(6,9) Los hallazgos radiológicos más frecuentes son las opacidades del espacio aéreo, en forma de consolidaciones u opacidades, con distribución típicamente bilateral, periférica y de predominio en los campos inferiores.

La tomografía axial computarizada ha sido usada en China como el estudio imagenológico de inicio para esta enfermedad,(4,5) pero su elevado costo, la no disponibilidad en todos los centros de atención y los tiempos de descontaminación entre un paciente y otro, han hecho que las sociedades de radiología recomienden la utilización, como primer estudio, de la radiografía del tórax.(9)

El objetivo del presente artículo es describir las características clínicas y radiológicas de pacientes con la COVID-19.

 

 

MÉTODOS

Se realizó un estudio observacional descriptivo, en el período comprendido de marzo a octubre del año 2020, en el Hospital Militar "Comandante Manual Fajardo Rivero", de Santa Clara. Fueron estudiados 404 pacientes, con edad entre 5 meses de hasta los 100 años, ingresados en la institución, con diagnóstico confirmado del SARS-CoV-2, mediante la prueba de reacción en cadena de la polimerasa (PCR) en tiempo real. Se revisaron las historias clínicas y la radiografía de tórax realizadas al ingreso en el hospital.

Las variables de estudio fueron: sexo; edad (agrupada en menor de 20 años, 20 a 39, 40 a 59 y 60 y más años); presencia o no de síntomas; síntomas (codificados de forma dicotómica: "Sí" para presencia de fiebre, tos, disnea, dolor de cabeza, mialgia, artralgia, astenia, vómitos, diarrea, congestión nasal, u otros síntomas; y "No" si el paciente estaba asintomático en el momento de la admisión).

La radiografía de tórax fue clasificada en negativa (examen sin hallazgos radiológicos o bien no correlacionados con síntomas clínicos). Para el informe de las radiografías positivas se asumió el consenso de la Sociedad Cubana de Imagenología (opacidad en velo de distribución periférica, opacidad en velo con áreas de consolidación segmentaria, opacidad de distribución central para hiliar y patrón reticular). Los hallazgos en la radiografía de tórax fueron evaluados, de forma conjunta por 2 radiólogos, expertos con más de 20 años de experiencia; fue informado el acuerdo entre ambos.

Análisis estadístico: los datos de las variables, fueron procesados mediante un análisis de frecuencias; además se utilizó la prueba de ji cudrado (χ2) para determinar independencia entre pares de variables. Para la toma de la decisión estadística se prefijó un nivel de significación α de 0,05 (si p < α, existe relación significativa entre las variables estudiadas; si p ≥ α, no existe relación significativa entre las variables).

Para el diseño y ejecución de este estudio se tuvo en cuenta la declaración de Helsinki de la Asociación Médica Mundial. Se respetó el principio de confidencialidad con la identidad de los pacientes, así como de la información recogida. Solo se emplea para los fines científicos declarados.

 

 

RESULTADOS

En la tabla 1 se muestra que del total de pacientes con la COVID-19, el grupo de edad de 40 a 59 años fue el más afectado con 149 pacientes (36,9 %). En los menores de 20 años, el 64,9 % no presentó síntomas al ingreso; en los mayores de 60 años, el 52,7 % refirió síntomas. Al aplicar la prueba de χ 2 se encontró que no hubo relación entre las variables edad y presencia de síntomas (p > 0,05).

Al analizar el sexo, se aprecia predominio del sexo femenino, con 220 pacientes (54,5 %). Fueron asintomáticas el 55,9 % de las mujeres y el 50,5 % de los hombres. No hubo relación entre las variables sexo y presencia de síntomas (p > 0,05).

El 11,6 % presentó alteraciones en la radiografía inicial. Al relacionar la sintomatología con el estudio radiológico se observa que en el 23,4 % de los pacientes asintomáticos la radiografía de tórax fue positiva y entre los sintomáticos, el 76,6 %.Se encontró relación muy siginficativa entre las variables (p < 0,01).

En la figura 1, se representan los pacientes según sintomatología, al particularizar en quienes manifestaron síntomas al momento del ingreso (188; 46,5 %), obsérvese que el 37,8 % presentó tos; la fiebre apareció en el 30,8 %, el dolor de cabeza (23,9 %), la congestión nasal (21,8 %) y porcentajes menores refirieron, astenia, disnea, artralgia y diarrea.

