Artículo de opinión

 

Visión de las causas de muerte por la COVID-19 con las experiencias de las autopsias

Vision of the causes of death by COVID-19 with the experiences of autopsies

 

Teresita Montero González1* https://orcid.org/0000-0003-3372-6791
José Domingo Hurtado de Mendoza Amat1 https://orcid.org/0000-0002-6749-0986
Israel Borrajero Martínez2 https://orcid.org/0000-0001-5645-3453
Virginia Capó de Paz3 https://orcid.org/0000-0002-9711-9475
Laura López Marín4 https://orcid.org/0000-0002-0251-5812
Yusleidys Fraga Martínez1 https://orcid.org/0000-0002-8162-0353
Leticia del Rosario Cruz1 https://orcid.org/0000-0002-7863-4586
Felipe Neri Piñol Jiménez5 https://orcid.org/0000-0003-0522-8875

 

1Hospital Militar Central "Dr. Luis Díaz Soto". La Habana, Cuba.
2Hospital "Hermanos Ameijeiras". La Habana, Cuba.
3Instituto Medicina Tropical "Dr. Pedro Kouri". La Habana, Cuba.
4Centro Nacional de Cirugía Mínimo Acceso. La Habana, Cuba.

*Autor para la correspondencia. Correo electrónico: teremg@infomed.sld.cu

 

 


RESUMEN

El 30 de enero de 2020, la Organización Mundial de la Salud declaró a la infección por SARS-CoV-2 una emergencia internacional de salud pública. La autopsia, considerada el mejor método de estudio del enfermo y la enfermedad, corrobora que los pacientes pueden morir por la acción directa del virus (fallecidos por la COVID-19), mientras que otros positivos al SARS-CoV-2, no mostraron cambios morfológicos pulmonares atribuidos a la acción del virus. Se propone establecer los criterios diagnósticos morfológicos en el contexto de la epidemia por el SARS-CoV-2 y la COVID-19 en los fallecidos en Cuba, a partir del estudio sistemático de las autopsias. Se han identificado los patrones morfológicos que se establecen en los pulmones de los pacientes fallecidos bajo el efecto de la COVID-19. El edema pulmonar de permeabilidad con el ensanchamiento de tabique pulmonar, el depósito de la membrana hialina desorganizada en el interior de los alveolos, el desprendimiento de células epiteliales (neumocitos y células bronquiales y bronquiolares), seguida de la hiperplasia epitelial con presencia en ocasiones de cambios metaplásicos y atipias, y finalmente, la fibrosis. Cuando se realizan autopsias, es posible ubicar cada enfermedad en su lugar, en el cronopatograma, lo que permite realizar el reparo de los certificados de defunción, para evaluar el lugar que la COVID-19 ha ocupado como causa de muerte en la población estudiada. En criterio del colectivo, identificar en las alteraciones morfológicas, es imprescindible para elaborar el cronopatograma del fallecido y la adecuada evaluación clínico patológica del paciente.

Palabras clave: autopsias; SARS-CoV-2; COVID-19; causas de muerte.


ABSTRACT

On January 30, 2020, the World Health Organization (WHO) declared SARS-CoV-2 infection an international public health emergency. The autopsy, considered the best method of studying the patient and the disease, corroborates that patients can die from the direct action of the virus (who died from COVID-19), while others positive for SARS-CoV-2 did not show morphological lung changes attributed to the action of the virus. It is proposed to establish the morphological diagnostic criteria in the context of the SARS-CoV-2 and COVID-19 epidemic in the deceased in Cuba based on the systematic study of autopsies. The morphological patterns that are established in the lungs of patients who died under the effect of COVID-19 have been identified. The pulmonary edema of permeability with the widening of the pulmonary septum, the deposit of the disorganized hyaline membrane inside the alveoli, the detachment of epithelial cells (pneumocytes and bronchial and bronchiolar cells), followed by epithelial hyperplasia with sometimes the presence of metaplastic changes and atypia, and finally, fibrosis. When autopsies are performed, it is possible to locate each disease in its place, in chronopathogram, which allows death certificates repair to be carried out to assess the place that COVID-19 has occupied as a cause of death in the population studied. In the opinion of the group, identifying morphological alterations is essential to prepare the chronopathogram of the deceased and the adequate clinical-pathological evaluation of the patient.

