Presentación de caso

 

Enfermedad cardioembólica cerebral a partir de un tumor primario de cavidades cardíacas izquierdas

Cerebral cardioembolic disease from a primary tumor of the left heart chambers

 

Rodolfo Vega Candelario1* https://orcid.org/0000-0003-4459-8350
Junior Vega Jiménez2 https://orcid.org/0000-0002-6801-5191

1Hospital Provincial Docente Roberto Rodríguez Fernández. Morón, Ciego de Ávila, Cuba.
2Hospital Militar "Dr. Mario Muñoz Monroy". Matanzas, Cuba.

*Correspondencia. Correo electrónico: rvc_50@infomed.sld.cu

 

 


RESUMEN

Introducción: De los tumores cardiacos primarios, el 75 % son benignos y más de la mitad corresponde a mixomas. Pueden ser asintomáticos o generar manifestaciones cardíacas, sistémicas o embólicas, estas últimas frecuentes.
Objetivo: Divulgar la importancia de tener presente el tumor primario cardiaco como causa de enfermedad embólica cerebral.
Caso clínico: Hombre de 53 años de edad, con mareos, cefalea, malestar general, decaimiento, dolores articulares, palpitaciones, disnea y ortopnea. Sufrió pérdida de la conciencia y posteriormente pérdida de la fuerza muscular del hemicuerpo izquierdo debido a un accidente vascular encefálico de tipo embólico. Con el ecocardiograma transtorácico, se confirmó el diagnóstico de un tumor primario cardiaco. Después de la operación, se comprobó en anatomía patológica, que era un mixoma.
Conclusiones: El mixoma es un tumor que puede producir fenómenos cardioembólicos y se debe tener presente en pacientes como el que se presenta.

Palabras clave: mixoma; cardioembólico; embolismo; infarto cerebral.


ABSTRACT

Introduction: Of the primary cardiac tumors, 75% are benign and more than half correspond to myxomas. They can be asymptomatic or generate cardiac, systemic or embolic manifestations, the latter frequent.
Objective: To remark the importance of considering the primary cardiac tumor as a cause of cerebral embolic disease.
Clinical case: 53-year-old man with dizziness, headache, general malaise, weakness, joint pain, palpitations, dyspnea and orthopnea. He suffered loss of consciousness and later loss of muscle strength in the left half of the body due to an embolic-type stroke. With the transthoracic echocardiogram, the diagnosis of a primary cardiac tumor was confirmed. After the operation, it was verified in pathological anatomy, that it was a myxoma.
Conclusions: Myxoma is a tumor that can produce cardioembolic phenomena and must be taken into account in patients like the one presented.

Keywords: myxoma; cardioembolic; embolism; cerebral stroke.


 

 

Recibido: 23/01/2019
Aprobado: 20/01/2020

 

 

INTRODUCCIÓN

Los tumores ubicados en las cavidades cardíacas izquierdas, pueden provocar embolias sistémicas, más frecuentemente en el cerebro. La manifestación clínica más común de este evento es el accidente vascular encefálico (ACV) o ataque isquémico transitorio (AIT). El diagnóstico definitivo solo se obtiene con la histopatología del tejido tumoral. La mejor alternativa para los tumores benignos, generalmente es el tratamiento quirúrgico, que en muchos casos puede considerarse curativo.(1)

Estos tumores se caracterizan por ser blandos, gelatinosos y muy friables, favorecen el desprendimiento de fragmentos embolizantes.(1) Pueden ser asintomáticos durante períodos prolongados. Clínicamente se pueden presentar con la descripta tríada de Goodwing, que consiste en: manifestaciones generales (90 %) debidas a la actividad secretora, o a la necrosis tumoral (como fiebre prolongada, pérdida de peso, anemia, leucocitosis y eritrosedimentación elevada); manifestaciones embólicas (3 a 40 %) por desprendimiento del material mixoide a la circulación sistémica o pulmonar y manifestaciones obstructivas, por compromiso de diversas estructuras cardíacas. Otras formas de presentación menos frecuentes son la muerte súbita (15 %) y la infección tumoral.(1,2,3,4) La ecocardiografía es el método diagnóstico imagenologico principal.(3,4)

