Presentación de caso

 

Teratoma quístico maduro de ovario

Mature cystic teratoma of the ovary

 

René Rafael Bonachea Peña1* https://orcid.org/0000-0001-5329-5445
Felicia Do Rosario José Maria Bráz1 https://orcid.org/0000-0003-3185-7114
Yaily Hernández Veitía1 https://orcid.org/0000-0002-6027-3911
María Josefa Diago Guerrero1 https://orcid.org/0000-0002-0878-8547

 

1Hospital Militar Principal Instituto Superior de Angola. Luanda, Angola.

*Autor para la correspondencia. Correo electrónico: rrbonachea85@gmail.com

 

 


RESUMEN

Introducción: Los teratomas quísticos maduros del ovario, se originan de las células germinales en una falla de la meiosis o de las células premeióticas. Pueden consistir en múltiples células derivadas de una o más de las 3 capas germinales (ectodermo, mesodermo y endodermo). Son los tumores benignos más comunes del ovario. Pueden aparecer a lo largo de la vida, miden menos de 10 cm, son asintomáticos y unilaterales, aunque solo un 10 % de los casos pueden ser bilaterales.
Objetivo: Presentar el caso de una paciente virgen con teratoma quístico maduro de ovario bilateral.
Caso clínico: Paciente de 20 años de edad, virgen. Atendida en consulta de ginecología por aumento de volumen y molestias abdominales de varios meses de evolución; se detectó una masa ovárica bilateral. Se realizó laparotomía con quistectomía bilateral. El diagnóstico histológico informó teratoma quístico maduro de ovario. Evolucionó satisfactoriamente, sin recidiva.
Conclusiones: Los teratomas quísticos maduros del ovario son frecuentes en edad reproductiva y de forma unilateral; cuando lo hacen de forma bilateral tienen baja incidencia, por lo que un diagnóstico y tratamiento oportunos son importantes para evitar complicaciones, recidivas y garantizar la futura fertilidad de la paciente.

Palabras clave: teratoma; ovario; quistectomía.


ABSTRACT

Introduction: Mature cystic teratomas of the ovary originate from germinal cells in a failure of meiosis or from premeiotic cells. This may consist of multiple cells derived from one or more of the three germ layers (ectoderm, mesoderm, and endoderm). They are the most common benign tumors of the ovary. They can appear throughout life, measure less than 10 cm, asymptomatic and unilateral, although only 10% of cases can be bilateral.
Objective: To present the case of a virgin patient with bilateral mature cystic teratoma of the ovary.
Clinical case: 20-year-old patient, virgin. Attended in the Gynecology consultation for volume increase and abdominal discomfort of several months of evolution; Bilateral ovarian mass was detected. Laparotomy with bilateral cystectomy was performed. Histological diagnosis reported mature cystic teratoma of the ovary. He evolved satisfactorily without recurrence.
Conclusions: Mature cystic teratomas of the ovary are frequent in reproductive age and unilateral; When they do so bilaterally, they occur at low incidences, so prompt diagnosis and treatment are important to avoid complications, recurrences, and guarantee the future fertility of patients.

Keywords: teratoma; ovary; cystectomy.


 

 

Recibido: 13/10/2022
Aprobado: 27/01/2023

 

 

INTRODUCCIÓN

Los teratomas quísticos maduros del ovario se originan de las células germinales, en una falla de la meiosis o de las células premeióticas. Pueden consistir en múltiples células derivadas de una o más de las 3 capas germinales (ectodermo, mesodermo y endodermo).

Son los tumores benignos más comunes del ovario . La incidencia es, aproximadamente, de 1,2 a 14,2 casos por cada 100 000 personas al año.(1) Representan el 95 % de los tumores de las células germinales y el 30 % de los tumores de ovario.(2)

Pueden aparecer a lo largo de la vida, sin embargo, generalmente afectan a mujeres entre los 20 y 40 años ; representan el 70 % de las masas ováricas benignas en mujeres en edades reproductivas y 20 % en mujeres posmenopáusicas.(3)

Generalmente miden menos de 10 cm, son asintomáticos y unilaterales, muchas veces del lado derecho y cuando es bilateral, tienen baja incidencia, de hasta un 10 %.(4)

El objetivo del trabajo es presentar el caso de una paciente virgen con teratoma quístico de ovario, maduro, bilateral.

