PRESENTACIÓN DE CASO

 

Acceso venoso para hemodiálisis y repercusión crónica en el sistema cardiovascular

 

Hemodialysis venous access and chronic impact on cardiovascular system

 

 

Blanca Caridad Piedra Herrera1

Yanet Acosta Piedra2

 

1Universidad de Ciencias Médicas de Matanzas. Matanzas, Cuba.

2Hospital Militar "Dr. Mario Muñoz Monroy". Matanzas, Cuba.

 

 


RESUMEN

En el tratamiento de enfermos renales en fase terminal, se realizan accesos vasculares para hemodiálisis. Son hechos habitualmente, en las venas de los miembros superiores, especialmente la técnica de Brecia y Cimino (fístula arteriovenosa latero lateral de la cefálica y la radial en la muñeca). La mayor complicación, directamente relacionada con un flujo excesivo por la fístula arteriovenosa, es la insuficiencia cardíaca congestiva. Se presenta el caso de un paciente con una fístula arteriovenosa (iatrogénica) que causó una insuficiencia cardiaca congestiva. El paciente, hipertenso conocido, tuvo un acceso venoso de más de 10 años de evolución (por un aparente diagnóstico y para una futura hemodiálisis que nunca fue efectuada). Acudió a consulta con disnea y edemas periféricos. Al examen físico se encontró la tensión arterial en 160 y 100 mm Hg, signos clínicos de cardiomegalia, edemas periféricos, ingurgitación yugular y hepatomegalia. Se palpó un thrill sistodiastólico en la muñeca izquierda, donde presentaba una cicatriz. Pudo observarse marcada dilatación y endurecimiento de todas las venas superficiales del plexo braquial de ese lado, (arterialización del árbol venoso del miembro superior izquierdo hasta las venas superficiales del hemitórax). Se diagnosticó una insuficiencia cardiaca de gasto alto, mejoró con el tratamiento habitual, pero continuó con la malformación venosa adquirida. Fue un caso muy llamativo, que muestra una complicación poco frecuente de los accesos venosos para hemodiálisis y también una causa mencionada, pero escasamente vista, de insuficiencia cardiaca de gasto elevado.

Palabras clave: fístula arteriovenosa; acceso venoso; hemodiálisis; insuficiencia cardiaca de alto gasto.


ABSTRACT

In the treatment of renal patients in terminal phase. Vascular accesses are used for hemodialysis. They are usually performed in the veins of the upper limbs, especially using Brecia and Cimino technique (lateral arteriovenous fistula of the cephalic and radial at the wrist). The major complication, directly related to an excessive flow of arteriovenous fistula, is congestive heart failure. We present the case of a patient with an arteriovenous (iatrogenic) fistula that caused a congestive heart failure. He is hypertensive and had venous access for over 10 years of evolution (for an apparent diagnosis and for future hemodialysis, which was never performed). He went to the clinic with dyspnea and peripheral edema. Physical examination revealed blood pressure of 160 and 100 mm Hg, clinical signs of cardiomegaly, peripheral edema, jugular engorgement and hepatomegaly. We found a systodiastolic thrill on his left wrist, where there is a scar. A marked dilation and hardening of all the superficial veins of the brachial plexus on that side was observed, that is arterialization of the venous tree of the left upper limb to the superficial veins of hemitorax. The diagnosis was high output heart failure. He improved with the usual treatment, but the acquired venous malformation continued in an iatrogenic manner. It was a very striking case because of the infrequent complication of venous accesses for hemodialysis and because for rarely seen elevated heart failure.

Keywords: arteriovenous fistulas; venous accesses; hemodialysis; high output cardiac failure.


 

 

INTRODUCCIÓN

Se puede definir la fístula arteriovenosa para hemodiálisis como la anastomosis de una arteria con una vena a través de una técnica quirúrgica ya bien establecida, con el objetivo de arterializar el lecho venoso superficial y profundo, para conseguir un flujo de sangre a ese nivel, de más de 300 mL/minuto y permitir las punciones reiteradas.