 

 

La figura 2 representa a los pacientes con radiografía positiva según edad y sintomatología. Se observa cómo a medida que aumenta la edad, hubo más hallazgos positivos en la radiografía, a una razón de 2,61 pacientes con alteraciones radiológicas en el grupo de 60 y más años, con respecto a los demás grupos de edades.

 

 

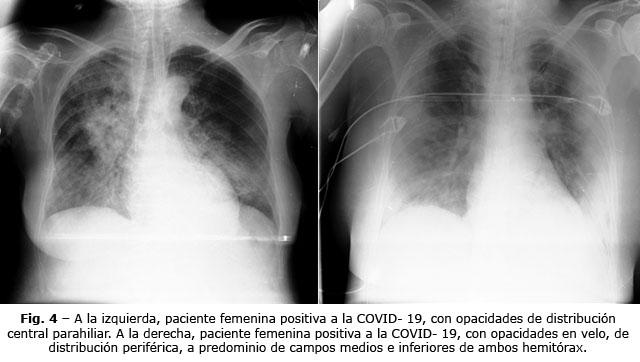
En la figura 3, se muestran los patrones de las radiografías; el 48,9 % presentó opacidad en velo de distribución periférica. Las lesiones caracterizadas por opacidad en velo con áreas de consolidación segmentaria y las opacidades de distribución central parahiliar, estuvieron presentes en el 19,2 %. Obsérvese en la figura 4, las radiografías que indican las imágenes características de pacientes con la COVID-19.

 

 

 

DISCUSIÓN

Existió predominio de pacientes que al momento del ingreso se encontraban asintomáticos, similar al del total del país.(10) Oran y otros,(11) tras realizar un metaanálisis en 21 estudios, concluyen que la ausencia de síntomas en individuos positivos al SARS-CoV-2, oscila de 5 al 80 % de estos casos.

Estudios realizados por Shi y otros(12) informan síntomas en el siguiente orden de frecuencia: tos (56 %), disnea (42 %) y rinorrea (26 %). Coincide la tos como primer síntoma, al igual que en este estudio; otros autores(4,13,14) encuentran como síntoma más frecuente, la fiebre, seguido de tos.

La radiografía de tórax puede ser normal en los casos leves o en las fases precoces de la enfermedad. En un estudio realizado por Ippolito y otros,(13) refieren que la proporción de pacientes con alteraciones de la radiografía inicial, fue de solo el 33 % en coreanos con SARS-CoV-2 y de un 60 % en los chinos. Toussie y otros,(6) reportan un 50 % de infectados por el virus, con una radiografía inicial negativa.

Los autores antes citados,(6,11,13) cuando realizaron el análisis de las imágenes radiológicas según la edad, encontraron que los pacientes mayores de 40 años pueden presentar más alteraciones y que la edad está asociada con el incremento del riesgo de hallazgos patognomónicos de la enfermedad. Se concuerda con ellos,(6,11) que esto podría situar a la radiografía de tórax, como un indicador independiente de pronóstico, en pacientes con la COVID-19.

Borrero y otros,(15) compararon los hallazgos radiológicos en pacientes con diferentes edades que desarrollaron la COVID-19 y concluyeron que esta enfermedad viral es menos agresiva en personas jóvenes sin comorbilidades, que en personas con 60 años y más con enfermedades crónicas. Aguirre y otros,(16) hacen alusión a que en la mayoría de los niños con la COVID-19, no presentan alteraciones en la radiografía de tórax.

Resulta importante destacar que pueden asociarse en cuanto a formas radiológicas de presentación varios de los patrones, en este estudio 5 pacientes presentaron asociación de lesiones en velo, de distribución periférica con lesiones de distribución central, lo que indica que la enfermedad puede adoptar más de un patrón radiológico.

Jacobi y otros,(17) reportan que uno de los hallazgos más específicos de la COVID-19, es la afectación periférica de los pulmones, así como el patrón reticular; también consideran rara la aparición de derrame pleural en la radiografía de tórax, lo cual concuerda con los resultados de este estudio. Yang y otros,(5) plantean que pueden aparecer sombras disparejas, pequeñas, múltiples, por cambios intersticiales en la zona más baja de los pulmones y con la evolución de la enfermedad, podrían manifestarse como consolidaciones múltiples.