 

 

CASO CLÍNICO

Paciente femenina de 20 años de edad, con antecedentes de salud, virgen. Acudió a la consulta de ginecología por molestias abdominales y aumento de volumen del abdomen, de 4 meses de evolución.

Al examen físico del abdomen se palpó una masa dura, movible, no dolorosa, que ocupaba el hipogastrio.

Ecografía pélvica:Útero de 69 x 38 x 44 mm; endometrio lineal; se observa masa anexial derecha de 100 x 77,2 x 55 mm y otra de características similares en anejo izquierdo de 66,4 x 43,6 x 44,3 mm, que pudiera corresponder con teratoma de ovario bilateral.

Tomografía axial computarizada: En topografía anexial derecha se observa una imagen redondeada, de contornos regulares, heterogénea, predominantemente quística, con contenido liposo, calcificaciones periféricas que miden 5,6 x 4,3 x 5,2 cm. Imagen de características semejantes en anejo izquierdo, que mide 8,5 x 7,1 x 6,5 cm, sugestivas de teratomas de ovario.

Dosificación de antígenos tumorales: Cancer Antigen (CA -125): 72 IU/mL.

Se realizó laparotomía exploradora. Durante el procedimiento se constató quiste de ovario derecho, de 9 cm y quiste de ovario izquierdo de 6 cm (Fig. 1 - Ver en alta resolución); útero de características normales. Se realizó quistectomía bilateral. La paciente tuvo una evolución favorable y fue egresada. Se le realizaron ecografías evolutivas sin recidiva.

 

 

En el estudio se reveló desde el punto de vista macroscópico, pieza derecha quística de 9 x 7 x 4 cm, superficie lobulada, serosa de color castaño claro y pieza izquierda quística de 6 x 5 x 3 cm. Al corte se observa contenido sebáceo y pelos en su interior (Fig. 2 - Ver en alta resolución).

 

 

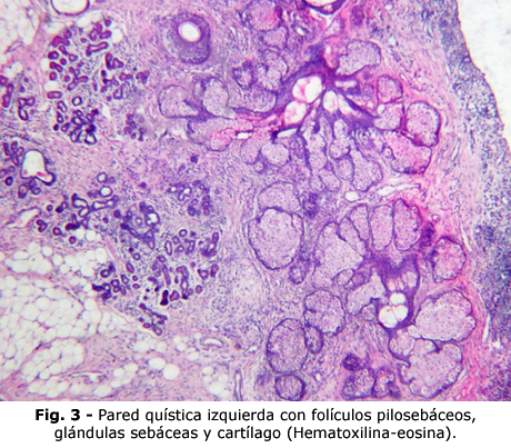
Microscópicamente se informó la presencia de tejidos en ambos tumores, bien diferenciados, sin pleomorfismo. Se observó folículos pilosebáceos, glándulas sudoríparas y cartílago hialino (Fig. 3 - Ver en alta resolución). El diagnóstico histopatológico correspondió a teratomas quísticos maduros.

 

 

 

COMENTARIOS

Teratoma deriva de la palabra griega teras-, teratos que significa "pesadilla", "monstruo" y -oma que significa "tumor", "hinchazón". Este término fue acuñado y usado por primera vez por Rudolph Virchow, padre de la patología moderna, en 1863, en su libro sobre tumores.(5)

Las estructuras más comúnmente encontradas en los teratomas son: Tejido ectodérmico, piel y sus anexos (31 %), como cabello negro, folículos pilosos, glándulas sebáceas, epitelio gingival y dientes; también tejidos neurales (38 %), como corteza cerebelosa, ependimaria, meninges o ganglios simpáticos. Entre los tejidos endodérmicos se encuentran, tejido respiratorio (48 %), principalmente epitelio bronquial, tejido intestinal (7-13 %), tejidos salivales y tiroides (3-14 %). Entre los tejidos mesodérmicos se encuentran hueso, cartílago, músculo y tejido adiposo (67-75 %).(3)