Keyword: autopsies; SARS-CoV2; COVID-19; causes of death.


 

 

Recibido: 16/12/2021
Aprobado: 28/02/2022

 

 

INTRODUCCIÓN

La pandemia provocada por un virus de la familia de los coronavirus, el SARS-CoV-2 (coronavirus 2 del síndrome respiratorio agudo grave) nombrado por el Comité Internacional de Taxonomía de Virus, ha afectado a casi toda la humanidad.(1) El 30 de enero de 2020, la Organización Mundial de la Salud (OMS) declaró a la infección por SARS-CoV-2 una emergencia internacional de salud pública; y el 11 de marzo de 2020, como una pandemia.(2)

Las muertes por la COVID-19 se definen como las debidas a una enfermedad clínicamente compatible en un caso probable o confirmado de la COVID-19, a no ser que haya una causa alternativa clara para la muerte, que no se pueda relacionar con la COVID-19 (por ejemplo, un traumatismo). La presencia del agente infeccioso no necesariamente condiciona la enfermedad del paciente. La OMS caracterizó a la neumonía causada por la infección, como nueva neumonía por coronavirus (COVID-19).(2)

La autopsia, considerada el mejor método del estudio del enfermo y la enfermedad, es una fortaleza del sistema de salud cubano.(3,4) Desde que el Ministerio de Salud Pública de Cuba aprobó en su protocolo de actuación para el enfrentamiento a la enfermedad, la realización de autopsias mínimamente invasivas, han formado parte del conjunto de herramientas que aportan valiosa información a la investigación.(5,6)

La experiencia alcanzada en el estudio de las autopsias de casos confirmados al SARS-CoV-2, por el grupo de patólogos de experiencia, miembros del Grupo Nacional de Anatomía Patológica, corrobora que los pacientes pueden morir por los efectos del virus (fallecidos por la COVID-19), mientras que otros pacientes positivos al SARS-CoV-2 por estudios de reacción en cadena de la polimerasa en tiempo real (PCR-TR), no muestran cambios morfológicos pulmonares atribuidos al virus.(7,8)

En este contexto se presenta una interrogante, ¿cómo pueden los resultados de las autopsias contribuir a evidenciar el real impacto del SARS-CoV-2 en el desenlace de los fallecidos autopsiados, en el transcurso de la pandemia en Cuba?

Se elabora este artículo con el propósito de establecer los criterios diagnósticos para el estudio morfológico en el contexto de la epidemia por el SARS-CoV-2 y la COVID-19, en los pacientes fallecidos autopsiados en Cuba.

 

 

DESARROLLO

La autopsia, una de las fortalezas del sistema de salud cubano, se emplea para evaluar la calidad de la asistencia médica que se mantuvo con el paciente, para trasmitir y explicar a la familia y comunidad científica, las causas de muerte, que conllevaron al desenlace fatal, entre otros propósitos.(3,9) Desde hace más de 30 años, las causas de muertes y la evaluación de los diagnósticos ante mortem, se valoran según los criterios del Sistema Automatizado de Registro y Control de Anatomía Patológica (SARCAP)(3) que son:

La COVID-19, enfermedad respiratoria producida por el SARS-CoV-2 en los pulmones de los pacientes,(2) sustenta la primera parte de la presente exposición: el estudio sistemático de las autopsias permite identificar los patrones morfológicos que se establecen en los pulmones de los pacientes fallecidos bajo el efecto de la COVID-19. Los llamados "pulmones azules" descritos en la literatura, se presentan con elevada frecuencia en estos fallecidos, aunque fueron más frecuentes en los casos estudiados en el transcurso del segundo año de la pandemia, cuando se realizó un mayor número de autopsias y se identificaron nuevas cepas del virus con mayor contagiosidad y agresividad.(8,10,11,12)

Por el estudio histopatológico, las lesiones pulmonares se caracterizaron por tener en común, engrosamiento del tabique pulmonar (edema pulmonar de permeabilidad), al cual, sucesivamente se le adiciona el desprendimiento de células epiteliales alveolares (neumocitos), bronquiolares y bronquiales. A continuación, aparece la hiperplasia celular del epitelio bronquiolar que en breve tiempo puede evolucionar a la metaplasia, incluso con atipia celular. Eventualmente, se va estableciendo una fibrosis reciente, cambios vasculares con vasos de neoformación, y sangre que llena espacios alveolares, vasos sanguíneos con paredes engrosadas por fibrosis. Estas alteraciones morfológicas producen la consolidación del parénquima pulmonar lo que, según la extensión e intensidad de los cambios comprometen la vida de los pacientes.

