Artículo de Revisión

 

Enfoque y manejo del paciente con trauma toracoabdominal penetrante

Management approach for penetrating thoracoabdominal trauma

 

Sergio Luis Jaramillo Escobar1* https://orcid.org/0009-0008-4762-2372
Ana Lucía Castaño Cardona1,2 https://orcid.org/0009-0005-2477-2835

 

1Universidad de Antioquia. Facultad de Medicina. Sección de Cirugía General. Medellín, Colombia.
2Hospital Universitario San Vicente Fundación. Departamento de Cirugía General. Medellín, Colombia.

*Autor para la correspondencia. Correo electrónico: sergiolje@gmail.com

 

 


RESUMEN

Introducción: El trauma penetrante toracoabdominal presenta desafíos diagnósticos y terapéuticos significativos, especialmente en casos con afectación diafragmática. La literatura actual muestra imprecisiones en la definición de esta área anatómica y en la estrategia diagnóstica óptima.
Objetivo: Analizar la literatura y sintetizar los aspectos clave más actualizados para abordar pacientes con trauma penetrante toracoabdominal.
Métodos: Se realizó una búsqueda en bases de datos indexadas como Web of Science, PubMed, Medline, Cochrane, SciElo, Lilacs y Google Académico, enfocándose en artículos en inglés y español publicados en los últimos 5 años. Se identificaron 154 artículos inicialmente, de los cuales, tras aplicar criterios de exclusión, se incluyeron 40 que abordaban de forma específica el trauma toracoabdominal penetrante.
Desarrollo: El examen físico debe ser el pilar en el enfoque de los pacientes con trauma toracoabdominal. Delimitar de forma apropiada esta zona anatómica es el punto de partida para hacer un uso eficiente de las ayudas de imagen disponibles, pero se conocen sus limitaciones. El umbral para tomar una decisión quirúrgica con fines diagnósticos y terapéuticos debe ser bajo. La laparoscopia ofrece la ventaja de permitir identificar lesiones diafragmáticas y corregir las eventuales lesiones intraabdominales, según corresponda.
Conclusiones: El trauma penetrante toracoabdominal presenta una amplia variedad clínica, con un desafío particular en pacientes con estabilidad hemodinámica, debido a la alta morbimortalidad asociada a lesiones diafragmáticas inadvertidas. Ante la sospecha de estas lesiones, la videocirugía, en particular la laparoscopia, surge como una herramienta crucial debido a las limitaciones de los estudios de imagen convencionales.

Palabras clave: heridas penetrantes; hernia diafragmática traumática; laparoscopía; traumatismos torácicos; traumatismos abdominales.


ABSTRACT

Introduction: Penetrating thoracoabdominal trauma presents significant diagnostic and therapeutic challenges, particularly in cases involving diaphragmatic involvement. Current literature reveals inconsistencies in defining this anatomical area and in determining the optimal diagnostic strategy.
Objective: To analyze the literature and synthesize the most up-to-date key aspects for managing patients with penetrating thoracoabdominal trauma.
Methods: A search was conducted in indexed databases such as Web of Science, PubMed, Medline, Cochrane, SciElo, Lilacs, and Google Scholar, focusing on articles in English and Spanish published in the last 5 years. Out of an initial 154 articles, 40 were included based on specific criteria that addressed penetrating thoracoabdominal trauma.
Discussion: Physical examination should be the cornerstone in managing patients with thoracoabdominal trauma. Properly delineating this anatomical zone is crucial for making efficient use of available imaging aids, while being aware of their limitations. The threshold for making a surgical decision for diagnostic and therapeutic purposes should be low. Laparoscopy provides the advantage of identifying diaphragmatic injuries and correcting any intra-abdominal injuries as needed.
Conclusions: Penetrating thoracoabdominal trauma presents a broad clinical spectrum, with a particular challenge in hemodynamically stable patients due to the high morbidity and mortality associated with unnoticed diaphragmatic injuries. When such injuries are suspected, video surgery, particularly laparoscopy, is a crucial tool due to the limitations of conventional imaging studies.

Keywords: abdominal injuries; laparoscopy; penetrating; traumatic diaphragmatic hernia; thoracic injuries; wounds.


 

 

Recibido: 30/04/2024
Aprobado: 16/10/2024

 

 

INTRODUCCIÓN

El manejo de los pacientes con trauma torácico o abdominal está bien definido y existen recomendaciones claras en este sentido basadas en la evidencia.La toma de decisiones en estos casos se basa principalmente en el mecanismo del trauma, el estado clínico del paciente, la manifestación de síntomas y la presencia de ciertos signos al examen físico.(1) En términos generales, hay condiciones en las que debe realizarse un tratamiento quirúrgico como primera medida. En otros escenarios, como es el caso de los pacientes con estabilidad hemodinámica, se puede complementar su estudio mediante vigilancia clínica o ayudas diagnósticas y de acuerdo con esto, definir si son candidatos a tratamiento quirúrgico o médico.(2,3)

El área toracoabdominal es la zona de transición entre la cavidad torácica y el abdomen. Tiene especial importancia en el escenario de trauma por la posibilidad que existe de lesión diafragmática y, asociado a esto, afectación de vísceras localizadas tanto en el tórax como en el abdomen. En 1989, Madden MR y otros(4) describieron los límites superiores de la región toracoabdominal así: Cuarto espacio intercostal en la zona anterior, sexto espacio intercostal en la región lateral, y en la región posterior, el ángulo inferior de la escápula, que corresponde al octavo espacio intercostal (Fig. 1). El límite inferior del área toracoabdominal varía según diferentes autores; en algunas publicaciones(5,6) su delimitación corresponde al reborde costal,(5) en otras, lo marca el hemiabdomen superior, incluidos: Epigastrio, ambos hipocondrios y flancos.(6)

El diagnóstico de lesión diafragmática en pacientes muy sintomáticos o en presencia de signos inequívocos es, en cierta medida, sencillo. En especial si tienen inestabilidad hemodinámica que obligue a un tratamiento quirúrgico como primera medida en el que el daño del diafragma se hace evidente.(7) Sin embargo, en individuos asintomáticos o con síntomas leves, este diagnóstico se convierte en un reto para el médico general y los especialistas en urgencias y cirugía general.