En su estado terminal, la enfermedad renal crónica (ERC) requiere de hemodiálisis. Para esto es necesaria la realización de un acceso vascular (FAV). Los accesos más utilizados, son la fístula de Cimino-Brescia (radio-cefálica) por tener un menor número de complicaciones, y las prótesis.(1)

Las complicaciones de los accesos vasculares son más frecuentes en las prótesis, sobre todo las trombosis y disfunciones debidas a estenosis venosa por hiperplasia de la íntima.

Las complicaciones se clasifican en precoces y tardías. Las primeras, generalmente relacionadas con factores técnicos quirúrgicos, tales como trombosis, sangrado posoperatorio, infección, síndrome de robo y neuropatía periférica. Las segundas tienen que ver con la práctica de la hemodiálisis y la técnica de punción: Estenosis, infección, pseudoaneurismas, hematoma infiltrante, aneurismas verdaderos e hipertensión venosa distal.(1)

La mayor complicación directamente relacionada con un flujo excesivo por la fístula es la insuficiencia cardíaca congestiva (ICC).(2)

El cuadro clínico producido por un flujo excesivo del acceso vascular (síndrome de hiperaflujo), da lugar a daño colateral hemodinámico grave, especialmente a un estado hipercinético cardíaco, que puede conducir a una insuficiencia cardíaca de alto gasto.(2,3)

El fracaso cardíaco secundario a una fístula, es una complicación rara, pero bien documentada. Su incidencia se sitúa en menos del 1 % de las fístulas de extremidades superiores. La capacidad de la fístula de dilatarse viene determinada por la propia vasodilatación y por el fenómeno de remodelado vascular.

Mediante técnicas ecográficas se ha podido determinar que se produce un aumento progresivo de la vena proximal, sin modificar el grosor de la íntima/media. La dilatación progresiva produce un descenso de la tensión parietal que alcanza valores normales hacia los tres meses de la realización del acceso.

También se produce un remodelado arterial, con aumento significativo del diámetro y del flujo, sin aumento de la pared arterial. Además de una vasodilatación mediada por óxido nítrico, la remodelación adaptativa de la pared del vaso está inducida por una reorganización de componentes celulares y extracelulares que altera la geometría parietal. Las células endoteliales cumplen un papel fundamental en este proceso de remodelado. El estrés parietal, la fuerza friccional generada por el flujo sanguíneo, actúa sobre la superficie celular apical y deforma la célula en la dirección del flujo sanguíneo. Se reestructura el citoesqueleto, se activan cascadas, se libera óxido nítrico, prostaciclina y se produce la activación de múltiples factores. El efecto inicial de estas alteraciones biológicas sobre la estructura de la pared arterial, se traduce en una fragmentación y pérdida de la lámina elástica interna (degradada por metaloproteasas liberadas de células endoteliales) que aumentan por tanto su distensibilidad. (2) Existe una hiperplasia intimal.(3)

El resultado de la anastomosis de la arteria y la vena (fístula de Brescia y Cimino) resultan en la arterialización de la vena.(3)

Las fístulas arteriovenosas sistémicas son una de las causas descritas de insuficiencia cardíaca de gasto elevado.(2)

Teóricamente, cualquier fístula que disminuya la resistencia periférica total y aumente el retorno venoso al corazón puede conducir a una ICC, pero esta situación se previene habitualmente mediante mecanismos compensatorios.(2) Se produce retención de líquidos, aumento de la presión venosa y el subsiguiente fallo miocárdico.

Algunos pacientes se encuentran en situación de mayor riesgo de sufrir ICC por un flujo excesivo a través de la fístula: Hematocrito bajo, cardiomiopatía (como la hipertrofia ventricular izquierda secundaria a hipertensión arterial), enfermedad coronaria y diabetes mellitus. No debe olvidarse que la propia fístula arteriovenosa puede aumentar la hipertrofia ventricular izquierda.(2,4,5,6,7)

En Cuba aparecen cada año 80 nuevos casos por millón de habitantes con ERC, cifra que es reflejo de un fenómeno que tiene lugar en el mundo desarrollado. Se citan como factores determinantes, el envejecimiento de la población, el incremento de la diabetes mellitus y la nefropatía vascular.(1)

Más de dos millones de personas viven en el mundo gracias a métodos sustitutivos de diálisis o trasplante. El incremento anual de pacientes en terapia de remplazo renal dialítica, se sitúa entre un 6 y 20 % al año y se reconoce como un multiplicador de riesgo de muerte cardiovascular. (8) Si se suma a esto que pueden producirse complicaciones por iatrogenia en los métodos dialíticos, se tendrá una situación grave de salud por este concepto.

