PRESENTACIÓN DE CASO

 

Derrame pericárdico como forma de debut del lupus eritematoso sistémico

 

Pericardial effusion as a debut form of systemic lupus erythematosus

 

 

Rodolfo Vega Candelario1

 

1Universidad de Ciencias Médicas de Ciego de Ávila. Ciego de Ávila, Cuba.

 

 


RESUMEN

Introducción: El lupus eritematoso sistémico tiene múltiples formas de presentarse; entre las manifestaciones cardíacas, es frecuente la afectación pericárdica, pero es poco frecuente que su forma de debut sea el derrame pericárdico.
Objetivo: Destacar la importancia del diagnóstico precoz de una de las formas menos frecuentes de debut del lupus eritamatoso sistémico.
Caso clínico: Se presenta el caso de una paciente de 50 años, que ingresó porque desde hacía 3 meses sufría dolor torácico, disnea, tos, síntomas articulares, dermatológicos y generales. Luego de la sospecha y el estudio clínico, hematológico, imagenológico y biopsia de piel, se diagnosticó precozmente derrame pericárdico por lupus eritematoso sistémico. Se impuso tratamiento oportuno con esteroides, y la evolución fue favorable.
Conclusiones: A pesar del bajo índice de sospecha, se tuvo en cuenta al lupus eritematoso sistémico y se procedió a las determinaciones analíticas que confirmaron el diagnóstico.

Palabras clave: lupus eritematoso sistémico; derrame pericárdico; diagnóstico precoz.


ABSTRACT

Introduction: Systemic lupus erythematosus has multiple ways of presentation; among cardiac manifestations, pericardial involvement is frequent, but it is rare that its debut form is the pericardial effusion.
Objective: To emphasize the importance of early diagnosis of one of the less frequent forms of systemic lupus erythematosus.
Clinical case: We present the case of a 50-year-old patient, who had been admitted for 3 months because of chest pain, dyspnea, cough, joint, dermatological and general symptoms. After the suspicion and the clinical, hematological, imaging and skin biopsy, pericardial effusion was diagnosed early due to systemic lupus erythematosus. Timely treatment with steroids was imposed, and the evolution was favorable.
Conclusions: Despite the low index of suspicion, the systemic lupus erythematosus was taken into account and the analytical determinations that confirmed the diagnosis were made.

Keywords: systemic erythematous lupus; pericardium effusion; lupus early diagnosis.


 

 

INTRODUCCIÓN

El lupus eritematoso sistémico (LES) es una enfermedad inflamatoria multisistémica, caracterizada por la presencia de fenómenos de autoinmunidad; incluye reactividad para anticuerpos antinucleares, el ADN de doble cadena y el antígeno Sm.(1)

La afectación cardíaca constituye una de las manifestaciones clínicas más comunes de la enfermedad,(2) y es una de las principales causas de muerte en pacientes de larga evolución.(3)

La pericarditis fue la primera manifestación cardíaca reconocida del LES y ha sido referida también como una de las complicaciones más frecuentes (uno de cada cuatro pacientes pueden llegar a presentarla). La prevalencia de la pericarditis como manifestación de LES es del 12 % al 48 % en adultos, en niños del 5 % al 25.(4) Se manifiesta clínicamente por dolor precordial o subesternal y de tipo posicional algunas veces, una intensidad moderada a severa. Sin embargo, en el 62 % de casos se ha descrito la existencia de derrame pericárdico sin la presencia de pericarditis.(5)

Desde el punto de vista clínico, existen criterios diagnósticos del LES, como: exantema (malar, discoide), serositis (pleuritis, pericarditis), úlceras orales, clínica neurológica sin otra causa conocida alteraciones inmunológicas, convulsiones y psicosis. También artritis no erosiva, fotosensibilidad, afectación renal (proteinuria, cilindros celulares), alteraciones hematológicas (anemia, leucopenia, trombopenia), alteraciones inmunológicas (células LE, anticuerpos anti-ADN, anticuerpos anti-Sm, VDRL falso positivo) y anticuerpos antinucleares (ANA) positivos.

Aunque la afectación asintomática cardiaca en el LES es infrecuente, la introducción de la ecocardiografía en el arsenal diagnóstico habitual ha hecho aumentar la identificación de derrames pericárdicos asintomáticos, hasta el 48 % de los casos.(6)

Está descrito en la literatura que el taponamiento cardíaco puede ser la primera manifestación de LES.(6,7,8)

La resonancia magnética cardiovascular (RMC), permite una evaluación integral en pacientes con LES y sospecha clínica de miocarditis. Evalúa parámetros anatómico-funcionales, afectación del pericardio y caracterización del miocardio; detecta áreas de inflamación o necrosis, por tanto es útil para el diagnóstico de miocarditis aguda.(9)

Se presenta este en una paciente que debuta con una de las formas menos frecuentes de LES, el derrame pericárdico.