El riesgo de que una lesión diafragmática pase inadvertida tras la evaluación inicial radica en las complicaciones derivadas de la herniación de órganos abdominales hacia la cavidad torácica a través de la herida traumática. Esta situación, que por lo general se manifiesta de forma tardía, puede llegar a comprometer la vida del paciente. Lo anteriormente expuesto hace que el diagnóstico temprano, y la elevada sospecha clínica en pacientes asintomáticos cobren mayor relevancia.(6)

Existen diferencias importantes en el manejo de los pacientes según el mecanismo del trauma, si es abierto o cerrado.(8) Sin embargo, las principales controversias de tratamiento se dan en el trauma penetrante, ya que lesiones poco sintomáticas o de pequeño tamaño pueden pasar por alto lesiones diafragmáticas.

En la práctica clínica con frecuencia hay opiniones divididas en cuanto al proceso diagnóstico y terapéutico de estos pacientes. Esta situación motivó a la realización de este artículo de revisión con el que se pretende analizar la literatura y sintetizar los aspectos clave más actualizados para abordar pacientes con trauma penetrante toracoabdominal.

 

 

MÉTODOS

Se realizó una revisión documental sobre la evidencia disponible en el diagnóstico y tratamiento del trauma toracoabdominal penetrante. Se consultaron las bases de datos Web of Science, PubMed, Medline, Cochrane, SciElo, Lilacs y se utilizó el motor de búsqueda Google académico. Se incluyeron artículos escritos en inglés y español, con prioridad a los publicados en los últimos 5 años, además se usaron textos base para las definiciones anatómicas y fisiológicas del diafragma.

Las palabras clave empleadas fueron: Traumatismos torácicos; traumatismos abdominales; heridas penetrantes; laparoscopia; hernia diafragmática traumática.

Se identificaron un total de 154 artículos en la búsqueda inicial. Posteriormente, se descartaron aquellos que eran duplicados, los que no mencionaban la afectación diafragmática y los que no contaban con acceso al texto completo. Por último, se incluyeron 40 artículos en inglés y español que abordaban el trauma toracoabdominal.

 

 

DESARROLLO

Epidemiología

El trauma diafragmático aislado es poco frecuente y se presenta en el 0,4 % de todos los pacientes con trauma. La afectación diafragmática izquierda se da en la mayoría de los pacientes, con un porcentaje que varía del 75 % al 80 %. La lesión bilateral del diafragma es poco común, representada en solo 3 % del total de casos en este contexto.(6,8)

El mecanismo de trauma que se da en mayor proporción es el penetrante, con un 63 % de los casos, en contraste con el trauma cerrado, presente en un 37 %. Dentro del mecanismo penetrante, las heridas por proyectil de arma de fuego son más frecuentes que las generadas por armas cortopunzantes a escala global, con un 59 % y un 32 % respectivamente,(8) sin embargo, en países en vías de desarrollo hay claro predominio de heridas ocasionadas por armas cortopunzantes (Fig. 2) con hasta un 95,3 % del total.(9) El trauma iatrogénico es otra causa que, aunque poco frecuente, puede presentarse durante procedimientos diagnósticos o terapéuticos en tórax o abdomen.

El verdadero efecto en la morbimortalidad de la lesión traumática del diafragma se relaciona con el daño asociado a otros órganos, así como su gravedad y las complicaciones derivadas de estos traumatismos. La mortalidad hospitalaria en el caso del trauma penetrante es del 4 % y se da por lo general en presencia de choque hemorrágico y daño de varios órganos. Es claro que el mayor riesgo está dado cuando existen heridas inadvertidas en un primer momento, algo que ocurre entre el 12 % y el 63 % de todas las heridas diafragmáticas.(8,10) Esto puede llevar a procesos crónicos en los que se presente herniación de órganos abdominales, a través del defecto diafragmático que suele progresar en tamaño. Cuando esto ocurre, la mortalidad puede ascender hasta un 60 % y, en casos de estrangulamiento de la víscera herniada, puede elevarse hasta el 80 %.

La mayoría de las hernias crónicas se diagnostican en los 3 años siguientes a la lesión primaria, aunque podría hacerse el diagnóstico de forma tardía, en algunos casos hasta 20 años después del evento.(11) Los órganos que con mayor frecuencia se hernian del lado izquierdo son, en orden de frecuencia, el estómago, bazo, intestino grueso, hígado, intestino delgado y omento. Debido a la protección que ejerce el hígado en el lado derecho, la hernia diafragmática derecha de origen traumático es poco común y, cuando se presenta, el hígado es el involucrado con más frecuencia, con importantes consecuencias hemodinámicas, debido al efecto compresivo que ejerce el hígado sobre las cavidades cardiacas.(6)

