Presentación de Caso

 

Caso raro de fibroma odontogénico periférico

Rare case of peripheral odontogenic fibroma

 

Andres Pauwels1 https://orcid.org/0009-0001-2031-8812
Constanza Lozano Morales2 https://orcid.org/0000-0001-6889-9970
Laura Alvis3 https://orcid.org/0009-0000-0274-4132
Maria Mariño3 https://orcid.org/0009-0002-1749-1304
Laura Sanabria3 https://orcid.org/0009-0006-2653-7254
Gabriela Angulo3 https://orcid.org/0009-0007-0868-7205
Marcela Mejía-Arango4 https://orcid.org/0000-0002-1186-2437
Santiago Torres-Morales3* https://orcid.org/0009-0003-1757-2152

 

1Departamento Salud Oral Hospital Universitario Fundación Santa Fe de Bogotá. Bogotá, Colombia
2Sección Cirugía Oral y Maxilofacial Hospital Universitario Fundación Santa Fe de Bogotá, Colombia.
3Facultad de Odontología Universidad El Bosque. Bogotá, Colombia.
4Departamento de patología y laboratorio de la Fundación Santa Fe de Bogotá-Universidad de los Andes. Bogotá, Colombia.

*Autor para la correspondencia. Correo electrónico: storresm@unbosque.edu.co

 

 


RESUMEN

Introducción: El fibroma odontogénico periférico es un tumor mesenquimal de origen odontogénico, extraóseo, poco frecuente, benigno y de crecimiento lento. Sus características clínicas y patológicas se asemejan a otros tumores odontogénicos y no odontogénicos, y el diagnóstico conclusivo se basa en el examen histopatológico. El fibroma odontogénico periférico debe incluirse en el diagnóstico diferencial de los tumores extraóseos de los maxilares.
Objetivo: Reportar un caso raro de fibroma odontogénico periférico en maxilar inferior.
Caso Clínico: Paciente masculino, de 59 años, quien asiste por urgencias tras presentar masa sólida exofítica purulenta en maxilar inferior con posible diagnóstico de carcinoma escamocelular. Se le realizó una biopsia incisional en la cual la histopatología determinó fibroma odontogénico periférico y se realizó resección de este mediante láser CO2 terapéutico.
Conclusiones: El conocimiento de esta entidad ayuda a entender a los odontólogos, patólogos orales y cirujanos maxilofaciales sobre la naturaleza inusual de esta lesión, a establecer un diagnóstico correcto y brindar el manejo terapéutico adecuado.

Palabras clave: fibroma odontogénico periférico; neoplasias gingivales; tumores odontogénicos.


ABSTRACT

Introduction: Peripheral odontogenic fibroma is a mesenchymal tumor of odontogenic origin, extraosseous, rare, benign, and slow-growing. Its clinical and pathological characteristics resemble those of other odontogenic and non-odontogenic tumors, and the conclusive diagnosis is based on histopathological examination. Peripheral odontogenic fibroma should be included in the differential diagnosis of extraosseous tumors of the jaws.
Objective: To report a rare case of peripheral odontogenic fibroma in the lower jaw.
Clinical Case: A 59-year-old male patient presented to the emergency department with a solid purulent exophytic mass in the lower jaw, initially suspected to be squamous cell carcinoma. Subsequently, an incisional biopsy was performed, and histopathological analysis determined peripheral odontogenic fibroma. Therapeutic resection using CO2 laser was carried out.
Conclusions: Knowledge of this entity helps dentists, oral pathologists, and maxillofacial surgeons understand the unusual nature of this lesion, enabling accurate diagnosis and appropriate therapeutic management.

Keywords: gingival neoplasms; odontogenic tumors; peripheral odontogenic fibroma.


 

 

Recibido: 27/02/2024
Aprobado: 19/06/2024

 

 

INTRODUCCIÓN

En la clasificación de los tumores de cabeza y cuello de la OMS(1) del 2017, entre los quistes y tumores odontogénicos existe la categoría de tumores benignos mesenquimales odontogénicos, con presencia o ausencia de epitelio odontogénico, dentro de los cuales se encuentran el fibroma odontogénico, fibromixoma, cementoblastoma y fibroma cemento osificante. El fibroma odontogénico es una neoplasia odontogénica benigna, poco frecuente, de crecimiento lento, de etiología desconocida; sin embargo, se relaciona con el mesodermo del epitelio odontogénico, se ubica en los maxilares, principalmente en la mandíbula, en la zona gingival, en el área de los incisivos, caninos y premolares.(2,3,4)

Se clasifica topográficamente en central o intraóseo y periférico (extraóseo). Epidemiológicamente no existe una edad específica de presentación, sin embargo, se ha reportado con más frecuencia en la segunda y cuarta década de la vida y corresponde entre el 1,2 % al 4,7 % de todos los tumores odontogénicos.(2,3,5)

