Presentación de Caso

 

Linfoma anaplásico de células grandes primario del páncreas

Primary anaplastic large cell lymphoma of the pancreas

 

Beltrán Gárate Brady1,2 https://orcid.org/0000-0003-4469-3817
Luis Villela3,4 https://orcid.org/0000-0001-8811-7913
Joseph Alburqueque Melgarejo5* https://orcid.org/0000-0002-8846-8884
Jhony Alberto De la Cruz Vargas2 https://orcid.org/0000-0002-5592-0504

 

1Hospital "Edgardo Rebagliati Martins". Servicio de Oncología Médica. Lima, Perú.
2Universidad Ricardo Palma. Instituto de Ciencias Biomédicas de la Facultad de Medicina. Lima, Perú.
3Universidad Autónoma de Sinaloa. Facultad de Medicina. Culiacan. Sinaloa, México.
4Hospital "Fernando Ocaranza" del ISSSTE. Centro Médico "Dr. Ignacio Chávez" del ISSSTESON. Sonora, México.
5Universidad Científica del Sur. Lima, Perú.

 

*Autor para la correspondencia. Correo electrónico: joseph.alburqueque@urp.edu.pe

 

 


RESUMEN

Introducción: El linfoma anaplásico de células grandes primario pancreático es una entidad muy rara y solo 13 casos han sido descritos en la literatura.
Objetivo: Presentar un caso clínico raro de un linfoma anaplásico de células grandes negativo para la quinasa de linfoma anaplásico y con presentación extraganglionar en el aparato gastrointestinal.
Caso clínico: Paciente masculino de 80 años que se presentó con dolor abdominal, regurgitación, ictericia y baja ponderal. La tomografía computarizada de abdomen mostró una masa en cabeza de páncreas que se extendía al segmento V del hígado, acompañado de adenopatías mesentéricas y retroperitoneales. La biopsia de la lesión fue consistente con linfoma anaplásico de células grandes negativo para la quinasa de linfoma anaplásico. Se indicó el régimen de Mini-CHOP por 1 ciclo. Luego a esto, el paciente presentó sepsis neutropénica y falleció a los 3 meses del diagnóstico.
Conclusiones: El linfoma anaplásico de células grandes negativo para la quinasa de linfoma anaplásico es una entidad rara cuya localización extraganglionar, particularmente en el tracto gastrointestinal, es infrecuente.

Palabras clave: quinasa de linfoma anaplásico; linfoma; páncreas.


ABSTRACT

Introduction: Primary pancreatic anaplastic large cell lymphoma is a very rare entity and only 13 cases have been described in the literature.
Objectives: To present a rare clinical case of anaplastic large cell lymphoma negative for anaplastic lymphoma kinase and with extranodal presentation in the gastrointestinal tract.
Clinical case: An 80-year-old male patient presented with abdominal pain, regurgitation, jaundice, and weight loss. Abdominal CT showed a mass in the head of the pancreas extending to segment V of the liver, accompanied by mesenteric and retroperitoneal adenopathy. Biopsy of the lesion was consistent with anaplastic lymphoma kinase-negative anaplastic large cell lymphoma. Mini-CHOP was indicated for 1 cycle. The patient subsequently developed neutropenic sepsis and died 3 months after diagnosis.
Conclusions: Anaplastic lymphoma kinase-negative anaplastic large cell lymphoma is a rare entity whose extranodal localization, particularly in the gastrointestinal tract, is uncommon.

Keywords: anaplastic lymphoma kinase; lymphoma; pancreas.


 

 

Recibido: 18/07/2024
Aprobado:04/11/2024

 

 

INTRODUCCIÓN

El linfoma pancreático primario es una afección rara e infrecuente, cuyo subtipo histológico más frecuente es el linfoma difuso de Células B grandes.(1) Un subtipo de estirpe T denominado linfoma anaplásico de células grandes (LACG) representa una afección rara dentro de los linfomas de células T, caracterizados por células tumorales pleomórficas positivas para CD30. De acuerdo con la clasificación de Tumores de tejidos linfoides y hematopoyéticos de la Organización Mundial de la Salud,(1,2) el LACG puede clasificarse en 4 subtipos: LACG positivo para la quinasa de linfoma anaplásico (ALK positivo), LACG negativo para la quinasa de linfoma anaplásico (ALK negativo), LACG cutáneo primario y LACG asociado a implante mamario.(1,2) El LACG ALK negativo suele tener peor pronóstico comparado con el LACG ALK positivo.