Otros autores(1,9) reportan que las imágenes más características observadas en la radiografía son: opacidades periféricas, aumento de la densidad de forma difusa y tenue, patrón intersticial focal o difuso, patrón alveolo-intersticial. Una potencial desventaja del método radiológico sería su baja sensibilidad para detectar enfermedad leve o en estadio temprano, así como su menor capacidad para definir algunos diagnósticos diferenciales.(18) Los autores consideran que la radiografía de tórax inicial es útil en el diagnóstico de la COVID-19, pues aun cuando es negativa, permite estratificar a los pacientes en categorías de riesgo y estimar su pronóstico, para auxiliar la toma de decisiones clínicas. Estas razones, han motivado trabajar a través de la aplicación de técnicas de inteligencia artificial para la clasificación automática de esta enfermedad. Los resultados hasta la fecha, en la investigación en curso, son prometedores.(19)

En la investigación predominaron los pacientes asintomáticos y la positividad de las radiografías fue mayor en los ancianos. El estudio de los factores clínicos y de imagen aporta elementos claves para iniciar estrategias terapéuticas efectivas y disminuir las complicaciones de la COVID-19.

 

 

REFERENCIAS BIBLIOGRÁFICAS

1. Nair A, Rodrigues JCL, Hare S, Edey A, Devaraj A, Jacob J, et al. A British Society of Thoracic Imaging statement: considerations in designing local imaging diagnostic algorithms for the COVID-19 pandemic. Clin Radiol. 2020 [aceso: 20/02/2021]; 75(5):329-34. Disponible en: https://www.ncbi.nlm.nih.gov/pmc/articles/PMC7128118/

2. Zhang L, Guo H. Biomarkers of COVID-19 and technologies to combat SARS-CoV-2. Adv Biomark Sci Technol. 2020 [acceso: 12/02/2021]; 2:1-23. Disponible en: https://www.ncbi.nlm.nih.gov/pmc/articles/PMC7435336/

3. Wang D, Hu B, Hu C, Zhu F, Liu X, Zhang J, et al. Clinical Characteristics of 138 Hospitalized Patients With 2019 Novel Coronavirus-Infected Pneumonia in Wuhan, China. JAMA. 2020 [acceso: 12/02/2021]; 323(11):1061-9. Disponible en: https://pubmed.ncbi.nlm.nih.gov/32031570/

4. Zu ZY, Jiang MD, Xu PP, Chen W, Ni QQ, Lu GM, et al. Coronavirus Disease 2019 (COVID-19): A Perspective from China. Radiology. 2020 [acceso: 02/02/2021]; 296(2): E2515-E2517. Disponible en: https://pubmed.ncbi.nlm.nih.gov/32083985/

5. Yang Q, Liu Q, Xu H, Lu H, Liu S, Li H. Imaging of coronavirus disease 2019: A Chinese expert consensus statement. European Journal of Radiology. 2020 [acceso: 22/01/2021]; 127: 109008. Disponible en: https://www.ncbi.nlm.nih.gov/pmc/articles/PMC7165105/

6. Toussie D, Voutsinas N, Finkelstein M, Cedillo MA, Manna S, Maron SZ, et al. Clinical and Chest Radiography Features Determine Patient Outcomes in Young and Middle-aged Adults with COVID-19. Radiology. 2020 [acceso: 22/01/2021]; 297(1): E197-E206. Disponible en: https://pubmed.ncbi.nlm.nih.gov/32407255/

7. Sánchez Oro R, Torres Nuez J, Martínez Sanz G. La radiología en el diagnóstico de la neumonía por SARS-CoV-2 (COVID-19). Med Clin (Barc). 2020 [acceso: 22/01/2021]; 155(1): 36-40. Disponible en: https://www.ncbi.nlm.nih.gov/pmc/articles/PMC7128716/

8. Villafuerte Delgado D, Ojeda Delgado L, Valladares Valle M, Díaz Yanes N, Yanes Isray O, Cerda Parra G. Aspectos imagenológicos útiles en el diagnóstico y seguimiento de pacientes con COVID-19. Medisur. 2020 [acceso: 22/01/2021]; 18(5): [aprox. 12 p.]. Disponible en: https://medisur.sld.cu/index.php/medisur/article/view/4715

9. Martínez Chamorro E, Díez Tascón A, Ibáñez Sanz L, Ossaba Vélez S, Borruel Nacenta S. Radiologic diagnosis of patients with COVID-19. Radiologia. 2021 [acceso: 14/02/2021]; 63(1):56-73. Disponible en: https://www.ncbi.nlm.nih.gov/pmc/articles/PMC7685043/#

10. Ministerio de Salud Pública en Cuba. Archivo diario: Parte de cierre del día 22 de abril a las 12 de la noche. La Habana: Minsap; 2020. [acceso: 20/12/2020]. Disponible en: https://salud.msp.gob.cu/2020/04/23/