Una vez realizado el diagnóstico de tumor compatible con mixoma, la resección quirúrgica debe realizarse cuanto antes, debido a la posibilidad de muerte súbita y eventos embólicos.(3,4,5)

El embolismo ocurre en el 30 % al 40 % de los casos.(1,4,5,6,7) Los factores de riesgo de embolización incluyen: tamaño grande del tumor, movilidad incrementada, naturaleza polipoide, localización en la válvula mitral y ventrículo izquierdo, y ausencia de calcificaciones.(8)

El objetivo de esta presentación, es divulgar la importancia de tener presente el tumor primario cardiaco como causa de enfermedad embólica cerebral.

 

 

CASO CLÍNICO

Paciente de 53 años de edad, masculino, fumador inveterado, bebedor habitual e hipertenso. Incumple su dieta y el tratamiento con fármacos hipotensores. Sufre cefaleas, mareos, palpitaciones, dolor torácico tipo anginoso, caídas al suelo, decaimiento y malestar general, que no le permitían cumplir con actividades que antes realizaba con facilidad. Sufrió pérdida de la conciencia, convulsiones de con duración prolongada. Al recobrar la conciencia tuvo dificultades para la articulación del lenguaje, cefalea intensa y disminución de la motilidad del hemicuerpo izquierdo, con dificultad para la marcha. Presentaba disnea, palpitaciones y dolor en el pecho tipo ángor.

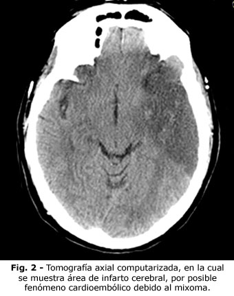
Se realizó el diagnóstico de infarto cerebral del hemisferio derecho, confirmado mediante TAC (tomografía axial computadorizada) y se ingresó con tratamiento y rehabilitación precoz, según el protocolo establecido.

A los 6 meses de tratamiento, incluyendo rehabilitación integral, continúa con malestar general, decaimiento, dolores articulares, fiebre, cefalea, dolor torácico tipo ángor, disnea al esfuerzo, ortopnea, palpitaciones y mareos, que el paciente describe como sensación de muerte. Acude a consulta de cardiología, se constata soplo diastólico largo y plof diastólico. Se realiza ecocardiograma de urgencia, en el cual además de la hipertrofia concéntrica moderada y discreta disfunción diastólica, presentaba un mixoma cardiaco grande que bascula desde la aurícula izquierda (AI) hacia el ventrículo izquierdo (VI), con gran movilidad, por un pedículo largo que le permitía estar más tiempo en el ventrículo izquierdo que en la aurícula izquierda. Tenía aspecto friable, y a pesar de que la válvula mitral permanecía sana, le ocasionaba enclavamiento en el orificio valvular, con dificultad para el paso de la sangre en diástole, de la AI al VI.

El paciente fue trasladado al cardiocentro de Santa Clara "Ernesto Che Guevara".

Se le realizaron estudios hemodinámicos, la coronariografía fue normal, sin lesión valvular mitral. Se extirpó un tumor de gran tamaño. En anatomía patología se comprobó que se trataba de un tumor benigno, muy friable: mixoma con pedículo largo, que le permitía permanecer en el ventrículo izquierdo y enclavado en el orificio valvular mitral. Después de la intervención, el enfermo ha evolucionado bien, con seguimiento en consulta de cardiología y tratamiento para su hipertensión (ver Fig. 1, Fig. 2 y Fig. 3).