El LACG ALK negativo se caracteriza por la ausencia de rearreglos en el gen ALK, y por tener, principalmente, una presentación con compromiso ganglionar y en menor frecuencia extraganglionar en el que se destaca la afectación cutánea, hepática y pulmonar. El compromiso pancreático es raro y hasta la fecha solo se han reportado 13 casos en la literatura mundial.(2,3,4,5,6)

El objetivo de esta investigación es presentar un caso clínico raro de un linfoma anaplásico de células grandes negativo para la quinasa de linfoma anaplásico y con presentación extraganglionar en el aparato gastrointestinal.

 

 

CASO CLÍNICO

Paciente masculino de 80 años que se presentó en el consultorio médico del Hospital "Edgardo Rebagliati Martins", debido a que hace aproximadamente 1 mes presentaba dolor abdominal tipo cólico postprandial tardío, regurgitación e ictericia verdínica. Asimismo, reportó tener una pérdida de peso de aproximadamente 5 kilogramos en 1 mes. El paciente no refirió fiebre, ni sudoración nocturna. El historial médico reveló antecedentes de hipertensión arterial y aneurisma aórtico operado.

Al examen físico se evidenció un paciente postrado en estado funcional Eastern Cooperative Oncology Group (ECOG) 3. Asimismo, se encontró ictericia de piel y escleras. En el abdomen, se evidenció distensión, y presencia de ruidos hidroaéreos de frecuencia e intensidad adecuada. No se encontraron signos peritoneales ni se palpaban adenopatías periféricas.

Los exámenes de laboratorio mostraron: hemograma con leucocitos: 6 800/mm3; con 3 400 neutrófilos/mm3; 2 300 linfocitos/mm3; 9,7 g/dL de hemoglobina; 320 000 plaquetas; glucosa: 80 mg/dL; urea: 15 mg/dL; creatinina: 0,6mg/dL; albúmina: 2,4 g/dL; bilirrubina total: 7 mg/dL; deshidrogenasa láctica: 580 U/I; serología HTLV1 negativo; Elisa-VIH: negativo.

Se realizó una tomografía computarizada abdominal con contraste en la que se detectó la presencia de un tumor en la cabeza del páncreas de 45 mm de diámetro que se extendía hacia el segmento V del hígado y presencia de adenopatías mesentéricas, retroperitoneales de entre 9 y 30 mm de diámetro.

La endoscopía alta mostró una cicatriz blanquecina retráctil localizada en la cara anterior de bulbo duodenal, que formaba un pseudodivertículo por lo que se originó una estenosis parcial del lumen intestinal y angulación marcada hacia la región posterior. Debido a que el paciente presentaba obstrucción biliar maligna se optó por la realización de un drenaje biliar externo.

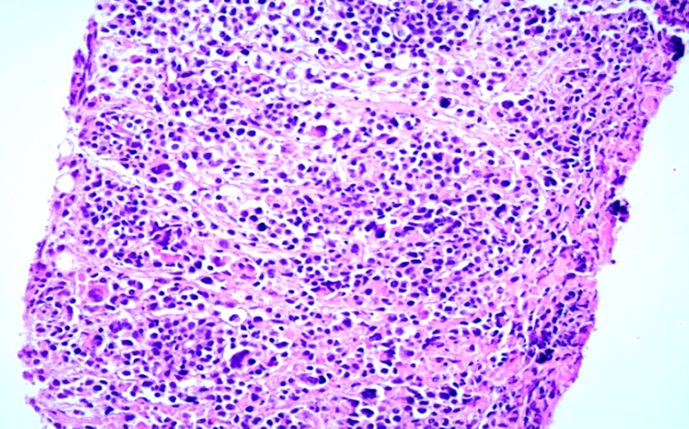
Se realizó una biopsia de la lesión tumoral a nivel del bulbo duodenal, cuyo estudio histopatológico informó la presencia de abundantes células linfoides grandes y atípicas (Fig. 1 - Ver imagen con la resolución original).

 

 

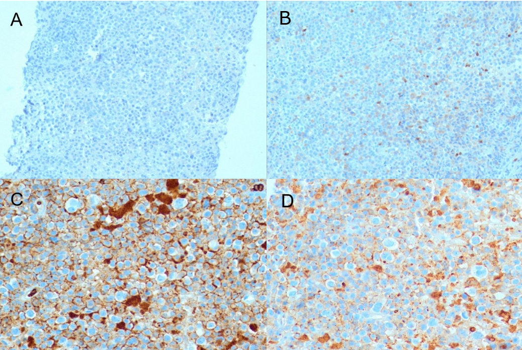
El análisis inmunohistoquímico de la lesión reflejó células atípicas que fueron negativas para S100, CD3, ALK, CD5, CD56. Las células neoplásicas mostraron intensa positividad para CD30, CD4 y CD45 (Fig. 2 - Ver imagen con la resolución original).