Fisiopatología

El diafragma es una estructura compuesta por tejido muscular y tejido fibroso, que tiene forma de cúpula y sirve de separación entre las cavidades torácica y abdominal. La porción muscular está en la periferia. La inserción anterior del músculo se da hacia el esternón, lateral en las 6 últimas costillas y posterior en los ligamentos arcuatos en relación con el último arco costal y las primeras vértebras lumbares.(12) Estas relaciones anatómicas son las que sirven de referencia para delimitar el área toracoabdominal. Una lesión penetrante en esta región puede afectar el diafragma y las vísceras torácicas y abdominales.(5)

El diafragma cumple una importante función en la mecánica ventilatoria. Para evitar el colapso pulmonar y lograr la entrada de aire al tejido alveolar a través de las vías respiratorias, la presión del espacio pleural es negativa de forma permanente (-5 cmH2O como promedio). De todos los músculos respiratorios, el diafragma es el que más contribuye a disminuir la presión pleural.(13) Durante la inspiración, este músculo se contrae y realiza un desplazamiento caudal, lo que genera una disminución en la presión pleural que llega a ser de hasta -7,5 cmH2O. En este tiempo se produce un aumento en la presión intraabdominal. Este hecho lleva a la formación de un gradiente de presión que varía de 7 a 20 cmH2O entre la cavidad peritoneal y el espacio pleural. Durante eventos traumáticos graves, en especial cuando el mecanismo es cerrado, esta diferencia de presiones puede aumentar hasta 10 veces y llegar a exceder los 100 cmH2O, con lo que se favorece la herniación de vísceras abdominales a través de defectos diafragmáticos traumáticos.(8,14)

Como se mencionó antes, la hernia diafragmática de origen traumático es un hallazgo por lo general tardío, que aumenta en gran medida la tasa de mortalidad, por lo que el diagnóstico temprano y su corrección cobra importancia.

Cuadro clínico

La presentación clínica de los pacientes con lesión traumática del diafragma puede tener un espectro muy amplio, desde individuos asintomáticos, hasta la presencia de choque, deterioro respiratorio e incluso la muerte temprana. Los factores que influyen en mayor medida son la localización y el mecanismo del trauma, la existencia de otras lesiones asociadas, y el desplazamiento de vísceras abdominales hacia el tórax.(15)

En caso de inestabilidad hemodinámica o hallazgos inequívocos de lesión diafragmática o multivisceral, debe realizarse un tratamiento quirúrgico de entrada, aunque este escenario solo se presenta entre el 7 % y el 17 % de los casos.(9) En pacientes asintomáticos o con síntomas leves, el diagnóstico y tratamiento se convierten en un reto para el cirujano. Esto es más frecuente en el caso de las lesiones penetrantes, en las que las heridas diafragmáticas suelen ser pequeñas y, por lo tanto, poco sintomáticas en un inicio.(7)

Algunos autores(16,17,18,19) han propuesto dividir el trauma diafragmático en 3 fases. La primera es la aguda, que comienza en el momento del trauma hasta lograr la recuperación de las lesiones primarias. Aquí los principales síntomas son las náuseas, vómito, dolor epigástrico o en los hombros y disnea leve. Estos síntomas son inespecíficos y pueden hacer pasar por alto lesiones diafragmáticas al confundir el cuadro clínico con un posible trauma hepático, esplénico o pulmonar. La fase latente puede durar de días a años; en este periodo se desarrolla una hernia de forma gradual a través del defecto traumático y pueden presentarse síntomas compatibles con obstrucción gastrointestinal parcial, como plenitud temprana, dolor toracoabdominal, distensión abdominal o disnea. Por último, en la fase obstructiva, la estructura que se hernia a través del diafragma puede complicarse con estrangulamiento, con la consecuente isquemia y, la eventual perforación, además de la respuesta sistémica y mayor tasa de mortalidad.(8,10)

Al tener en cuenta la posibilidad de lesión pleural o pulmonar, así como de órganos abdominales, los cuadros clínicos de neumotórax, hemotórax o irritación peritoneal pueden darse con frecuencia. En caso de tener síntomas torácicos y abdominales con relación a heridas únicas, la sospecha de trauma diafragmático debe guiar el estudio y manejo de estos pacientes. En cuanto a las lesiones asociadas de órganos abdominales, el hígado es el que se lesiona con mayor frecuencia en el lado derecho (74 % - 93 %) y en el lado izquierdo lo son las lesiones esplénicas (37 % - 63 %), gástricas y pulmonares.(10)

Enfoque diagnóstico y terapéutico

De acuerdo con la presentación en cierta medida frecuente de heridas inadvertidas del diafragma en el trauma toracoabdominal, es importante tener una elevada sospecha durante la evaluación inicial, en especial en pacientes estables sin manifestaciones clínicas llamativas. Esto con el fin de realizar los estudios pertinentes y así guiar el diagnóstico y manejo de estos pacientes.(15)

Como se mencionó antes, los pacientes con inestabilidad hemodinámica o hallazgos clínicos que sugieran lesión diafragmática, de estructuras torácicas o abdominales adyacentes deben ser llevados a cirugía de entrada. Esto también aplica para las heridas diafragmáticas aisladas, ya que su continuo movimiento en relación con la mecánica respiratoria hace muy improbable un cierre espontáneo del defecto y, por el contrario, suelen progresar en tamaño y generar complicaciones.(18)

Existen diferentes métodos diagnósticos, tanto invasivos como no invasivos, que se han utilizado y que han mostrado mayor o menor utilidad en el diagnóstico de lesiones diafragmáticas en pacientes sin indicación quirúrgica de entrada. El objetivo de este enfoque diagnóstico es evitar la mayor cantidad posible de intervenciones quirúrgicas no terapéuticas y así disminuir la morbilidad asociada a ellas. A continuación, se describen los estudios disponibles.