Estudios descritos desde el comienzo de la pandemia, identifican los receptores ACE-2 como los de unión del SARS-CoV-2.(13,14) A pesar de no ser el pulmón el sitio más abundante de estos receptores, es el órgano donde se describe el mayor efecto conocido del mencionado virus en el cuerpo humano. Se pudiera considerar la reflexión siguiente sobre el efecto en los pulmones con la llegada del SARS-CoV-2 y su interacción con los receptores. La interacción del virus provoca el desprendimiento de las células alveolares y cambios reactivos en células bronquiales. Según la respuesta del arsenal defensivo de cada individuo, el virus puede provocar cambios morfológicos en el pulmón y desarrollar la enfermedad identificada por los efectos del SARS-CoV-2, la COVID-19. Se identifican 3 esferas de cambios fundamentales, sustentados en la experiencia de la observación consecutiva de cientos de autopsias en la epidemia (Fig. 1).

Estos cambios que se van interrelacionando, no son iguales en todos los pacientes; se presentan de forma progresiva, hasta las formas más avanzadas de fibrosis pulmonar, con sustitución de gran parte del parénquima e involucra los alveolos, bronquios, vasos e intersticio. En la experiencia del estudio con las autopsias, el edema pulmonar de permeabilidad, ha sido estudiado desde hace muchos años, por el grupo de investigaciones sobre la morfología de la respuesta inflamatoria sistémica.

Desde la década de los 70, se describieron las alteraciones identificadas como edema pulmonar de permeabilidad (EPP), para diferenciarlo del edema pulmonar de origen cardiogénico, con una fisiopatología diferente. El EPP se ha conocido con múltiples sinonimias, hasta la descripción de las últimas décadas de daño alveolar difuso (DAD), observadas en las autopsias fallecidos por la COVID-19, que presentan cambios muy característicos.(3,15)

Luego de estudiar múltiples autopsias de fallecidos por trauma o daño tisular intenso, incluyendo las quemaduras, como modelo de proceso patológico muy favorable para la respuesta inflamatoria, los fallecidos por choque, con intervenciones quirúrgicas complejas, con sepsis intensa, entre otras, no se había observado el cortejo completo de lesiones, como se han evidenciado en el estudios de las autopsias por la COVID-19. A estas observaciones se debe añadir, el momento en la evolución en que se presentan las lesiones. Se destaca la fibrosis que se establecía en pacientes ventilados en las terapias. En el contexto de la COVID-19 se observa fibrosis en casos que recién llegan a las instituciones hospitalarias, y en ocasiones no se han ventilado ni aplicado oxígeno suplementario.

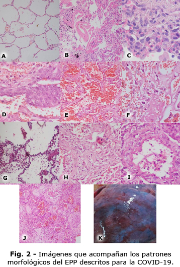
Se ha establecido por el grupo especial de trabajo de Anatomía Patológica para el enfrentamiento a la COVID-19, la clasificación de las lesiones pulmonares en estos pacientes respecto al EPP, mostrado en la tabla 1 y figura 2 (Ver en alta resolución). En la figura 2 se muestran: a) imagen histológica normal pulmón (H/E 40x), b) EPP exudativo: membranas hialinas y desprendimiento celular ((H/E 20x), c) EPP proliferativo: hiperplasia del epitelio bronquial, metaplasia y atipia (H/E 40x), d) EPP fibroproliferativo: fibrosis de neoformación intersticial y avanzada (H/E 20x/40x), e) variante con hemorragias intraalveolares (H/E 20x), f) variante con microtrombosis (H/E 40x) g) endotelitis pulmonar (H/E 60X), h) pulmón macroscópico fase fibroproliferativa "pulmón azul" descrito en la COVID-19.

