Presentación de caso

 

Perforación gástrica secundaria a balón gástrico

Gastric perforation secondary to gastric balloon

 

Daniel Gonzalez-Arroyave1,2 https://orcid.org/0000-0002-2162-8484
Robinson Andrés Orjuela-Correa1 https://orcid.org/0000-0003-2927-6716
Alexander Ortiz-López1 https://orcid.org/0000-0003-1067-4570
Carlos Martín Ardila3* https://orcid.org/0000-0002-3663-1416

 

1Hospital San Vicente Fundación. Rionegro, Colombia.
2Universidad Bolivariana. Medellín, Colombia.
3Universidad de Antioquia. Medellín, Colombia.

*Autor para la correspondencia. Correo electrónico: martin.ardila@udea.edu.co

 

 


RESUMEN

Introducción: El uso del balón gástrico es un tratamiento alternativo y mínimamente invasivo de la obesidad mórbida, con indicaciones determinadas. Aunque el procedimiento de inserción es fácil y bien tolerado por la mayoría de los pacientes, pueden presentarse complicaciones. Una complicación grave e infrecuente es la perforación gástrica.
Objetivo: Presentar un paciente con perforación gástrica secundaria a balón intragástrico que se le realizó tratamiento endoscópico en dos tiempos.
Caso clínico: Se presenta una paciente de 25 años, con perforación gástrica; tratada con balón gástrico 6 meses antes de acudir al servicio de urgencias con dolor abdominal intenso. Se realizó radiografía de tórax que mostró escaso neumoperitoneo subdiafragmático derecho, por lo que se procedió a realizar tomografía axial computarizada contrastada de abdomen, que mostró signos que sugerían perforación gástrica. Con base en los hallazgos tomográficos se llevó a la paciente a una laparoscopia diagnóstica. Se observó presencia de plastrón en epigastrio con una perforación de 0,5 mm. Por vía laparoscópica se drenó la peritonitis purulenta, con gastrorrafía y epiploplastia. Se palpó balón inflado, pero no fue posible acceder a él por el orificio de la perforación. Después se programó a la paciente para una extracción del balón gástrico guiada por endoscopio, la cual se realizó sin complicaciones.
Conclusiones: La perforación gástrica por balón intragástrico es una complicación infrecuente, pero, debe ser sospechada ante un cuadro de dolor abdominal intenso. Se debe realizar tomografía computarizada contrastada para el diagnóstico, previo al tratamiento.

Palabras clave: balón gástrico; complicaciones; tratamiento; obesidad.


ABSTRACT

Introduction: The use of the gastric balloon is an alternative and minimally invasive treatment of morbid obesity, with specific indications. Although the insertion procedure is easy and well tolerated by most patients, complications can occur. A serious and uncommon complication is gastric perforation.
Objective:To present a patient with gastric perforation secondary to an intragastric balloon who underwent endoscopic treatment in two stages.
Clinical case: A 25-year-old patient with gastric perforation treated with a gastric balloon 6 months before going to the emergency department with severe abdominal pain is presented. Chest X-ray showed little right subdiaphragmatic pneumoperitoneum, so contrasted computed axial tomography of abdomen was performed, which showed signs suggestive of gastric perforation. Based on the tomographic findings, the patient underwent diagnostic laparoscopy. A plastron was observed in the epigastrium with a perforation of 0.5 mm. The purulent peritonitis was drained laparoscopically, with gastrorrhaphy and epiploplasty. An inflated balloon was palpated could not be accessed through the perforation orifice. The patient was then scheduled for an endoscope-guided gastric balloon removal, which was performed without complications.
Conclusions: Gastric perforation by intragastric balloon is an infrequent complication, but should be suspected in the event of severe abdominal pain. Contrasted computed tomography should be performed for diagnosis prior to treatment.

Keywords: gastric balloon; complications; treatment; obesity.


 

 

Recibido: 10/02/2023
Aprobado: 17/04/2023

 

 

INTRODUCCIÓN

El uso del balón gástrico (BG) es un tratamiento alternativo y mínimamente invasivo de la obesidad mórbida, con indicaciones determinadas.(1,2) Esta alternativa llena el vacío existente, entre numerosas medidas convencionales y la cirugía bariátrica.(3)

La terapia con BG es potencialmente efectiva y está respaldada por múltiples resultados, que demuestran una pérdida promedio del exceso de peso corporal, entre 55,6 % y 32,1 %, a los 6 meses después del tratamiento,(2,4,5) o alrededor del 25 % al cabo de 1 año.(3,4,6) Además, en la mayoría de los casos, la pérdida se mantiene a corto y mediano plazo; y en el 23 % se mantiene por más de 5 años, en combinación con dieta, entrenamiento físico y cambios en el estilo de vida.(3,4)

De acuerdo con los requisitos de calidad para la construcción y posterior utilización del dispositivo tipo BG, se indica que el globo debe ser liso, sin costuras, construido con material de larga duración, con bajo potencial ulcerogénico, ajustable a varios tamaños y debe incorporar un marcador radiopaco, para su identificación en caso de desinflado.(7)

Aunque el procedimiento de inserción es fácil y bien tolerado por la mayoría de los pacientes, se pueden presentar complicaciones, como úlcera gástrica, erosión gástrica, esofagitis, reflujo gastroesofágico y desinflado espontáneo del globo.(8) Una de las complicaciones graves es la perforación gástrica/ esofágica que requiere de cirugía urgente. Sin embargo, la perforación generalmente ocurre en el momento de la inserción o extracción del BG. La perforación gástrica es una complicación rara reportada en el 0,1 % de los pacientes sometidos a inserción de BG.(9)

En este artículo se reporta un caso de perforación gástrica por balón gástrico, 6 meses posterior a la inserción.