Radiografía de tórax

Debido a su bajo costo, amplia disponibilidad y rápida realización, la radiografía simple de tórax suele ser el estudio de imagen inicial en los pacientes con trauma. En el caso del trauma toracoabdominal, su utilidad para identificar lesión diafragmática es limitada. Diferentes estudios(10,20) hablan de una baja sensibilidad, que varía del 27 % al 62 %, y se asocia a una tasa de falsos negativos cercana al 70 %.(11) El empleo de radiografías seriadas, en especial en pacientes sometidos a soporte ventilatorio con presión positiva, en quienes se logra su desmonte puede aumentar su sensibilidad en un 12 %.(21)

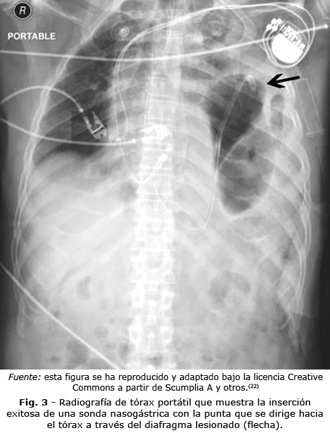
La mayoría de los signos radiográficos de ruptura diafragmática son indirectos, ya que evaluar la continuidad de esta estructura por este método es difícil. Algunos datos orientativos son los cambios en la silueta diafragmática dados por pérdida de la convexidad normal o una elevación de 4 a 6 cm por encima del hemidiafragma contralateral.(10) Dentro de los signos más específicos se encuentra la presencia de niveles hidroaéreos en el tórax que puede corresponder al intestino o estómago herniado a través del diafragma. La presencia de la porción terminal de una sonda nasogástrica en el tórax también suele orientar el diagnóstico (Fig. 3).(21)

 

 

Es importante resaltar que los hallazgos mencionados se presentan con mayor frecuencia en el trauma cerrado. Las lesiones diafragmáticas generadas por trauma penetrante suelen ser pequeñas y la herniación aguda en estos defectos es infrecuente.(23) Otro aspecto para tener en cuenta es que, la presencia de derrame pleural, contusión pulmonar y atelectasias pueden disminuir la sensibilidad de la radiografía simple.(10)

La radiografía de tórax en el contexto de trauma penetrante es útil en mayor medida para definir hallazgos pleurales que requieran intervención por parte del cirujano.

Ultrasonografía

La ecografía tiene múltiples ventajas y su utilidad en trauma le ha dado protagonismo en las últimas décadas. En pacientes inestables con politrauma, la ecografía E-FAST (Extended Focused Assesment with Sonography in Trauma) podría ser una ayuda para hacer el diagnóstico diferencial en cuanto a la cavidad afectada.(24)

En cuanto al desempeño de la ecografía para identificar lesión diafragmática en el trauma toracoabdominal, los resultados varían de acuerdo con el mecanismo del trauma. En 2018, Cochrane publicó una revisión para evaluar la agudeza diagnóstica de la ecografía en trauma toracoabdominal cerrado, y concluyó que los hallazgos positivos pueden ayudar a guiar el tratamiento de estos pacientes, pero que un resultado negativo, en especial en abdomen, no descarta lesiones y por lo tanto, se requieren estudios complementarios.(25) En el caso del trauma penetrante, la sensibilidad para identificar lesión diafragmática es del 50 %, aunque con una especificidad alta cercana al 100 %. Los estudios(26,27) que han evaluado la posibilidad de que la ecografía sea una alternativa al diagnóstico laparoscópico son escasos; sin embargo, concluyen que su baja sensibilidad no lo permite.

Tomografía computarizada (TAC)

Dentro de las diferentes ayudas diagnósticas usadas en el trauma diafragmático, la TAC es la modalidad de imagen de elección ante su mayor disponibilidad y oportunidad. Debido al pequeño espesor del diafragma, se hace necesario el empleo de TAC con multidetector para mejorar su desempeño al permitir cortes con espesor milimétrico y reconstrucción multiplanar.(21) Se ha reportado una sensibilidad del 70 % al 90 % y una especificidad del 75 % al 100 % para el diagnóstico de ruptura diafragmática en pacientes con trauma.(11)

El desempeño de la TAC varía de acuerdo con el mecanismo del trauma, al ser menor de forma significativa en trauma penetrante. Existen diferentes signos tomográficos (Fig. 4) que sugieren ruptura diafragmática, dentro de los descritos con mayor frecuencia se encuentra la evidente discontinuidad o el defecto focal del diafragma, la herniación de vísceras abdominales intratorácicas, el signo del collar, el signo de la víscera dependiente o el signo de la joroba.(10)

Excepto la visualización directa del defecto diafragmático, todos los signos tomográficos se basan en hallazgos indirectos que sugieren una pérdida en la continuidad diafragmática y una consecuente herniación, por lo tanto, en el diagnóstico inicial del trauma penetrante toracoabdominal, en el que la herniación es infrecuente, el desempeño de la TAC es más limitado.(28) El alto porcentaje de lesiones inadvertidas en la TAC, que varía del 12 % al 63 %, hace que la TAC no sea suficiente para descartar trauma diafragmático.(29) Según lo antes mencionado, en el diagnóstico de trauma diafragmático en pacientes estables sin signos clínicos claros, como la peritonitis, se recomiendan procedimientos invasivos como la laparoscopia por encima de la TAC.(30,31)

Resonancia magnética

A pesar de que la resonancia magnética ofrece una excelente visualización del diafragma, su baja disponibilidad, mayor costo y tiempo de realización la hacen poco útil en el enfoque inicial de los pacientes con trauma toracoabdominal. Además, los hallazgos orientativos a lesión diafragmática son similares a los observados en la TAC, esto hace que su mayor utilidad dependa de la presencia o no de herniación transdiafragmática, algo infrecuente en el trauma penetrante. Otro factor importante es la posibilidad de presentar fragmentos o prótesis metálicas que contraindiquen su realización.(8)