 

CASO CLÍNICO

Paciente femenina, de 50 años de edad, que ingresó con el diagnóstico de insuficiencia cardíaca. Desde hace 2 o 3 meses sufría disnea, dolor torácico, palpitaciones, tos, malestar general, aumento de volumen de los tobillos (edemas), dolor e inflamación de grandes y pequeñas articulaciones, más manifiesta en las manos y los pies (donde la artritis fue manifiesta y dolorosa).

Había tenido anorexia, pérdida de peso y astenia marcada, fiebre de 38,5 0C recurrente. Se mostraba ansiosa y deprimida en muchas ocasiones; insegura, pues no veía mejoría con el tratamiento.

Antecedentes de dificultad para la visión, vasculitis a diferentes niveles. Era difícil observar signos de dermatitis (color de piel negra).

Al examen físico se encontró: ruidos cardiacos muy disminuidos a la auscultación (bajo tono); presión arterial 119/70 mm de Hg; frecuencia cardiaca: 110 latidos por minuto. Área hipocrómica en el hombro derecho, de bordes irregulares, de 27 x 30 cm; con contraste marcado entre la mácula, de color blanco y la piel negra normal de la paciente.

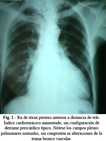
Exámenes complementarios: hemoglobina: 10 g/L. Eritrosedimentación: 138 mm/hora. Leucocitos: 3,5 x 109/L. Conteo de plaquetas: 100 x 109/L. Serología VDRL: Débil positivo o falso positivo. Células LE: Fueron positivas en 6 de las diez extracciones de sangre, en estudios realizados en diferentes ocasiones. Biopsia de piel: se aprecia hiperqueratosis con tapones crónicos, atrofia epidérmica, infiltrado linfocitario alrededor de anexos epidérmicos, incontinencias pigmentarias. Compatible con LES. Filtrado glomerular: normal. Creatinina: normal (89 mmol/L). Glicemia: 5,6 mmol/L. Transaminasa glutámico pirúvica: 24 mmol/L. Amilasa Pancreática: normal. Rx de tórax (distancia de tele): índice cardiotorácico aumentado, pero sin configuración de derrame pericárdico típico (Fig. 1).

 

 

Ecocardiograma: presencia de derrame pericárdico en cara posterior del corazón. Signos de pericarditis (Fig. 2).

 

 

Se le impuso tratamiento con prednisona (60 mg) en dosis única en la mañana y la evolución fue muy satisfactoria, desaparecieron los síntomas y el derrame pericárdico. Esta dosis se fue disminuyendo rápida y progresivamente por semanas; según la evolución clínica, hematológica y ecocardiografíca. A los 2 meses la paciente estaba asintomática, con hematología normal y ecocardiograma normal. Se mantiene con una dosis de solo 7,5 mg diarios del esteroide.

 

COMENTARIOS

El LES se presenta predominantemente en mujeres después de la pubertad, la manifestación clínica más frecuente es la afectación articular. Suele acompañante de rash malar en alas de mariposa, nefritis lúpica, serositis o mononeuritis sensitiva.(6) Se han descrito otras formas de debut del LES; como pancreatitis,(7) hemorragia pulmonar, trombosis venosa central(10) o derrame pleural bilateral masivo.(9) La presentación como derrame pericárdico se produce en un 1 % al 2 % de los casos y sólo un 0,8 % se inicia como taponamiento cardíaco.(8)

Las mujeres de edad media con LES, tienen infarto del miocardio hasta 50 veces más que el resto de la población, en dependencia de los factores de riesgo, tiempo de evolución de la enfermedad, la postmenopausia e hipercolesterolemia.(11,12)

Desde hace 50 años se reconoció la presencia de anormalidades valvulares y presencia de vegetaciones no infecciosas (endocarditis de Libman-Sacks). Estas vegetaciones pueden afectar valvas, músculos papilares o ser murales.(2,9) Se describe que uno de los hallazgos más frecuentes es la presencia de masas que afectan la válvula aórtica y mitral, en ese orden,(9,12) mientras Hojnik y otros reportan una prevalencia de hasta el 38 % por ecocardiograma transtorácico. Tu-riel y otros, por su parte, demostraron por ecocardiograma transesofágico, engrosamiento valvular mitral en el 63 % de las pacientes con lupus eritematoso sistémico.(9,10)