El objetivo de presentar este caso, es precisamente mostrar a un paciente con una complicación que es infrecuente y potencialmente evitable.

 

CASO CLÍNICO

Paciente de 70 años, hipertenso de larga evolución. En la anamnesis se recoge que hace 10 años, le informaron que padecía una insuficiencia renal crónica y debían hacerle hemodiálisis. Para prepararlo, se le realizó una FAV en la muñeca izquierda. El paciente ignoraba por qué no se realizaron las hemodiálisis. Refiere que en aquella ocasión fue dado de alta, se sentía mejor, sin tratamiento. Poco antes del ingreso actual, comenzó a presentar aumento de volumen de las piernas y falta de aire, por lo cual fue llevado al hospital.

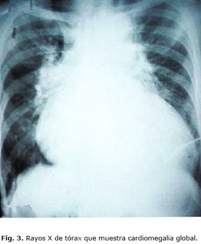
Al examen físico se encontró la tensión arterial en 160/100 mm Hg, signos clínicos de cardiomegalia, edemas periféricos, ingurgitación yugular y hepatomegalia. Se palpaba un thrill sistodiastólico en la muñeca izquierda, donde presentaba una cicatriz. Pudo observarse marcada dilatación y endurecimiento de todas las venas superficiales del plexo braquial de ese lado (Fig. 1, Fig. 2 y Fig. 3).

El paciente fue tratado con diuréticos, dieta e hipotensores y se obtuvo un resultado satisfactorio, aunque continuó con el daño irreversible de su sistema venoso.

 

 

 

 

COMENTARIOS

En la discusión del cuadro clínico de este paciente se expuso que era portador de una insuficiencia cardiaca congestiva, una fístula arteriovenosa realizada 10 años antes y no controlada. Por ser de flujo elevado, precipitó y agravó su sintomatología.

Se trata además de un enfermo previamente dañado por una hipertensión arterial de larga evolución. Se arterializó parte de su sistema venoso, que había evolucionado por el daño cardiaco de la hipertensión arterial y la arteriosclerosis propia de su edad.

La edad es un factor determinante en la elección del angio-acceso, debido a la menor supervivencia de las FAV autólogas en pacientes mayores. Se debe realizar siempre un acceso protésico o colocar un catéter permanente. Aunque se plantea que la población de edad avanzada es un grupo heterogéneo en el que la edad cronológica no refleja necesariamente el estado fisiológico del paciente.(9)

Este curso clínico del enfermo está descrito por diferentes autores,(7,8,9,10) y pudo evitarse al cerrar la fístula, además del seguimiento que para ancianos hipertensos se establece.

En ocasiones una fístula interna puede funcionar con flujos excesivamente elevados, estos flujos pueden llegar hasta el 50 % del gasto cardíaco y conlleva un aumento de la precarga. Esta situación puede afectar drásticamente a sujetos con cardiopatía previa, como insuficiencia cardíaca o cardiopatía isquémica.

En estas situaciones, tras un cuidadoso estudio del paciente (mejoría de los patrones hemodinámicos cardíacos con métodos no invasivos o eco cardiográficos tras oclusión del acceso vascular durante unos minutos), se debe valorar el estrechamiento de la fístula, o cierre de esta y realización de otra nueva. De esta manera pudo haberse evitado el curso de la enfermedad descrita.(11)

El acceso vascular para hemodiálisis es esencial para el enfermo renal, tanto por su morbimortalidad asociada, como por la repercusión en la calidad de vida, pero se requieren cuidados indispensables para su utilización y garantía terapéutica.(12)

Se presentó este caso donde se muestra una complicación poco frecuente de los accesos venosos para hemodiálisis y también una causa mencionada, pero escasamente vista de ICC de gasto elevado. Este curso de la enfermedad podía haber sido evitado.