 

 

Sustentado en la interpretación de los cambios morfológicos encontrados en los pulmones de los fallecidos autopsiados con la COVID-19, se pueden identificar los casos que han fallecido por los cambios producidos por el SARS-CoV-2, con su enfermedad respiratoria (fallecidos por la COVID-19) o los que teniendo aún el virus o no en el momento de fallecer, no han presentado estas alteraciones, por lo que no presentan la enfermedad.

Las autopsias, que conducen el estudio integral del fallecido, son capaces de colocar adecuadamente a la enfermedad que corresponda en la causa de la muerte y poder realizar el reparo de los certificados de defunción.(3,16) Considerar todas las muertes ocurridas en el período pandémico por la acción de la COVID-19 no es adecuado, mucho menos cuando se han realizado autopsias, ya que sí es posible ubicar adecuadamente a cada enfermedad en su lugar en el cronopatograma.

Existen casos que fallecen con una intensa bronconeumonía, secundaria a un infarto reciente cerebral a consecuencia de una aterosclerosis cerebral marcada, en un paciente hipertenso. En los pulmones, no se evidencia ningún cambio morfológico descrito, que se relacione con la acción de virus sobre el órgano, sin embargo, en las muestras post mortem se expresa positividad al SARS-CoV-2. ¿Qué lugar ocuparía en el cronopatograma de las causas de muerte, la identificación del virus?

Se explican a continuación los criterios a considerar para establecer si el paciente falleció con la COVID-19 como CBM: la evidencia de los cambios morfológicos relacionados con el EPP asociados a la COVID-19, la ubica como la CBM. Se hace necesario esclarecer que, por la propia naturaleza de la enfermedad, se ha observado presencia de focos de hemorragia intracerebral, relacionadas con cambios por vasculitis, vinculados a la acción del virus, por lo que estos cambios han sido causas intermedias y la COVID-19 se mantiene como la CBM. Cuando se observan el EPP asociado a la COVID-19, pero existen otras causas que son suficientes para causar la muerte de estos pacientes, se debe valorar la misma como CC de muerte, y no como CBM.

Si la morfología descrita no se presenta en el estudio de las autopsias, se coloca en otros trastornos de la autopsia, la presencia o el antecedente del virus en los resultados de las autopsias. En el estudio de estas, se obtiene muestra de PCR-TR post mortem. Si este resultado es positivo, se especifica la presencia del SARS-CoV-2 en la autopsia, si es negativo, en un paciente que fue positivo al virus, se identifica como antecedentes al SARS-CoV-2 (ASARS-CoV-2), lo cual deja la constancia de que estuvo contagiado con el virus previamente.

Cuando se evidencian los cambios microscópicos, con todo el cortejo de elementos descritos, pero en el estudio del PCR-TR post mortem, el resultado es negativo, se sigue considerando fallecido por la COVID-19. En criterio de los autores, la muerte de estos pacientes estuvo condicionada invariablemente por la acción del virus sobre el organismo. Es por ello que, deben mantenerse la CBM o CC por la COVID-19.

En el debate realizado, se llegó al consenso de identificar por un código la presencia del SARS-CoV-2, o su antecedente, en ausencia del virus. Si el paciente fallece por el efecto de la COVID-19, esta se ubicará en la CBM o CC, según el análisis particular del cronopatograma. Si no presenta los cambios morfológicos identificados previamente, sería un fallecido por SARS-CoV-2 o antecedentes de este, ubicado en otros trastornos. Se muestra en la tabla 2 la representación esquemática de este algoritmo diagnóstico propuesto.

Estas 6 variantes diagnósticas de la evaluación de las causas de muerte por la COVID-19 como CBM o CC, en la experiencia del grupo, no está relacionada con la positividad o no del SARS-CoV-2 en el estudio post mortem, sino por las alteraciones morfológicas encontradas, que caracterizan la enfermedad. Esta condición de positividad solo caracteriza si el SARS-CoV-2 estaba o no presente al fallecer en el fragmento estudiado, que es lo importante para la valoración del efecto que el virus provocó sobre los pulmones de los pacientes fallecidos.

En las autopsias estudiadas, las causas de muerte por la COVID-19, pueden tener entren sus causas, las siguientes variantes en el cronopatograma:

CDM:

CBM: COVID-19.

CC: COVID-19 (Si la CBM es otra enfermedad, y existen los cambios pulmonares morfológicos de la COVID-19).