 

 

Los resultados del estudio anatomopatológico fueron consistentes con LACG negativo. La biopsia de médula ósea no mostró infiltración neoplásica. El paciente fue catalogado con estadio II B por lo que recibió quimioterapia de primera línea con régimen doxorubicina, vincristina, prednisona, ciclofosfamida (mini-CHOP) por 1 ciclo. Posteriormente a esto, el paciente presentó sepsis en el contexto de una neutropenia inducida por la quimioterapia, condición que lo llevó a su fallecimiento a los 3 meses del diagnóstico.

 

 

COMENTARIOS

El linfoma primario pancreático es una entidad rara dentro de la cual el subtipo más frecuente es el linfoma de células grandes B difuso. Sin embargo, un subtipo extremadamente raro es el linfoma anaplásico de células grandes (LACG), descrito por Stein H y otros en 1985, el cual se caracteriza por la presencia de células grandes pleomórficas que expresan el CD3.(2,7) Esta entidad es de fenotipo T e incluye a los anaplásicos sistémicos ALK positivo y ALK negativo.(2,8)

Los rearreglos del gen ALK codifican proteínas de fusión. El más frecuente es la traslocación t(2;5) (p23:q35) entre el gen ALK y el gen de la nucleofosmina.(9,10,11,12) El linfoma anaplásico ALK positivo se presenta en pacientes jóvenes y tiene un pronóstico favorable en cambio, el LACG ALK negativo se presenta en pacientes ancianos y el pronóstico es usualmente desfavorable.(3,4,5,6)

Las características clínicas del LACG primario pancreático indican que este suele presentarse con dolor abdominal, ictericia, pérdida de peso, fiebre y sudoración nocturna. Esta presentación inespecífica supone un problema durante la evaluación diagnóstica, debido a que puede superponerse con la presentación de adenocarcinoma de páncreas. En archivos complementarios se presentan las características clinicopatológicas de los casos reportados de LACG primario pancreático reportados en la literatura.(11,12,13,14)

Actualmente, para el tratamiento de los linfomas anaplásicos sistémicos, la quimioterapia basada en antraciclinas es la opción más empleada en el mundo. Asimismo, el empleo de terapias biológicas como los agentes anti ALK y los anticuerpos monoclonales anti CD30 pueden ayudar a mejorar el pronóstico.(15,16) El paciente del caso reportado presentó un resultado desfavorable debido a su edad avanzada, el riesgo de complicaciones como producto de la quimioterapia y su estado funcional ECOG 3.

También es importante destacar la consideración de linfoma pancreático primario y sus diferentes subtipos histológicos en el diagnóstico diferencial de masa tumoral pancreática.

Se puede concluir que el linfoma anaplásico de células grandes ALK negativo es una entidad rara, cuya localización extraganglionar, particularmente en el tracto gastrointestinal es infrecuente.

Ética y consentimiento

Para la realización del presente manuscrito se cumplieron con los principios bioéticos estipulados en la Declaración de Helsinski.

 

 

REFERENCIAS BIBLIOGRAFICAS

1. Zhang XR, Chien PN, Nam SY, Heo CY. Anaplastic Large Cell Lymphoma: Molecular Pathogenesis and Treatment [Internet]. Cancers (Basel). 2022; 14(7):1650. DOI: 10.3390/cancers14071650

2. Arcari A, Anselmi E, Bernuzzi P, Berte R, Lazzaro A, Moroni C, et al. Primary pancreatic lymphoma. Report of five cases [Internet]. Haematologica. 2005 [acceso: 15/03/2024]; 90(1):23-8. Disponible en: https://haematologica.org/article/view/3358

3. Hughes B, Habib N, Chuang KY. Primary Anaplastic Large Cell Lymphoma of the Pancreas [Internet]. ACG Case Rep J. 2019 [acceso: 15/09/2019]; 6(10):e00231. Disponible en: https://www.ncbi.nlm.nih.gov/pmc/articles/PMC6855530/

4. Savopoulos CG, Tsesmeli NE, Kaiafa GD, Zantidis AT, Bobos MT, Hatzitolios AI, et al. Primary pancreatic anaplastic large cell lymphoma, ALK negative: a case report [Internet]. World J Gastroenterol. 2005 [acceso: 14/03/2024]; 11(39):6221-4. Disponible en: https://www.ncbi.nlm.nih.gov/pmc/articles/PMC4436646/