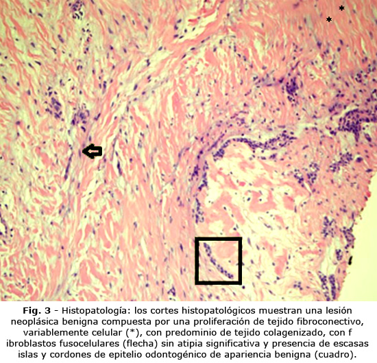
El fibroma odontogénico periférico se caracteriza clínicamente como una masa firme, sésil, no dolorosa, no ulcerada, en la encía que no es visible en la radiografía panorámica, por lo que la biopsia es el método más eficaz para su diagnóstico. La histopatología es idéntica a la contraparte central y se caracteriza por una proliferación de tejido fibroso, compuesto por fibroblastos sin atipia significativa, que se disponen en un estroma densamente colagenizado celular, con variable presencia de islas y cordones de epitelio odontogénico.(2,3,5) El diagnóstico diferencial clínico, y patológico, en algunos casos, incluye granuloma piógeno, fibroma periférico osificante, lesión de células gigantes, hiperplasia fibrosa focal.(2,5,6)

El objetivo es reportar un caso raro de fibroma odontogénico periférico.

 

 

CASO CLÍNICO

Paciente masculino, de 59 años de edad, quien acude al servicio de urgencias del Hospital Universitario Fundación Santa Fe de Bogotá, Colombia. No refiere antecedentes médicos personales relevantes; presentaba sintomatología dolorosa en escala análoga de 10/10.

Relató que sentía un dolor intenso en la zona del maxilar inferior. Con anterioridad se le habían prescrito antibióticos.

Al examen clínico presentó masa heterogénea de contornos lobulados, exofítica, con ulceración y exudado purulento, localizada en el maxilar inferior, que afecta el espacio bucal del lado derecho y se extiende hacia la línea media, sobre la encía vestibular de lado derecho. Presenta una dimensión aproximada de 75 x 28 milímetros. Además, se identifica irregularidad y adelgazamiento de la cortical, hacia la región anterior derecha del maxilar y lateral de la mandíbula, con invasión de la mucosa yugal (Fig. 1).

 

 

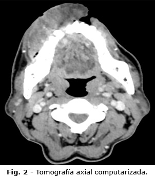
Los hallazgos en la tomografía computarizada mostraron una masa del labio inferior y espacio bucal derecho, con invasión de la cortical ósea del maxilar inferior, por el reborde alveolar y cortical vestibular, adyacente a los dientes 42, 43 y 44, e invasión de la mucosa yugal y del carrillo derecho (Fig. 2).

 

 

Se decidió realizar biopsia incisional en la encía vestibular del maxilar inferior. Entre los diagnósticos diferenciales se presumía un posible carcinoma escamocelular. El informe anatomopatológico reportó que la mucosa tenía ulceración e hiperplasia epitelial, sin cambios displásicos, con prominente reacción estromal fibromixoide (Fig. 3). Se le realizó procedimiento quirúrgico consistente en resección del tumor mandibular derecho y reconstrucción. Se encontró un tumor mandibular de aproximadamente 7 centímetros de diámetro mayor, el cual se envió en formol a anatomía patológica.

Por evaporación, con láser CO2, se retiraron los restos de tejido tumoral en la encía del maxilar inferior del lado derecho. El seguimiento fue limitado debido a que el paciente vivía en una zona rural de Colombia y luego de haberle dado de alta no volvió al control.

 

 

 

COMENTARIOS

El fibroma odontogénico periférico es un tumor odontogénico raro; representa entre el 0,1 al 8,9 % de los tumores odontogénicos.(7) Se presenta más frecuentemente entre la segunda y cuarta década de la vida, es más común en mujeres, en una proporción de 1,3:1.(7) Se han informado alrededor de 207 casos en la literatura científica, con seguimiento de 31 casos.(8)

Clínicamente, plantea como diagnósticos diferenciales el granuloma piógeno, la hiperplasia fibrosa osificante e inflamatoria y la lesión de células gigantes, entre otros. El fibroma odontogénico periférico o extraóseo no se puede diferenciar desde el punto de vista clínico de otras lesiones, por eso el diagnóstico definitivo requiere el estudio histopatológico.

En este caso, el diagnóstico basado en la clínica fue un carcinoma escamocelular; sin embargo, los diagnósticos diferenciales fueron el de granuloma piógeno, fibroma osificante periférico y granuloma de células gigantes periférico; otras probabilidades incluían ameloblastoma periférico, absceso dental y fibroma. Todas las lesiones mencionadas son proliferativas de la cavidad oral.(8) La revisión bibliográfica se basó en el reporte de los casos con seguimiento.

El caso presentado ha sido bastante raro, debido a su avance, en comparación con los reportados en estudios como el de Sreeja C y otros,(7) Reddy SV y otros,(8) Silva CA y otros,(5) de-Sena LS y otros,(2) Baiju C y otros,(3) Rebolledo M y otros(9) quienes reportan este fibroma no mayor de 50 milímetros. En este caso, para el tamaño de la lesión, pudo influir que el paciente se encontraba en una zona rural, con falta de acceso oportuno a los servicios de atención odontológica, lo cual pudo ser determinante en el crecimiento del tumor.