 

 

CASO CLÍNICO

Paciente de 25 años de edad, con antecedente de BG para tratar la obesidad; ingresó en un hospital de alto nivel de complejidad con cuadro clínico de un día de evolución, de dolor abdominal, localizado en hemiabdomen superior, más específicamente en epigastrio e hipocondrio derecho, intenso, asociado a náuseas sin llegar al vómito; sin otros síntomas asociados, de un día de evolución.

La paciente ingresó con los siguientes signos vitales: Presión arterial, 131/74 mmHg, frecuencia cardíaca, 110 por minuto, frecuencia respiratoria, 18 por minuto, saturación de oxígeno, 95 %.

Al examen físico se presentó alerta, orientada en las 3 esferas, con dolor intenso a la palpación en epigastrio e hipocondrio izquierdo, sin signos evidentes de irritación peritoneal.

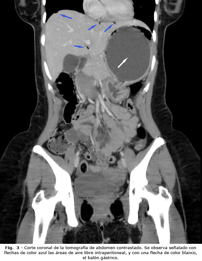
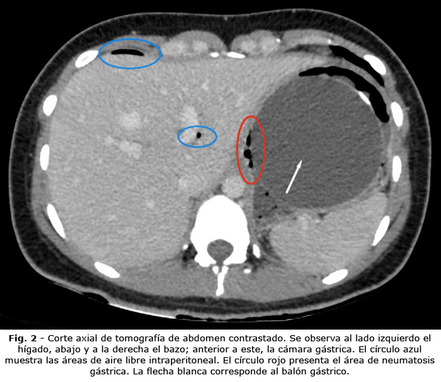
Ante la sospecha de posible perforación secundaria, se decidió solicitar radiografía toracoabdominal de pie, para evaluar la presencia de neumoperitoneo. Se realizó radiografía del tórax en la cual se evidenció neumoperitoneo subdiafragmático derecho reducido (Fig. 1). Se procedió a realizar tomografía axial computarizada (TAC) contrastada de abdomen, que reportó signos que sugerían perforación gástrica (engrosamiento de las paredes del estómago, asociado a neumatosis de la pared y aire libre intraperitoneal) (Fig. 2 y Fig. 3), asociados a cambios inflamatorios intraperitoneales.

La paciente fue valorada por especialistas en cirugía general. Con los hallazgos tomográficos y la aparición de signos de irritación peritoneal, se decidió llevar de forma emergente a realizar una laparoscopia diagnóstica, con la posibilidad de realizar laparotomía según los hallazgos.

Durante el procedimiento quirúrgico se evidenció presencia de plastrón en el epigastrio, conformado por el estómago, la pared abdominal y el hígado; con una perforación microscópica de 0,5 mm, en la cara anterior del cuerpo gástrico, con membranas de fibrina. Se palpó dentro el balón inflado; sin embargo, no fue posible acceder a él por el orificio de la perforación.

Se realizó drenaje de la peritonitis purulenta de 4 cuadrantes, gastrorrafía y epiploplastia por laparoscopia. El procedimiento se realizó sin ninguna complicación.

Posteriormente, la paciente fue valorada por especialista en gastroenterología y se decidió programarla para una extracción del balón gástrico, guiada por endoscopio, la cual se realizó sin complicaciones.

Luego de los procedimientos realizados, la paciente se hospitalizó en una sala de cuidados generales, para vigilar de forma estrecha su evolución; se continuó tratamiento antibiótico de amplio espectro (piperacilina y tazobactam). Se progresó de dieta líquida hasta dieta normal en la medida que el paciente la fue tolerando. Fue dada de alta al quinto día desde su ingreso, después de presentar una adecuada evolución clínica, un descenso en los reactantes de fase aguda (neutrófilos, leucocitos, plaquetas y proteína C Reactiva), una adecuada tolerancia de la vía oral y un control del dolor postoperatorio.