Exploración digital

La visualización directa del diafragma mediante métodos mínimamente invasivos o cirugía abierta es la mejor estrategia para descartar lesiones de origen traumático a este nivel, algo muy útil en pacientes inestables o con signos inequívocos de trauma diafragmático. Por otra parte, en los pacientes asintomáticos que son llevados a cirugía se encuentra un diafragma indemne hasta en el 78 % de los casos. Esto hace que muchos pacientes que sean operados de forma innecesaria y se sometan a la morbimortalidad que esto conlleva.(11)

En un intento por disminuir la exposición a los riesgos de una intervención quirúrgica sin real indicación y según si los estudios de imagen disponibles no permitan descartar con seguridad una lesión diafragmática, en algunas publicaciones(32,33) se ha propuesto la exploración digital de las heridas penetrantes toracoabdominales como una alternativa diagnóstica de bajo costo en estos pacientes.

Debido al gran volumen de pacientes con heridas penetrantes en la región toracoabdominal en décadas pasadas en la ciudad de Medellín, la exploración digital fue una práctica común por los cirujanos de la época que permitía tomar la decisión de vigilar o intervenir a estos pacientes. Los primeros autores en publicar sus resultados en 1978 fueron Restrepo J y otros,(32) quienes reportaron una sensibilidad del 100 % y una especificidad del 93,9 % de este método. Posteriormente, en 2001, Morales C y otros,(33) realizaron un estudio prospectivo en pacientes con heridas toracoabdominales izquierdas en quienes se realizaba la exploración digital de estas y además se realizaba toracoscopia o laparotomía según el caso. Al comparar los hallazgos, se encontró una sensibilidad del 96 % y una especificidad del 83,3 %. El valor predictivo negativo de la exploración digital en este estudio fue del 93,7 %.

En 2012, Khazaei A y otros(34) publicaron los resultados de un estudio prospectivo que incluyó a 42 pacientes, compararon la exploración digital con los hallazgos en toracoscopia y encontraron una sensibilidad y especificidad del 100 %. Sin embargo, es de anotar que los hallazgos inconclusos al examen físico no fueron incluidos en el análisis.

A pesar de los buenos resultados mostrados por estos autores, la exploración digital de las heridas toracoabdominales no se ha generalizado en otras latitudes. La poca experiencia en esta práctica y la cada vez mayor disponibilidad de métodos mínimamente invasivos, con muy buen desempeño diagnóstico y baja morbilidad asociada, pueden explicar el hecho de que no existan más investigaciones en este sentido y que no se considere como medida inicial en los pacientes con trauma toracoabdominal penetrante. Sin embargo, en el escenario de la atención inicial en urgencias, con el entrenamiento adecuado, podría tener un papel muy importante en el enfoque diagnóstico inicial por parte del médico general y el cirujano.

Laparoscopia y toracoscopia

La cirugía mínimamente invasiva ha tenido grandes avances en las últimas décadas. Las ventajas con respecto a la cirugía abierta son múltiples, entre las que se incluyen: Menor estancia hospitalaria, mejor control del dolor postoperatorio, menor mortalidad y la posibilidad de diagnóstico sin necesidad de grandes intervenciones quirúrgicas.(35)

En el escenario del trauma diafragmático, los procedimientos de video cirugía, ya sea laparoscopia o toracoscopia, se han convertido en el método de referencia (gold standard) por la posibilidad del diagnóstico y el tiempo de tratamiento simultáneo (Fig. 4). Esto ha hecho que la laparotomía, que antes era obligatoria en estos pacientes, esté indicada como primera opción en los casos en los que existe inestabilidad hemodinámica.(11,36,37)

Los estudios que han analizado el desempeño de la laparoscopia en este escenario han reportado una especificidad y sensibilidad del 100 % y 87,5 % respectivamente. Su alto valor predictivo negativo (96 %) la convierte en una estrategia confiable para evaluar a estos pacientes. El principal aspecto en contra del estudio laparoscópico es la presentación de complicaciones postoperatorias que, si bien se dan en un porcentaje bajo del 0 % al 16 %, suelen ser leves, las más frecuentes son el dolor postoperatorio y la infección incisional superficial.(11,39)

Debido a una mayor capacidad diagnóstica de la laparoscopia frente a los estudios de imagen disponibles se recomienda recurrir a ella en los pacientes con estabilidad hemodinámica, sin signos de irritación y trauma penetrante toracoabdominal.(11,23,30)

Estudios como el de Zambetti BR y otros,(40) han propuesto la toracoscopia como intervención inicial de los pacientes con trauma toracoabdominal, sin embargo, en caso de documentar alteración diafragmática, debe complementarse el estudio mediante exploración abdominal laparoscópica. Además, se ha demostrado que la prevalencia de lesiones abdominales que pueden requerir intervención quirúrgica en pacientes estables varía del 53 % al 88,9 %.(7) Por otra parte, la mayor parte de lesiones intratorácicas presentan hemotórax o neumotórax que pueden manejarse de forma exitosa mediante toracostomía cerrada en un alto porcentaje de los casos. Por lo expuesto, se prefiere una vía de acceso abdominal sobre la torácica.(10,29,36)

El trauma penetrante toracoabdominal presenta una amplia variedad clínica, y representa un desafío particular en pacientes con estabilidad hemodinámica debido a la alta morbimortalidad asociada con lesiones diafragmáticas inadvertidas, de manera destacada a largo plazo. La videocirugía, en particular la laparoscopia, es una herramienta crucial para el diagnóstico y tratamiento de estas lesiones, dada la limitación de los estudios de imagen convencionales. Es esencial que el personal médico mantenga una elevada sospecha sobre posibles lesiones diafragmáticas, incluso en ausencia de síntomas prominentes. Una evaluación cuidadosa y el uso adecuado de métodos diagnósticos y terapéuticos son fundamentales para prevenir complicaciones graves y mejorar los resultados a largo plazo en estos pacientes.