Generalmente son tumores asintomáticos. Su diagnóstico suele ser incidental, ya sea durante un examen pélvico de rutina o mediante imágenes abdominopélvicas realizadas para otras indicaciones. Cuando es sintomático, la queja principal es el dolor abdominal, que puede estar asociado con distensión abdominal, náuseas, vómitos, urgencia miccional o cualquier otro signo relacionado con una de sus complicaciones.(7)

Ecográficamente se pueden distinguir varias características como son: La grasa intratumoral, que muestra ecos regionales o difusos de alta amplitud (93 %); el nódulo de Rokitansky o tapón dermoide, que es un tubérculo densamente ecogénico que se proyecta en la luz del quiste y causa sombra (81-86 %); mechón de cabello que muestra ecos regionales o difusos de alta amplitud (65 %); el signo de puntos y rayas, que muestra puntos y líneas hiperecoicas que surgen de los pelos en diferentes orientaciones dentro del plano de imagen (61 %); calcificaciones gruesas/dientes que muestran ecos regionales de alta amplitud con sombreado (56 %); la apariencia de cola de cometa, que son hebras de cabello hipoecoicas que causan sombra acústica posterior (12 %); los niveles de grasa/líquido y líquido/líquido muestran sebo anecoico en capas, por encima de la capa acuosa hiperecoica (8-12 %). El signo de la punta del iceberg muestra una mezcla de grasa, cabello y restos celulares, que crean un foco ecogénico, lo cual hace que se vea una sombra acústica posterior (4 %). El signo de las bolas flotantes es poco común en la ecografía y demuestra glóbulos de grasa hiperecoicos flotantes, que se mueven con el cambio de posición de la paciente.(8)

La tomografía axial computarizada tiene una alta sensibilidad en el diagnóstico de los teratomas quísticos, aunque no se recomienda de forma rutinaria debido a su radiación ionizante. En las imágenes por tomografía computarizada o resonancia magnética, los teratomas quísticos maduros se caracterizan con mayor frecuencia por una masa quística con un área de baja densidad de grasa intratumoral. La presencia de calcificación respalda aún más el diagnóstico de un teratoma ovárico; sin embargo, este hallazgo se puede observar en otras neoplasias ováricas.(6)

En cuanto a los marcadores tumorales, la literatura señala los beneficios de la dosificación asociada a los estudios de imagen. CA 19-9 tiene importancia clínica como herramienta para ayudar en el diagnóstico de teratoma de ovario, aunque no es suficiente como una sola herramienta. Puede usarse como marcador de recurrencia. Un nivel elevado de CA 19-9, asociado con un CA 125 bajo, es un marcador útil para diferenciar entre teratoma de ovario y carcinoma. La alfafetoproteína, se ha revelado que rara vez está elevada.(7)

La torsión es la complicación más común (16 %). Otras complicaciones incluyen rotura tumoral (1-4 %), transformación maligna (1-2 %), infección superpuesta (1 %), invasión de vísceras adyacentes (menos del 1 %), hipertiroidismo (solo en struma ovarii) y raramente, anemia hemolítica autoinmune, síndrome paraneoplásicos como anemia hemolítica autoinmune y encefalitis por anticuerpos contra los receptores de N-metil-D-aspartato.(4)

Generalmente son de crecimiento lento (1 a 2 mm por año) y, por lo tanto, algunos recomiendan tratamiento no quirúrgico. En general, se tratan quirúrgicamente si son sintomáticos, si el tamaño es mayor de 5 cm o la tasa de crecimiento es mayor de 2 cm por año, ya que estas últimas características pueden indicar un mayor riesgo de torsión o ruptura.(3)

Las opciones de tratamiento para los pacientes incluye la extirpación quirúrgica mediante laparotomía o laparoscopia. Las opciones quirúrgicas incluyen quistectomía, salpingo-ovariectomía unilateral o salpingo-ovariectomía bilateral.(9)

En mujeres jóvenes se realiza la cirugía conservadora de ovario (quistectomía), es decir, escisión del teratoma quístico maduro, más conservación del parénquima ovárico, con el objetivo de preservar la funcionalidad ovárica y la preservación de la fertilidad.