 

Conflictos de interés

Los autores plantean no tener conflictos de interés en relación con el presente trabajo.

 

REFERENCIAS

1. Franco Pérez N, Rodríguez Hung S, Telemaque H. Comportamiento de las fístulas arteriovenosas para hemodiálisis en pacientes con insuficiencia renal crónica. Rev Cubana Angiol Cir Vasc. 2015 Jun;16(1):3-8. Acceso: 02/05/2018. Disponible en: http://scielo.sld.cu/scielo.php?script=sci_arttext&pid=S1682-00372015000100002&lng=es

2. González García EE, Castillo Montoya R. Acceso vascular para hemodiálisis en pacientes con enfermedad renal crónica. Medisan. 2009 mayo-jun;13(3):[aprox. 6 p.]. Acceso: 03/05/2018. Disponible en: http://scielo.sld.cu/scielo.php?script=sci_arttext&pid=S1029-30192009000300005

3. Arroyo-Bielsa JA, Gil-Sales R, Gesto-Castromil R. Accesos vasculares para hemodiálisis. Complicaciones: hiperaflujo o flujo excesivo. Angiología. 2005;57(Supl 2):109-16.

4. Fauci, Hauser, Longo, Jameson, Loscalzo, editors. Harrison Principios de Medicina Interna. 19na ed. México DF, México: Mac Graw Hill Interamericana; 2016.

5. Schafer AL, Goldman L, editors. Cecil y Goldman, Tratado de Medicina Interna. 2ª. ed. Barcelona, España: Elsevier; 2013.

6. Noya Ch ME, Moya G NL, editores. Roca Goderich Temas de Medicina Interna. 5ª. ed. La Habana: Editorial Ciencias médicas; 2017.

7. Martínez-Gallardo R, Ferreira-Morong F, García-Pino G, Cerezo-Arias I, Hernández-Gallego R, Caravaca F. Insuficiencia cardíaca en la enfermedad renal crónica avanzada: relación con el acceso vascular. Nefrología. 2012;32(2):206-12. Acceso: 03/05/2018. Disponible en: http://scielo.isciii.es/scielo.php?script=sci_abstract&pid=S0211-69952012000200012

8. Basile C , Lomonte C, Vernaglione L, Casucci F, Antonelli M, Losurdo N. The relationship between the flow of arteriovenous fistula and cardiac output in hemodialysis patients. Nephrol. Dial. Transplant. 2008 Jan;23(1):282-7. Disponible: 03/05/2018. Disponible en: https://academic.oup.com/ndt/article/23/1/282/1924005

9. Molina Alfonso S, Gutiérrez García F, Orret Cruz D. Comportamiento de las fístulas arteriovenosas para hemodiálisis en el anciano. Rev Cub Cir. 2015 ene-mar;54(1):[aprox. 11 p. ]. Acceso: 03/05/2018. Disponible en: http://scielo.sld.cu/scielo.php?script=sci_arttext&pid=S0034-74932015000100004

10. Pérez Escobar MM, Herrera Cruz N, Pérez Escobar E. Comportamiento de la mortalidad del adulto en hemodiálisis crónica. AMC. 2017 ene-feb;21(1):[aprox. 15 p. ]. Acceso: 02/05/2018. Disponible en: http://scielo.sld.cu/scielo.php?script=sci_arttext&pid=S1025-02552017000100004

11. Alvarado Boj MG. Complicaciones de pacientes en la unidad de hemodiálisis. [Tesis de maestría en ciencias médicas]. Guatemala. San Carlos: Universidad de San Carlos de Guatemala, Facultad de Ciencias médicas; 2014. Acceso: 02/05/2018. Disponible en: http://www.repositorio.usac.edu.gt/1512/1/05_9438.pdf

12. Ibeas J, Barba A. Guía Clínica Española del Acceso Vascular para Hemodiálisis. Nefrología. 2017;37(S1):1-191.

 

 

Recibido: 05/05/2018
Aprobado: 19/07/2018

 

 

Blanca Caridad Piedra Herrera. Universidad de Ciencias Médicas de Matanzas. Matanzas, Cuba.
Correo electrónico: bcpiedra.mtz@infomed.sld.cu