 

 

 

 

 

COMENTARIOS

El tumor cardiaco primario más frecuente, es el mixoma, cuando es grande, suele ser friable, de gran movilidad y da lugar a fenómenos cardioembólicos, tanto pulmonares (cuando son derechos) y sistémicos (cuando son de cavidades izquierdas).(8,9) Cuando se diagnostica un infarto cerebral, es preciso tener en cuenta a este tumor, entre los diagnósticos diferenciales.

En el caso presentado, se hace evidente lo descrito en relación con el infarto cerebral. Se han reportado otras formas de presentación como: tromboembolismo pulmonar,(10) ictus cardioembólico,(11,12) y obstrucción de la arteria oftálmica. Antolín y otros(10) muestran una paciente con un mixoma auricular izquierdo que causó una insuficiencia renal aguda, por rabdomiólisis secundaria a isquemia de miembros inferiores, tras embolización de un fragmento tumoral.

El mixoma pediculado de aurícula izquierda, puede ser una urgencia quirúrgica,(13) tener afectación biauricular,(14) y puede infectarse.(15) Otros autores describen el mixoma bilobulado gigante de aurícula derecha(5) y el de VI en un paciente con síndrome de inmunodeficiencia humana.(16)

El método de elección para realizar el diagnóstico, es el ecocardiograma, pues es preciso, confiable, barato, no implica riesgo de fragmentación del tumor ni posterior embolización. El estudio anátomo patológico es concluyente.(17)

El mixoma es un tumor que puede producir fenómenos cardioembólicos y se debe tener presente en pacientes como el que se presenta.

 

 

REFERENCIAS BIBLIOGRÁFICAS

1. Rottier Salguero R, Vega Ulate GA. Tumor primario del corazón más común: Mixoma cardíaco. Revista Médica de Costa Rica y Centroamérica. 2012 [acceso:19/12/2018]; LXIX (604):481-7. Disponible en: https://www.binasss.sa.cr/revistas/rmcc/604/art8.pdf

2. Mendoza-Chuctaya G, Alexander Montesinos-Cárdenas A. Insuficiencia cardiaca por mixoma auricular izquierdo gigante: reporte de un caso. Horiz Med. 2017[acceso:19/12/2018];17(1):71-3. Disponible en: https://www.scielo.org.pe/pdf/hm/v17n1/a12v17n1.pdf

3. Munoz Serret D, García E, Jorge Páez J, Hernández E. Mixoma gigante de aurícula derecha. Presentación de un caso. Cir Cardiov. 2013[acceso:19/12/2018];20(4):203-5. Disponible en: https://www.elsevier.es/es-revista-cirugia-cardiovascular-358-pdf-S1134009613000168

4. Hernández Bringas O, Ortiz Hidalgo C. Características histopatológicas e inmunohistoquímicas de los mixomas cardiacos. Arch. Cardiol. Méx. 2013[acceso:20/12/2018]; 83(3):199-208. Disponible en https://www.scielo.org.mx/pdf/acm/v83n3/v83n3a12.pdf

5. Manzur J F, Barbosa C, Puello A. Mixoma auricular izquierdo asociado a insuficiencia severa de válvula mitral en paciente de género femenino de 31 años de edad: reporte de caso. Rev. Colomb. Cardiol. 2011[acceso: 22/12/2018];18(6):345-9. Disponible en: https://core.ac.uk/download/pdf/82196637.pdf

6. Navarro OD, Fernández LJ. Estenosis mitral por Mixoma auricular izquierdo. Revista Colombiana de Cardiología. 2016 [acceso: 23/12/2018];23(4):304.e1-304.e4. Disponible en: https://www.sciencedirect.com/science/article/pii/S0120563315001928

7. Moreno-Ariño M, Ortiz-Santamaría V, Deudero Infante A, Ayats Delgado M, Novell Teixidó F. Un simulador clásico de vasculitis sistémica. Reumatol Clin. 2011[acceso: 24/12/2018];12(2):103-6. Disponible en: https://doi.org/10.1016/j.reuma.2015.03.006