OT: SARS-CoV-2 o antecedentes de SARS-CoV-2, según la positividad o no del PCR de la autopsia.

Como se observa, este análisis de cada caso permitirá el reparo de los certificados de defunción, sobre la base de los resultados del estudio de las autopsias realizadas en estos fallecidos durante la pandemia por la COVID-19. Solo los estudios sustentados en las autopsias facilitarán con mejor objetividad, evaluar el lugar que la COVID-19 ha ocupado como causa de muerte en la población estudiada.

Existen casos de pacientes confirmados, que pueden presentar variantes de otras formas de presentación de la acción del virus sobre el organismo, que no compromete al pulmón como órgano diana, como pueden ser por ejemplo la miocarditis intersticial difusa asociada a cuadros cardiovasculares, encefalitis con cuadros neurológicos, vasculitis linfocíticas, glomerulonefritis, u otros procesos que muestren la acción del virus sobre otros órganos; sería igualmente la COVID-19, la CBM y el proceso correspondiente la CIM o CDM, según el análisis de cada caso.

Estos resultados son adecuados en las autopsias parciales realizadas. No se considera que esta valoración sea procedente con los casos estudiados a través de la llamada "ventana pulmonar" (pequeña apertura en el tórax para obtener una muestra de tejido pulmonar, sin explorar el órgano). Esta variante que emplearon algunas instituciones, permitió obtener un fragmento de tejido pulmonar, no necesariamente del área más afectada, de una sola zona, para el estudio virológico, no histopatológico. Si se hubiera realizado, aún sería inadecuado. Los departamentos que siguieron las recomendaciones orientadas para estos estudios, obtuvieron los fragmentos, seleccionando las áreas más afectadas de los pulmones, de 3 hasta 5 fragmentos de tejido pulmonar, lo cual permite estudiar de forma más integral los pulmones de estos fallecidos.

Lograr una metodología en la evaluación de estas autopsias, ha constituido una importante herramienta para el diagnóstico. El aprendizaje obtenido se integra en el debate del cúmulo de experiencia y conocimientos del colectivo, lo cual ha permitido brindar solidez a los criterios diagnósticos realizados.

En criterio del colectivo, identificar en la morfología observada y los aspectos que evidencian el efecto de la enfermedad en el organismo, es imprescindible para elaborar el cronopatograma del fallecido y la adecuada evaluación clínico patológica del paciente. Es necesario trasmitir estas experiencias a la comunidad de patólogos, interesados en buscar respuestas a las enfermedades desde la morfología, del estudio de las autopsias macroscópicas, hasta la histopatología y otras técnicas más avanzadas.

 

 

REFERENCIAS BIBLIOGRÁFICAS

1. Zhou P, Yang XL, Wang XG, Hu B, Zhang L, Zhang W, et al. A pneumonia outbreak associated with a new coronavirus of probable bat origin. Nature. 2020; 579(7798): 270-3. DOI: 10.1038/s41586-020-2012-7

2. World Health Organization. Report of the WHO-China Joint Mission on Coronavirus Disease 2019 (COVID-19). 2020 [acceso: 15/06/2020]. Disponible en: https://www.who.int/docs/default-source/coronaviruse/who-china-joint-mission-on-covid-19-final-report.pdf

3. Hurtado de Mendoza Amat J. Autopsia: Garantía de calidad en la medicina. La Habana: Editorial Ciencias Médicas; 2009. [acceso: 18/05/2020]. Disponible en: http://www.sld.cu/galerias/pdf/soporte/ftp/la_autopsia_garantia_de_calida-d_en_la_medicina.pdf

4. Hurtado de Mendoza JA, Montero TG, Ygualada YC. Situación actual y perspectiva de la autopsia en Cuba. Rev Cubana Salud Pública. 2013 [acceso: 18/05/2020]; 39(1): 135-47. Disponible en: http://www.revsaludpublica.sld.cu/index.php/spu/article/view/155/154

5. Centro Nacional de Información de Ciencias Médicas. Protocolos de actuación frente a la COVID-19. Bibliodir. 2020 [acceso: 20/07/2020]; 6(8): [aprox. 7 p.]. Disponible en: http://files.sld.cu/bmn/files/2020/08/bibliodir-agosto-2020.pdf