5. Chim C, Ho J, Ooi G, Choy C, Liang R. Primary Anaplastic Large Cell Lymphoma of the Pancreas [Internet]. Leukemia & Lymphoma/Leukemia And Lymphoma. 2005 [acceso: 10/01/2024]; 46(3):457-9. Disponible en: https://pubmed.ncbi.nlm.nih.gov/15621839/

6. Fraser C, Chan Y, Heath J. Anaplastic large cell lymphoma of the pancreas: a pediatric case and literature review [Internet]. J Pediatr Hematol Oncol. 2004 [acceso: 14/03/2024]; 26(12):840-2. Disponible en: https://pubmed.ncbi.nlm.nih.gov/15591909/

7. Parwani A, Kulesza P, Erozan YS, Ali SZ. Pathologic quiz case: A 30- year-old man with lower abdominal and back pain. Anaplastic large cell lymphoma (Ki-1 lymphoma) of the pancreas [Internet]. Arch Pathol Lab Med. 2004 [acceso: 05/02/2024]; 128(12):179-80. Disponible en: https://pubmed.ncbi.nlm.nih.gov/15578908/

8. Stein H, Mason DY, Gerdes J, O'Connor N, Wainscoat J, Pallesen G, et al. The expression of the Hodgkin's disease associated antigen Ki-1 in reactive and neoplastic lymphoid tissue: evidence that Reed-Sternberg cells and histiocytic malignancies are derived from activated lymphoid cells [Internet]. Blood. 1985 [acceso: 14/03/2024]; 66(4):848-58. Disponible en: https://pubmed.ncbi.nlm.nih.gov/3876124/

9. Cohen S, Libster D, Amir G, Hiller N, Da'as N, Ben Yehuda D, et al. Primary ALK positive anaplastic large cell lymphoma of the pancreas [Internet]. Leuk Lymphoma. 2003; 44(1):205-207. DOI: 10.1080/1042819021000054715

10. Castellanos G, Bas A, Pinero A, Soria T, Parrilla P. Anaplastic large cell lymphoma (CD30, p80+) presenting as acute pancreatitis with subcutaneous nodules [Internet]. Eur J Haematol. 1999; 63(3):205-6. DOI: 10.1111/j.1600-0609.1999.tb01769.x

11. Maruyama H, Nakatsuji N, Sugihara S, Atsumi M, Shimamoto K, Hayashi K, et al. Anaplastic Ki-1-positive large cell lymphoma of the pancreas: a case report and review of the literature [Internet]. Jpn J Clin Oncol. 1997; 27(1):51-7. DOI: 10.1093/jjco/27.1.51

12. Chen L, Krause JR, Zhang H. Primary anaplastic large cell lymphomas of the pancreas [Internet]. Proc (Bayl Univ Med Cent). 2022 [acceso: 07/06/2022]; 35(5):675-7. Disponible en: https://pubmed.ncbi.nlm.nih.gov/35991749/

13. Alsaleem HN, Almuzaini AS, Alnafisah K, Almutairi N, ALAmmari AM, AlOmar AS. Extranodal Anaplastic Large Cell Lymphoma Involving the Pancreas: A Rare Presentation. [Internet]. Cureus. 2024; 16(2):e54037. DOI: 10.7759/cureus.54037

14. Huang HH, Qing X. When Lymphoma Strikes the Pancreas: A Rare Presentation of Systemic Anaplastic Lymphoma Kinase-Negative Anaplastic Large Cell Lymphoma in a Human Immunodeficiency Virus-Positive Patient [Internet]. J Hematol. 2023; 12(5):236-42. DOI: 10.14740/jh1138

15. Morris SW, Kirstein MN, Valentine MB, Dittmer KG, Shapiro DN, Saltman DL, et al. Fusion of a Kinase Gene, ALK, to a Nucleolar Protein Gene, NPM, in Non-Hodgkin's Lymphoma [Internet]. Science. 1994 [acceso: 04/03/2024]; 263(5151):1281-4. Disponible en: https://pubmed.ncbi.nlm.nih.gov/8122112/

16. Zhang XR, Chien PN, Nam SY, Heo CY. Anaplastic Large Cell Lymphoma: Molecular Pathogenesis and Treatment [Internet]. Cancers (Basel). 2022 [acceso: 14/03/2024]; 14(7):1650. Disponible en: https://pubmed.ncbi.nlm.nih.gov/35406421/

 

 

Conflictos de interés

Los autores declaran que no existen conflictos de interés.

 

Información financiera

Los autores declaran que no existió financiación.

 

Disponibilidad de datos

Los datos utilizados para la presentación del caso, corresponden a un caso atendido en el Hospital "Edgardo Rebagliati Martins".