 

 

REFERENCIAS BIBLIOGRÁFICAS

1. Smith L, Bendinelli C, Lee N, Reeds MG, Loh EJ, Amico F, et al. WSES guidelines on blunt and penetrating bowel injury: diagnosis, investigations, and treatment [Internet]. World J Emerg Surg. 2022 [acceso: 01/03/2024]; 17(1):13. Disponible en: https://wjes.biomedcentral.com/articles/10.1186/s13017-022-00418-y

2. Gillaspie D, Gillaspie EA. Management of Traumatic Diaphragmatic Injuries [Internet]. Thorac Surg Clin. 2024 [acceso: 05/07/2024]; 34(2):171-8. Disponible en: https://www.thoracic.theclinics.com/article/S1547-4127(24)00008-2/abstract

3. Quintero L, Melendez-Lugo JJ, Palacios-Rodríguez HE, Padilla N, Pino LF, García A, et al. Damage control in the emergency department, a bridge to life [Internet]. Colomb Medica. 2021 [acceso: 05/07/2024]; 52(2):e4004801. Disponible en: https://colombiamedica.univalle.edu.co/index.php/comedica/article/view/4801

4. Madden MR, Paull DE, Finkelstein JL, Goodwin CW, Marzulli V, Yurt RW, et al. Occult Diaphragmatic Injury from Stab Wounds to the Lower Chest and Abdomen [Internet]. J Trauma Inj Infect Crit Care. 1989 [acceso: 05/02/2024]; 29(3):292-8. Disponible en: https://journals.lww.com/jtrauma/abstract/1989/03000/occult_diaphragmatic-_injury_from_stab_wounds_to.3.aspx

5. Parreira JG, Rasslan S, Utiyama EM. Controversies in the Management of Asymptomatic Patients Sustaining Penetrating Thoracoabdominal Wounds [Internet]. Clinics. 2008 [acceso: 05/02/2024]; 63(5):695-700. Disponible en: https://www.sciencedirect.com/science/article/pii/S1807593222027545?via%3Dihub

6. Alizade E, Ilhan M, Durak G, Kaan Gok A, Ertekin C. Can invasive diagnostic methods be reduced by magnetic resonance imaging in the diagnosis of diaphragmatic injuries in left thoracoabdominal penetrating injuries? [Internet]. J Minimal Access Surg. 2022 [acceso: 05/01/2024]; 18(3):431. Disponible en: https://journals.lww.com/jmas/fulltext/2022/18030/can_invasive_diagnostic-_methods_be_reduced_by.17.aspx

7. Yucel M, Kulali F, Yildiz A. Development of Diaphragmatic Hernia in Patients with Penetrating Left Thoracoabdominal Stab Wounds [Internet]. World J Surg. 2022 [acceso: 02/02/2024]; 46(8):1872-7. Disponible en: https://onlinelibrary.wiley.com/doi/10.1007/s00268-022-06558-1

8. Furák J, Athanassiadi K. Diaphragm and transdiaphragmatic injuries [Internet]. J Thorac Dis. 2019 [acceso: 15/10/2023]; 11(S2):S152-7. Disponible en: https://jtd.amegroups.org/article/view/24885/19960

9. Bautista-Parada IR, Bustos-Guerrero AM. Prevalencia de lesiones torácicas y abdominales en pacientes con traumatismo toracoabdominal penetrante [Internet]. Cir Cir. 2022 [acceso: 28/11/2023]; 90(3):6871. Disponible en: https://www.cirugiaycirujanos.com/frame_esp.php?id=640

10. Abdellatif W, Chow B, Hamid S, Khorshed D, Khosa F, Nicolaou S, et al. Unravelling the Mysteries of Traumatic Diaphragmatic Injury: An Up-to-Date Review [Internet]. Can Assoc Radiol J. 2020 [acceso: 23/12/2023]; 71(3):313-21. Disponible en: https://journals.sagepub.com/doi/10.1177/0846537120905133

11. Menegozzo CAM, Damous SHB, Alves PHF, Rocha MC, Collet E Silva FS, Baraviera T, et al. "Pop in a scope": attempt to decrease the rate of unnecessary nontherapeutic laparotomies in hemodynamically stable patients with thoracoabdominal penetrating injuries [Internet]. Surg Endosc. 2020 [acceso: 18/10/2023]; 34(1):261-7. Disponible en: https://link.springer.com/article/10.1007/s00464-019-06761-7

12. Tibbitts R. Chapter 3: Thorax. En: Drake RL, Vogl W, Mitchell AWM, Tibbitts R, Richardson P, Horn A. Gray's atlas of anatomy. Third edition. Philadelphia, PA: Elsevier; 2021. p. 109-112.

13. Torchia M. Chapter 8: Body Cavities, Mesenteries, and Diaphragm. En: Moore KL. The developing human: clinically oriented embryology. Eleventh edition. Edinburgh; New York: Elsevier; 2020. p 284-285.