Este caso ilustra el diagnóstico y resección de una lesión gingival de gran tamaño, cuyo diagnóstico clínico diferencial era amplio, que luego de la resección quirúrgica completa, el estudio histológico fue compatible con un tumor fibroso odontogénico periférico.

El conocimiento de estas lesiones es limitado, debido a que la incidencia es baja y solo se encuentran reportes de casos. El diagnóstico definitivo requiere del estudio histopatológico. Se considera que la resección quirúrgica completa es el mejor tratamiento para evitar recidivas y el seguimiento debe ser estricto, aunque en este caso no pudo ser realizado.

Consideraciones éticas

Se aclararon dudas antes del tratamiento y explicaron riesgos y beneficios, tanto al paciente como a su acompañante. Se declaró, previo consentimiento informado, que esta información serviría para realizar cualquier investigación con fines clínicos. El estudio fue aprobado y diligenciado para publicación con el comité de ética de la Fundación Santa Fe de Bogotá, descritos en el acta CCEI-15618-2023, y se cumplieron con la lista de identificadores únicos, de acuerdo con la HIPAA (Health Insurance Portability and Accountability Act) para su publicación.

 

 

Agradecimientos

Se agradece al Doctor Jairo Bustillos, docente de patología oral en la Universidad El Bosque, por el apoyo brindando en la enfermedad, también al doctor Juan Pablo López, cirujano maxilofacial del departamento de salud oral de la Fundación Santa Fe por su orientación invaluable.

 

 

REFERENCIAS BIBLIOGRÁFICAS

1. Wright JM, Vered M. Update from the 4th Edition of the World Health Organization Classification of Head and Neck Tumours: Odontogenic and Maxillofacial Bone Tumors [Internet]. Head and neck pathology. 2017 [acceso: 14/04/2024]; 11(1):68-77. Disponible en: https://doi.org/10.1007/s12105-017-0794-1

2. De Sena LSB, Miguel MCC, Pereira JV, Gomes DQC, Alves PM, Nonaka CFW. Peripheral odontogenic fibroma in the mandibular gingiva: case report [Internet]. Jornal Brasileiro de Patologia e Medicina Laboratorial. 2019 [acceso: 14/04/2024]; 53(3):148-9. Disponible en: http://dx.doi.org/10.5935/1676-2444.20190015

3. Baiju C, Rohatgi S. Peripheral odontogenic fibroma: A case report and review [Internet]. Journal of Indian Society of Periodontology. 2011 [acceso: 14/04/2024]; 15(3):273-5. Disponible en: https://www.ncbi.nlm.nih.gov/pmc/articles/PMC3200026/

4. Siar CH, Ng KH. Clinicopathological study of peripheral odontogenic fibromas (WHO-type) in Malaysians (1967-95) [Internet]. British Journal of Oral and Maxillofacial Surger. 2000 [acceso: 14/04/2024]; 38(1):19-22. Disponible en: https://www.bjoms.com/article/S0266-4356(99)90199-7/abstract

5. Silva CAB, Passador-Santos F, Moraes P de C, Soares AB, de Araújo VC. Peripheral Odontogenic Fibroma. [Internet]. Journal of Craniofacial Surgery. 2013 [acceso: 14/04/2024]; 24(3):216-9. Disponible en: http://dx.doi.org/10.1097/scs.0b013e3182802532

6. Khot K, Deshmane S, Bagri-Manjrekar K, Khot P. Peripheral Odontogenic Fibroma: A Rare Tumor mimicking a Gingival Reactive Lesion [Internet]. International Journal of Clinical Pediatric Dentistry. 2017 [acceso: 14/04/2024]; 10(1):103-6. Disponible en: http://dx.doi.org/10.5005/jp-journals-10005-1416

7. Sreeja C, Vezhavendan N, Shabana F, Vijayalakshmi D, Devi M, Arunakiry N. Recurrent peripheral odontogenic fibroma associated with basal cell budding [Internet]. Journal of Pharmacy And Bioallied Sciences. 2014 [acceso: 14/04/2024]; 6(1):204-7. Disponible en: http://dx.doi.org/10.4103/0975-7406.137470

8. Reddy SV, Medikonda SK, Konda A, Natta S. A rare benign odontogenic neoplasm: peripheral odontogenic fibroma [Internet]. Case Reports BMJ. 2014 [acceso: 14/04/2024]; 2014: bcr-2013-201065 Disponible en: http://dx.doi.org/10.1136/bcr-2013-201065

9. Rebolledo Cobos M, Cantillo Payares O, Díaz Caballero A. Fibroma periférico odontogénico: A propósito de un caso [Internet]. Avances en Odontoestomatología. 2010 [acceso: 14/04/2024]; 26(4):183-7. Disponible en: http://scielo.isciii.es/scielo.php?script=sci_arttext&pid=S0213-12852010000400002&lng=es

 

 

Conflictos de interés

Los autores del presente estudio plantean que no existe conflictos de interés.

 

Información financiera

Los autores del presente estudio plantean que no hubo financiamiento.

 

Disponibilidad de datos

Archivo complementario: Los datos utilizados para la presentación del caso corresponden a Fundación Santa Fe de Bogotá.