La hipertensión pulmonar es común en el LES. Como causas se incluyen: la enfermedad tromboembólica, proliferación intimal de la arteriapulmonar, enfermedad vaso espástica crónica y raramente la arteritis pulmonar. De los criterios diagnósticos, en este caso, solamente se encontraban presentes, el derrame pericárdico, pero usualmente, la etiología de este, es muy variable.(11,12,13,14)

A pesar del bajo índice de sospecha, se tuvo en cuenta el LES y se procedió a realizar las determinaciones analíticas que confirmaron el diagnóstico.

 

Conflictos de interés

El autor plantea que no existen conflictos de intereses.

 

REFERENCIAS BIBLIOGRÁFICAS

1. Reeves WH, Satoh M. Features of autoantigens. Mol Biol Rep. 1996;23(3-4):217-26.

2. Ansari A, Larson PH, Bates HD. Cardiovascular manifestations of systemic lupus erythematosus: current perspective. Prog Cardiovasc Dis. 1985; 27(6):421-34.

3. Petri M, Buyon J, Kim M. Classification and definition of major flares in SLE clinical trials. Lupus. 1999; 8(8):685-91.

4. Moder KG, Miller TD, Tazelaar HD. Cardiac involvement in systemic lupus erythematosus. Mayo Clin Proc. 1999; 74(3):275-84.

5. Doherty NE, Siegel RJ. Cardiovascular manifestations of systemic lupus erythematosus.Am Heart J. 1985; 110(6):1257-65.

6. Manresa JM, Gutiérrez L, Viedma P, Alfani O. Taponamiento cardíaco como presentación clínica de lupus eritematoso sistémico. Rev Esp Cardiol. 1997; 50(8):600-2.

7. Kelly TA. Cardiac tamponade in systemic lupus erythematosus: an unusual initial manifestation. South Med J. 1987;80(4):514-16.

8. Blanco Ramos M, Cañizares Carretero MA, García-Fontán EM, Rivo Vázquez JE. Derrame pericárdico como manifestación clínica única de lupus eritematoso sistémico. An Med Interna. 2006 Feb;23(2):80-82. Acceso: 24/05/2018. Disponible en: http://scielo.isciii.es/scielo.php?script=sci_arttext&pid=S0212-71992006000200007&lng=es

9. Rosales Uvera SG, Castellanos Caínas L, Galindo Uribe J, Colín Ramírez E, Delgado Hernández RD, Vázquez Lamadrid J. Alteraciones cardiacas en pacientes con lupus eritamatoso sistémico y sospecha clínica de miocarditis: diagnóstico por resonancia magnética cardiovascular. Revista Mejicana de Cardiología. 2011;22(4):167-74.

10. Arostegui Lavilla J, García Vivar ML, Galíndez Agirregoikoa E, García Llorente JF, Aranburu Albizuri JM. Cardiac tamponade as initial manifestation of systemic lupus erythematosus. An Med Interna. 2001; 18(8):451-2.

11. El-Magadmi M, Bodill H, Ahmad Y, Durrington P, Mackness M, Walter M, et al. Systemic Lupus Erythematosus. An independent risk factor for endothelial dysfunction in women; Circulation. 2004; 110(4):399-404.

12. Manzi S, Meilahn EN, Rairie JE, Conte CG, Medsger TA, Jansen-McWilliams L, et al. Age-specific incidence rates of myocardial infarction and angina in women with systemic lupus erythematosus: comparison with the Framingham study. Am J. Epidemiol. 1997; 145(5):408-15.

13. Svenungsson E, Jensen-Urstad K, Heimburger M, Silveira A, Hamsten A, de Faire U, et al. Risk factors for cardiovascular disease in systemic lupus erythematosus.Circulation. 2001; 104(16):1887-93.

14. Pérez AF, Villa Gómez OA, Castro AM, Hernández SS. Taponamiento cardiaco como complicación de tuberculosis pericárdica. Reporte de un caso y revisión bibliográfica. Med Inter Méx. 2009;25(1):81-8.

 

 

Recibido: 22/05/2018
Aprobado: 19/07/2018

 

 

Rodolfo Vega Candelario. Universidad de Ciencias Médicas. Ciego de Ávila, Cuba.
Correo electrónico: rvc_50@infomed.sld.cu