14. Xiao JC, Ma LY, Li BL. Late traumatic diaphragmatic rupture complicated by haemothorax and strangulation of the stomach: A case report [Internet]. J Int Med Res. 2020 [acceso: 18/07/2024]; 48(6):030006052093086. Disponible en: https://journals.sagepub.com/doi/10.1177/0300060520930864

15. Sekusky AL, Lopez RA. Diaphragm Trauma [Internet]. En: Hughes E, Rubio G. StatPearls. Treasure Island (FL): StatPearls Publishing; 2024. [acceso: 13/04/2024]. Disponible en: https://www.ncbi.nlm.nih.gov/books/NBK557647/

16. Liu Q, Luan L, Zhang G, Li B. Treatment of Chronic Traumatic Diaphragmatic Hernia Based on Laparoscopic Repair: Experiences From 23 Cases [Internet]. Front Surg. 2021 [acceso: 15/07/2024]; 8:706824. Disponible en: https://www.frontiersin.org/journals/surgery/articles/10.3389/fsurg.2021.706824/full

17. Higuchi S, Takahashi T, Kurokawa Y, Saito T, Yamamoto K, Momose K, et al. Laparoscopic repair of a traumatic diaphragmatic hernia with repeated colon incarcerations 7 years after injury: a case report [Internet]. Surg Case Rep. 2023 [acceso: 05/07/2024]; 9(1):212. Disponible en: https://surgicalcasereports.springeropen.com/articles/10.1186/s40792-023-01791-9

18. Giuffrida M, Perrone G, Abu-Zidan F, Agnoletti V, Ansaloni L, Baiocchi GL, et al. Management of complicated diaphragmatic hernia in the acute setting: a WSES position paper [Internet]. World J Emerg Surg. 2023 [acceso: 08/07/2024]; 18(1):43. Disponible en: https://wjes.biomedcentral.com/articles/10.1186/s13017-023-00510-x

19. Grimes OF. Traumatic injuries of the diaphragm. Am J Surg [Internet]. 1974 [acceso: 07/04/2024]; 128(2):175-81. Disponible en: https://www.americanjournalofsurgery.com/article/0002-9610(74)90090-7/abstract

20. Bosanquet D, Farboud A, Luckraz H. A review diaphragmatic injury [Internet]. Respir Med CME. [acceso: 01/02/2024] 2009; 2(1):1-6. Disponible en: https://www.sciencedirect.com/science/article/pii/S1755001709000037

21. Hodler J, Kubik-Huch RA, von Schulthess GK, editores. Diseases of the Chest, Breast, Heart and Vessels 2019-2022: Diagnostic and Interventional Imaging [Internet]. Cham (CH): Springer; 2019. [acceso: 13/04/2024]. (IDKD Springer Series). Disponible en: http://www.ncbi.nlm.nih.gov/books/NBK553871/

22. Scumpia A, Aronovich D, Roman L, Vasudevan V, Shadis R, Lynn M. Diaphragmatic Rupture Secondary to Blunt Thoracic Trauma [Internet]. West J Emerg Med. 2013 [acceso: 12/01/2024]; 14(5):435-6. Disponible en: https://escholarship.org/uc/item/63n4q0nq

23. Reitano E, Cioffi SPB, Airoldi C, Chiara O, La Greca G, Cimbanassi S. Current trends in the diagnosis and management of traumatic diaphragmatic injuries: A systematic review and a diagnostic accuracy meta-analysis of blunt trauma [Internet]. Injury. 2022 [acceso: 17/03/2024]; 53(11):3586-95. Disponible en: https://www.injuryjournal.com/article/S0020-1383(22)00458-2/abstract

24. Boussuges A, Rives S, Finance J, Brégeon F. Assessment of diaphragmatic function by ultrasonography: Current approach and perspectives [Internet]. World J Clin Cases. 2020 [acceso: 19/03/2024]; 8(12):2408-24. Disponible en: https://www.wjgnet.com/2307-8960/full/v8/i12/2408.htm

25. Stengel D, Leisterer J, Ferrada P, Ekkernkamp A, Mutze S, Hoenning A. Point-of-care ultrasonography for diagnosing thoracoabdominal injuries in patients with blunt trauma. Cochrane Injuries Group, editor. Cochrane Database Syst Rev [Internet]. 2018 [acceso: 13/04/2024]; 12(12):CD012669. Disponible en: https://www.cochranelibrary.com/cdsr/doi/10.1002/14651858.CD012669.pub2/full/es

26. Sharifi A, Kasraianfard A, Chavoshi Khamneh A, Kanani S, Aldarraji M, Seif-Rabiei MA, et al. Value of Ultrasonography in Detection of Diaphragmatic Injuries Following Thoracoabdominal Penetrating Trauma; a Diagnostic Accuracy Study [Internet]. Arch Acad Emerg Med. 2019 [acceso: 12/03/2024]; 7(1):e45. Disponible en: https://www.ncbi.nlm.nih.gov/pmc/articles/PMC6785213/

27. Ashoobi MA, Homaie Rad E, Rahimi R. Diagnostic performance of sonography in penetrating torso trauma: a systematic review and meta-analysis. Eur J Trauma Emerg Surg [Internet]. 2024. [acceso: 01/07/2024]. Disponible en: https://link.springer.com/10.1007/s00068-024-02446-6

28. Hassankhani A, Amoukhteh M, Valizadeh P, Jannatdoust P, Eibschutz LS, Myers LA, et al. Diagnostic utility of multidetector CT scan in penetrating diaphragmatic injuries: A systematic review and meta-analysis [Internet]. Emerg Radiol. 2023 [acceso: 08/06/2024]; 30(6):765-76. Disponible en: https://link.springer.com/article/10.1007/s10140-023-02174-1