6. Montero González T, Hurtado de Mendoza Amat J, Fraga Martínez Y, Torres Gómez Y, Laguna Oliva L. Metodología para realizar autopsias en el proceso de enfrentamiento a la COVID-19. Rev Cubana Med Milit. 2020 [acceso: 12/10/2020]; 49(3):e0200840. Disponible en: http://www.revmedmilitar.sld.cu/index.php/mil/article/view/840

7. Montero González T, Hurtado de Mendoza Amat J, Fraga Martínez Y, Laguna Oliva L, del Rosario Cruz L, Torres Gómez Y. Experiencia en autopsias de fallecidos con la COVID-19 en el Hospital Militar Central "Dr. Luis Díaz Soto". Rev Cubana Med Milit. 2020 [acceso: 20/11/2020]; 49(4): e0200850. Disponible en: http://www.revmedmilitar.sld.cu/index.php/mil/article/view/850

8. Capó de Paz, V, Borrajero Martínez I, Montero González T, Hurtado de Mendoza Amat J, De Armas Rodríguez Y, Domínguez Alvarez C. Hallazgos de autopsias de 50 fallecidos con SARS-CoV-2 en Cuba entre abril y septiembre de 2020. Anales de la Academia de Ciencias de Cuba. 2021 [acceso: 20/11/2020]; 11(2):[aprox. 35 p.]. Disponible en: http://www.revistaccuba.cu/index.php/revacc/article/view/994

9. Socorro Castro C, Roque Roque L, Garcés Garcés B, Oliver Cruz M. Consideraciones sobre autopsia desde una perspectiva ciencia, tecnología y sociedad. Medisur. 2017 [acceso: 20/11/2020]; 15(5): 666-75. Disponible en: http://scielo.sld.cu/scielo.php?script=sci_arttext&pid=S1727-897X2017000500012&lng=es

10. Xu Z, Shi L, Wang Y, Zhang J, Huang L, Zhang C, et al. Pathological findings of COVID‐19 associated with acute respiratory distress syndrome. Lancet Respir Med. 2020 [acceso: 04/06/2020]; 8:420‐422. Disponible en: https://covid-19.conacyt.mx/jspui/bitstream/1000/1079/1/105281.pdf

11. Hanley B, Lucas SB, Youd E, Swift B, Osborn M. J Clin Pathol. 2020 [acceso: 15/11/2020]; 73:239-42 Disponible en: https://jcp.bmj.com/content/jclinpath/73/5/239.full.pdf

12. Solarino B, Ferorelli D, Dell'Erba A. Post-mortem routine practice in the era of the COVID-19 pandemic. Journal of Forensic and Legal Medicine. 2020; 74:102010. DOI: 10.1016/j.jflm.2020.102010

13. Caramaschi S, Kapp ME, Miller SE, Eisenberg R, Johnson J, Epperly G, et al. Histopathological findings and clinicopathologic correlation in COVID-19: a systematic review. Mod Pathol. 2021 [acceso: 12/12/2020]; 34(9):1614-33. Disponible en: https://pubmed.ncbi.nlm.nih.gov/34031537/

14. Deshmukh V, Motwani R, Kumar A, Kumari C, Raza K. Histopathological observations in COVID-19: a systematic review. J Clin Pathol. 2021; 74:76-83. DOI: 10.1136/jclinpath-2020-206995

15. Montero González T, Hurtado de Mendoza Amat J, Iglesias Duquesne MM, Beato Canfux A, Pedroso Garriga TM, Palacios Alfonso IR. Alteraciones morfológicas en la enfermedad por quemaduras: experiencias en 156 autopsias. Rev Cub Med Mil. 2008 [acceso: 24/12/2019]; 37(3): (aprox. 12 p.) Disponible en: http://scielo.sld.cu/scielo.php?script=sci_arttext&pid=S0138-65572008000300004&lng=es

16. Lai CC, Shih TP, Ko WC, Tang HJ, Hsueh PR. Severe acute respiratory syndrome coronavirus 2 (SARS-CoV-2) and coronavirus disease-2019 (COVID-19): The epidemic and the challenges. International Journal of Antimicrobial Agents. 2020; 55:105924. DOI: 10.1016/j.ijantimicag.2020.105924

 

 

Conflictos de interés

Los autores plantean que no existen conflictos de intereses.