8. Vico Besó L, Zúñiga Cedó E. Tromboembolismo pulmonar secundario a Mixoma de aurícula derecha. SEMERGEN. 2013 [acceso: 25/12/2018]; 9(7):54-6. Disponible en: https://www.elsevier.es/es-revista-medicina-familia-semergen-40-articulo-tromboembolismo-pulmonar-secundario-mixoma-auricula-S1138359312001591

9. Failo M. Accidente cerebrovascular y Mixoma auricular. Revista CONAREC. 2011 [acceso: 26/12/2018]; 27(110):1-4. Disponible en: https://www.revespcardiol.org/es-pdf-13031151

10. Antolín A, Franco A, Albero MD, Giménez MJ, Margarit C, Ibáñez A, Olivares J. Fracaso renal agudo secundario a mixoma cardíaco. Nefrología. 1997 [acceso: 27/12/2018];17(2):107-87. Disponible en: https://www.revistanefrologia.com/es-fracaso-renal-agudo-secundario-mixoma-articulo-X0211699597009295

11. Al-Fakhouri A, Muhammad Janjua M, DeGregori M. Acute myocardial infarction caused by left atrial myxoma: Role of intracoronary catheter aspiration. Rev Port Cardiol. 2018[acceso:28/12/2018];36(1):63.e1-63.e5. Disponible en: https://www.sciencedirect.com/science/article/pii/S2174204916302756

12. Imbalzano E. Angina pectoris: First manifestation of a left atrial myxoma. International Journal of Cardiology. 2014 [acceso: 28/12/2019];172(1):165-166.Av4. Disponible en: https://www.clinicalkey.es/#!/content/playContent/1-s2.0-S0167527313022699

13. Yera GJ, Medrano Plana Y, Bermúdez Yera R, Lagomasino Hidalgo AL, López de la Cruz Y, González Borges LA, et al. Tratamiento quirúrgico urgente en paciente con Mixoma auricular izquierdo pediculado. CorSalud. 2009[acceso: 29/12/2018]; 1(4):[aprox. 7 p.]. Disponible en: https://dialnet.unirioja.es/descarga/articulo/3990060.pdf

14. Bermúdez Yera R, Lagomasino Hidalgo A, Bermudez Yera GJ, Medrano Plana Y, González Díaz A, Monteagudo Lima L, et al. Mixoma biauricular: presentación del primer caso operado en el cardiocentro Ernesto Che Guevara. CorSalud. 2010[acceso: 29/12/2018]; 2(3):[164-9]. Disponible en: https://dialnet.unirioja.es/descarga/articulo/3990601.pdf

15. García Quintana A, Martín Lorenzo P, Suárez de Lezo J, Díaz Escofet M, Llorens R, Medina A. Mixoma auricular izquierdo infectado. Rev Esp Cardiol. 2005[acceso: 30/12/2018];58(11):1358-60. Disponible en: https://doi.org/10.1157/13080966

16. Castellanos Rojas R, Ferrer Herrera I, Martínez Pinto PD, Carreras Calvo F, Perozo Panicello R, Segura Pujal LA. Mixoma ventricular izquierdo en paciente con síndrome de inmunodeficiencia humana. AMC. 2016[acceso: 30/12/2018];20(3):309-14. Disponible en: http://scielo.sld.cu/scielo.php?pid=S1025-02552016000300011&script=sci_arttext&tlng=pt

17. Gabe ED, Rodríguez Correa C, Vigliano C, San Martino J, Wisner JN, González P, et al. Mixomas cardíacos: correlación anatomoclínica. Rev. Esp Cardiol. 2002[acceso: 29/1072031]55(5):505-13. Disponible en: https://www.revespcardiol.org/es/mixomas-cardiacos-correlacion-anatomoclinica/articulo/13031151/

 

Conflictos de intereses

El autor declara que no existen conflictos de intereses.