29. Habashi R, Coates A, Engels PT. Selective nonoperative management of penetrating abdominal trauma at a level 1 Canadian trauma centre: a quest for perfection [Internet]. Can J Surg. 2019 [acceso: 19/02/2024]; 62(5):347-55. Disponible en: https://www.canjsurg.ca/content/62/5/347

30. De Jongh R, Koto MZ. Awake Emergency Department Thoracoscopic Investigation of Penetrating Diaphragmatic Injuries: A Novel Minimally Invasive Technique of Diagnosis [Internet]. J Laparoendosc Adv Surg Tech. 2020 [acceso: 16/12/2023]; 30(12):1334-9. Disponible en: https://www.liebertpub.com/doi/10.1089/lap.2020.0232

31. Koganti D, Hazen BJ, Dente CJ, Nguyen J, Gelbard RB. The role of diagnostic laparoscopy for trauma at a high-volume level one center [Internet]. Surg Endosc. 2021 [acceso: 11/03/2024]; 35(6):2667-70. Disponible en: https://link.springer.com/article/10.1007/s00464-020-07687-1

32. Jaime Restrepo C, Fidel Cano R. Exploración Digital en Heridas del Diafragma [Internet]. Rev Colomb Cir. 1987 [acceso: 14/03/2024]; 2(1):41-4. Disponible en: https://www.revistacirugia.org/index.php/cirugia/article/view/1901

33. Morales CH. Value of Digital Exploration for Diagnosing Injuries to the Left Side of the Diaphragm Caused by Stab Wounds [Internet]. Arch Surg. 2001 [acceso: 13/09/2023]; 136(10):1131. Disponible en: https://jamanetwork.com/journals/jamasurgery/fullarticle/392192

34. Khazaei A, Dahmardehei M, Narouie B, Beiraghi-Toosi A. Determination of efficacy of physical examination in the diagnosis diaphragmatic injuries due to stab wound to lower thoracic area confirmed with thoracoscopy [Internet]. Life Sci J. 2012 [acceso: 19/02/2023]; 9:1527-31. Disponible en: https://www.lifesciencesite.com/lsj/life0903/222_9142life0903_1527_1531.pdf

35. Wang J, Cheng L, Liu J, Zhang B, Wang W, Zhu W, et al. Laparoscopy vs. Laparotomy for the Management of Abdominal Trauma: A Systematic Review and Meta-Analysis [Internet]. Front Surg. 2022 [acceso: 10/04/2024]; 9:817134. Disponible en: https://www.frontiersin.org/journals/surgery/articles/10.3389/fsurg.2022.817134/full

36. Waes OV, Lieshout EV, Silfhout DV, Halm J, Wijffels M, Vledder MV, et al. Selective non-operative management for penetrating abdominal injury in a Dutch trauma centre [Internet]. Ann R Coll Surg Engl. 2020 [acceso: 09/05/2024]; 102(5):375-82. Disponible en: https://publishing.rcseng.ac.uk/doi/10.1308/rcsann.2020.0042

37. Okmen H. Is diagnostic laparoscopy necessary in the management of left thoracoabdominal stab wounds? [Internet]. Turk J Trauma Emerg Surg. 2023 [acceso: 05/01/2024]; 1026-31. Disponible en: https://www.tjtes.org/jvi.aspx?un=UTD-33423&volume=29&issue=9

38. Xenaki S, Lasithiotakis K, Andreou A, Chrysos E, Chalkiadakis G. Laparoscopic repair of posttraumatic diaphragmatic rupture [Internet]. Report of three cases. Int J Surg Case Rep. 2014 [acceso: 30/07/2023]; 5(9):601-4. Disponible en: https://www.sciencedirect.com/science/article/pii/S2210261214001618?via%3Dihub

39. Lurin I, Vorovskiy O, Makarov V, Khoroshun E, Nehoduiko V, Ryzhenko A, et al. Management of thoracoabdominal gunshot injuries by using minimally invasive surgery at role 2 deployed field hospitals in Ukraine [Internet]. BMC Surg. 2024 [acceso: 01/07/2024]; 24(1):183. Disponible en: https://bmcsurg.biomedcentral.com/articles/10.1186/s12893-024-02475-3

40. Zambetti BR, Lewis RH, Chintalapani SR, Desai N, Valaulikar GS, Magnotti LJ. Optimal time to thoracoscopy for trauma patients with retained hemothorax [Internet]. Surgery. 2022 [acceso: 02/08/2023]; 172(4):1265-9. Disponible en: https://www.surgjournal.com/article/S0039-6060(22)00484-6/abstract

 

 

Conflictos de interés

Los autores declaran que no existen conflictos de interés.

 

Información financiera

Los autores declaran que no existió financiación para realizar esta investigación.

 

Contribuciones de los autores

Conceptualización: Sergio Luis Jaramillo Escobar, Ana Lucía Castaño Cardona.
Metodología: Sergio Luis Jaramillo Escobar, Ana Lucía Castaño Cardona.
Administración de proyecto: Sergio Luis Jaramillo Escobar, Ana Lucía Castaño Cardona.
Supervisión: Sergio Luis Jaramillo Escobar, Ana Lucía Castaño Cardona.
Validación: Sergio Luis Jaramillo Escobar, Ana Lucía Castaño Cardona.
Visualización: Sergio Luis Jaramillo Escobar, Ana Lucía Castaño Cardona.
Redacción: Preparación del borrador original: Sergio Luis Jaramillo Escobar.
Redacción: Revisión y edición: Ana Lucía Castaño Cardona.

 

Declaración de disponibilidad de datos

No hay datos asociados con este artículo.