11. Oran DP, Topol EJ. Prevalence of asymptomatic SARS-CoV-2 infection: A narrative Review. Ann Intern Med. 2020 [acceso: 20/01/2021]; 2020: 1-6. Disponible en: https://www.ncbi.nlm.nih.gov/pmc/articles/PMC7281624/pdf/aim-olf-M203012.pdf

12. Shi H, Han X, Jiang N, Cao Y, Alwalid O, Gu J, et al. Radiological Findings From 81 Patients With COVID-19 Pneumonia in Wuhan, China: a Descriptive Study. The Lancet. Infectious Diseases. 2020 [acceso: 12/02/ 2021]; 20(4):425-34. Disponible en: https://www.thelancet.com/article/S1473-3099(20)30086-4/fulltext

13. Ippolito D, Pecorelli A, Maino C, Capodaglio C, MarianiI, Giandola T, et al. Diagnostic impact of bedside chest X-ray features of 2019 novel coronavirus in the routine admission at the emergency department: case series from Lombardy region. European Journal of Radiology. 2020 [acceso: 20/12/2020]; 12: [aprox. 12 p.]. Disponible en: https://www.ejradiology.com/article/S0720-048X%2820%2930281-3/fulltext

14. Chen N, Zhou M, Dong X, Qu J, Gong F, Han Y, et al. Epidemiological and clinical characteristics of 99 cases of 2019 novel coronavirus pneumonia in Wuhan, China: a descriptive study. Lancet. 2020 [acceso: 20/12/2020]; 395(10223): 507-13. Disponible en: https://pubmed.ncbi.nlm.nih.gov/32007143/

15. Borrero R, Marquez S, Triana G. Chest CT in coronavirus pandemic. Are there really age based radiological and clinical differences? Eur J Radiol. 2020 [acceso: 12/02/2021]; 129: 109-7. Disponible en: https://www.ncbi.nlm.nih.gov/pmc/articles/PMC7832114/

16. Aguirre Pascual E, Coca Robinot D, Gallego Herrero D, Navallas Irujo M, Rasero Ponferrada M, Pont Vilalta M. Radiografía de tórax pediátrica en la era COVID. Radiología. 2021 [acceso: 12/02/ 2021]; 63(2): 106-14. Disponible en: https://www.ncbi.nlm.nih.gov/pmc/articles/PMC7817389/

17. Jacobi A, Chung M, Bernheim A, Eber C. Portable chest X-ray in coronavirus disease-19 (COVID-19): A pictorial review. Clin Imaging. 2020 [acceso: 12/02/2021]; 64: 35-42. Disponible en: https://www.ncbi.nlm.nih.gov/pmc/articles/PMC7141645/

18. Teixeira e Silva Torres PP, Loureiro Irion K, Marchiori E. COVID-19: radiografia de tórax na predição de desfecho clínico. J. Bras. Pneumol. 2020 [acceso: 10/02/2021]; 46(5): e20200464. Disponible en: https://www.jornaldepneumologia.com.br/details/3441/pt-BR

19. López Cabrera JD, Orozco Morales R, Portal Diaz JA, Lovelle Enríquez O, Pérez Díaz M. Current limitations to identify COVID-19 using artificial intelligence with chest X-ray imaging. Health and Technology. 2021 [acceso: 12/02/2021]; 11:411-24 Disponible en: https://link.springer.com/content/pdf/10.1007/s12553-021-00520-2.pdf

 

 

Conflictos de intereses

Los autores plantean que no tienen conflictos de intereses.

 

Contribuciones de los autores

Conceptualización: Orlando Adolfo Lovelle Enríquez.
Curación de datos: Orlando Adolfo Lovelle Enríquez, Wilfredo de Jesús Machín Cabrera.
Análisis formal: Orlando Adolfo Lovelle Enríquez, Wilfredo de Jesús Machín Cabrera, Marlen Pérez Díaz.
Investigación: Orlando Adolfo Lovelle Enríquez, Miguel Ángel Rodríguez Allende.
Metodología: Orlando Adolfo Lovelle Enríquez, Miguel Ángel Rodríguez Allende.
Redacción - borrador original: Adolfo Lovelle Enríquez, Wilfredo de Jesús Machín Cabrera.
Redacción - revisión y edición: Orlando Adolfo Lovelle Enríquez, Marlen Pérez Díaz.