El riesgo de desarrollar recurrencia es mayor en pacientes con antecedente de teratomas bilaterales, menor de 30 años y tamaño mayor a 8 cm en su diámetro máximo; con una tasa de recurrencia de 21 %.(3)

Los teratomas quísticos maduros del ovario son frecuentes en edad reproductiva y de forma unilateral; cuando lo hacen de forma bilateral tienen baja incidencia, por lo que un diagnóstico y tratamiento oportunos son importantes para evitar complicaciones, recidivas y garantizar la futura fertilidad de las pacientes.

 

 

REFERENCIAS BIBLIOGRÁFICAS

1. Valdespino Castillo VE, Maytorena Córdova G, López Matamoros I, Landa Mejía J, Zaragoza Vargas PE, Valdespino Gómez V. Teratoma quístico maduro con transformación maligna: serie de casos. Ginecol Obstet Mex. 2020 [acceso: 01/08/2022]; 88(3):154-60. Disponible en: https://doi.org/10.24245/gom. v88i3.3561

2. AlEssa A, AlAhmadi HH, Ahmed A, AlMousa A, Hamadeh NG, Farah YAH. Well-differentiated cerebellum in an ovarian mature cystic teratoma: a case report and review of the literature. J Med Case Reports. 2022 [acceso: 23/07/2022]; 16(1): 215. Disponible en: https://doi.org/10.1186/s13256-022-03444-1

3. García Verdugo M, Quevedo Castro E, Morgan Ortiz F, Conde Romero J, López Manjarrez G, Báez Barraza J. Manejo quirúrgico conservador del teratoma quístico maduro y riesgo de recurrencia. Rev Med UAS. 2020 [acceso: 23/07/2022]; 10(3):157-70. Disponible en: http://dx.doi.org/10.28960/revmeduas.2007-8013.v10.n3.008

4. Issack FH, Hassen SM, Mummed FO, Gebreselassie KH, Hassen SK, Hassen IK. Pilimiction, a rare presentation of ovarian teratoma: a case report. Res Rep Urol. 2022 [acceso: 01/08/2022]; 14:57-61. Disponible en: https://doi.org/10.2147/RRU.S356738

5. Coto Chaves C, Jiménez Víquez M, Naranjo Alfaro S. Teratoma: masa anexial en mujeres jóvenes. Revista Médica Sinergia. 2019 [acceso: 01/08/2022]; 4(6):31-9. Disponible en: https://doi.org/10.31434/rms.v4i6.243

6. Tejani AS, He L, Zheng W, Vijay K. Concurrent, Bilateral Presentation of Immature and Mature Ovarian Teratomas with Refractory Hyponatremia: A Case Report. J Clin Imaging Sci 2020 [acceso: 02/08/2022]; 10: 23. Disponible en: https://clinicalimagingscience.org/concurrent-bilateral-presentation-of-immature-and-mature-ovarian-teratomas-with-refractory-hyponatremia-a-case-report/

7. Dias do Carmo M, Oliveira Fiorio I, Silva Sampaio R, Marques Coelho Bastos J, Leal Pinheiro P, Carreiro Pinasco G, et al. Teratoma maduro de ovario en una adolescente. Revista residencia pediátrica. 2021 [acceso: 01/08/2022]; 11(1):126. Disponible en: https://cdn.publisher.gn1.link/residenciapediatrica.com.br/pdf/rp13072021a02.pdf

8. Reddy R. Ovarian Dermoid (Mature Cystic Teratoma) in a Postmenopausal Woman: Incidence of Sonographic Signs. Cureus. 2021 [acceso: 25/07/2022];13(8):e17581. Disponible en: https://www.ncbi.nlm.nih.gov/pmc/articles/PMC8483449/

9. Njoku C, Oriji PC, Afolabi AS, Kuete E. Bilateral dermoid cyst of the ovary: A case report. Yenagoa Medical Journal. 2020 [acceso: 28/07/2022]; 2(1):190-2. Disponible en: https://ssrn.com/abstract=3516107

 

 

Conflictos de interés

Los autores declaran que no existen conflictos de interés.