 

 

COMENTARIOS

Teniendo en cuenta la pérdida de peso, la cirugía bariátrica proporciona una respuesta prolongada y eficaz con un control adecuado de las comorbilidades asociadas a la obesidad.(10) A pesar de ello, este tipo de cirugía tiene indicaciones específicas y tiene riegos.(11) La perforación gástrica, aunque se presenta con baja frecuencia, es considerada una complicación grave del BG.(12) Se ha indicado que el BG puede ejercer una presión inadecuada sobre la pared gástrica, que ocasiona finalmente su perforación.Se ha descrito que esta complicación se presenta después de 2 horas de insertado el BG y hasta 22 meses después.(12)

La perforación gástrica secundaria a BG ocurre con mayor frecuencia en los primeros 6 meses posterior a la inserción.(9,10) El tratamiento usual es la laparotomía, con el fin de reparar la perforación y retirar el balón; de no ser posible, se realiza endoscopia digestiva alta para retirar el balón, ya sea en el mismo tiempo quirúrgico o en un segundo tiempo, como en el caso que se presentó.(10,13) Se ha recomendado además, la utilización de TAC contrastada para confirmar la sospecha diagnóstica.(13)

La perforación gástrica por balón intragástrico es una complicación infrecuente, pero debe ser sospechada ante un cuadro de dolor abdominal intenso. Se debe de realizar tomografía computarizada contrastada para el diagnóstico, previo al tratamiento.

 

 

REFERENCIAS BIBLIOGRÁFICAS

1. Mujtaba G, Zehra R, Balkhi F, Shaikh N. Impact of Intragastric Balloon: A Rare Complication. J Coll Physicians Surg Pak. 2022; 32(8):S89-S91. DOI: 10.29271/jcpsp.2022.Supp2.S89

2. Genco A, López-Nava G, Wahlen C, Maselli R, Cipriano M, Sanchez MM, et al. Multi-centre European experience with intragastric balloon in overweight populations: 13 years of experience. Obes Surg. 2013; 23(4):515-21. DOI 10.1007/s11695-012-0829-3

3. Shah R, Davitkov P, Abu Dayyeh BK, Saumoy M, Murad MH. AGA Technical Review on Intragastric Balloons in the Management of Obesity. Gastroenterology. 2021; 160(5):1811-30. DOI: 10.1053/j.gastro.2021.02.043

4. Lari E, Burhamah W, Lari A, Alsaeed T, Al-Yaqout K, Al-Sabah S. Intra-gastric balloons - The past, present and future. Ann Med Surg (Lond). 2021; 63:102138. DOI: 10.1016/j.amsu.2021.01.086

5. Hawa F, Vargas EJ, Acosta A, McRae A, Bazerbachi F, Abu Dayyeh BK. Contamination of single fluid-filled intragastric balloons with orogastric fluid is not associated with hyperinflation: an ex-vivo study and systematic review of literature. BMC Gastroenterol. 2021; 21(1):286. DOI: 10.1186/s12876-021-01863-w

6. Ramai D, Singh J, Mohan BP, Madedor O, Brooks OW, Barakat M, et al. Influence of the Elipse Intragastric Balloon on Obesity and Metabolic Profile: A Systematic Review and Meta-Analysis. J Clin Gastroenterol. 2021; 55(10):836-41. DOI: 10.1097/MCG.0000000000001484

7. Stavrou G, Tsaousi G, Kotzampassi K. Life-threatening visceral complications after intragastric balloon insertion: Is the device, the patient or the doctor to blame? Endosc Int Open. 2019; 7(2): E122-E9. DOI 10.1055/a-0809-4994

8. Prado A, Brito RO, Pereira ECA, Correa JL, Neto MG, Dayyeh BKA, et al. First Study of Naturally Formed Fungal Biofilms on the Surface of Intragastric Balloons. Obes Surg. 2021 Dec; 31(12):5348-57. DOI: 10.1007/s11695-021-05730-1

9. Stavrou G, Shrewsbury A, Kotzampassi K. Six intragastric balloons: Which to choose? World J Gastrointest Endosc. 2021; 13(8):238-59. DOI: 10.4253/wjge.v13.i8.238

10. Ribeiro IB, Bernardo WM, Martins BDC, de Moura DTH, Baba ER, Josino IR, et al. Colonic stent versus emergency surgery as treatment of malignant colonic obstruction in the palliative setting: a systematic review and meta-analysis. Endosc Int Open. 2018; 6(5):E558-E567. DOI 10.1055/a-0591-2883

11. Ribeiro IB, Gestic MA, Utrini MP, Chaim FDM, Chaim EA, Cazzo E. Drain amylase levels may indicate gastrojejunostomy leaks after roux-en-y gastric bypass. Arq Gastroenterol. 2018; 55(1):66-72. DOI 10.1590/S0004-2803.201800000-13

12. Cho JH, Bilal M, Kim MC, Cohen J; Study Group for Endoscopic Bariatric and Metabolic Therapies of the Korean Society of Gastrointestinal Endoscopy. The Clinical and Metabolic Effects of Intragastric Balloon on Morbid Obesity and Its Related Comorbidities. Clin Endosc. 2021; 54(1):9-16. DOI: 10.5946/ce.2020.302

 

 

Conflictos de interés

Los autores declaran no tener ningún tipo de conflicto de interés.

La paciente firmó el consentimiento informado con fines de publicación. El reporte de este caso también fue avalado por el Comité de Bioética Institucional.