Presentación de caso

 

Oncocitoma suprarrenal

Adrenal oncocytoma

 

Roxana Soranyer Horroutinell Scull1 https://orcid.org/0000-0002-9276-1282
Tomás Lázaro Rodríguez Collar1* https://orcid.org/0000-0002-3769-5024
Yaimara Zunen Hernández Puentes1 https://orcid.org/0000-0003-2573-0416
Eduardo Morales Díaz1 https://orcid.org/0000-0003-1416-8755

 

1Hospital Militar Central Dr. "Carlos J. Finlay". La Habana, Cuba.

*Autor para la correspondencia. Correo electrónico: tomasrc@infomed.sld.cu

 

 


RESUMEN

Introducción: El oncocitoma suprarrenal es un tumor infrecuente e incidental y sin manifestaciones clínicas propias.
Objetivo: Presentar un caso de oncocitoma suprarrenal y sus particularidades diagnósticas y terapéuticas.
Caso clínico: Paciente masculino de 34 años de edad con antecedentes de salud, que se presentó por dolor lumbo-abdominal derecho, sin irradiación ni otros síntomas acompañantes. El examen físico fue normal. El ultrasonido informó un tumor de unos 7 cm de diámetro, localizado haciael polo superior del riñón derecho. El origen suprarrenalse definió con la tomografía abdominal contrastada.Los valores sanguíneos de hormonasde la corteza suprarrenal fueron normales. Se hizo la exéresis total del tumor, mediante laparotomía convencional. El riñón estaba normal. El examen histopatológico notificó oncocitoma suprarrenal y lo ratificó la inmunohistoquímica. El paciente evolucionó satisfactoriamente.
Conclusiones: El oncocitoma suprarrenal es un tumor infrecuente y de hallazgo fortuito. La tomografía abdominal contrastada no tiene alta especificidad para diferenciarlo de otros tumores suprarrenales. El perfil inmunohistoquímico del tumor es concluyente en el diagnóstico definitivo.

Palabras clave: neoplasias suprarrenales; oncocitoma suprarrenal; inmunohistoquímica.


ABSTRACT

Introduction: Adrenal oncocytoma is a rare and incidental tumor without its own clinical manifestations.
Objective: To present a case of adrenal oncocytoma and its diagnostic and therapeutic characteristics.
Clinical case: 34-year-old male patient with a medical history, who presented with right lumbo-abdominal pain, without radiation or other accompanying symptoms. The physical exam was normal. The ultrasound reported a tumor of about 7 cm of diameter, located towards the upper pole of the right kidney. The adrenal origin was defined with contrast abdominal tomography. The blood levels of hormones of the adrenal cortex were normal. Total excision of the tumor was performed by conventional laparotomy. The kidney was normal. Histopathological examination reported adrenal oncocytoma and the immunohistochemistry confirmed it. The patient evolved satisfactorily.
Conclusions: Adrenal oncocytoma is a rare and fortuitous tumor. Contrast abdominal tomography does not have high specificity to differentiate it from other adrenal tumors. The immunohistochemical profile of the tumor is conclusive in the definitive diagnosis.

Keywords: adrenal neoplasms; adrenal oncocytoma; inmunohystochemistry.


 

 

Recibido: 18/05/2020
Aprobado: 23/07/2020

 

 

INTRODUCCIÓN

El oncocitoma suprarrenal (OS) es un tumor infrecuente, que se descubre en exploraciones imaginológicas del abdomen. Es más común en los riñones, también se ha reportado en órganos glandulares. Fueron descritos por primera vez por Kakimoto, en 1986.(1)

Los oncocitomas son considerados tumores benignos, aunque entre un 20 y un 30 % muestran elementos de malignidad. En su mayoría son inactivos funcionalmente, sin embargo, del 10 al 20 % secretan esteroides sexuales, citoquinas o cortisol. Predominan en el sexo femenino y en la suprarrenal izquierda. La tomografía abdominal contrastada no tiene alta especificidad para el diagnóstico por imagen, pero aporta elementos de sospecha. El tratamiento es básicamente quirúrgico, mediante cirugía convencional o por técnicas de mínimo acceso.(2)

El objetivo de este artículo es presentar un caso de OS, así como los detalles de su diagnóstico y tratamiento.

 

 

CASO CLÍNICO

Paciente masculino de 34 años de edad, con antecedentes de salud. Presentó dolor lumbo-abdominal derecho ligero, sin irradiación, ni otros síntomas acompañantes. Se automedicó con analgésicos (dipirona, 500 mg cada 8 horas) durante dos días, al no aliviarse, acudió al médico.

Se realizó ultrasonido abdominal en su policlínico, que informó una lesión tumoral heterogénea y no vascularizada, de unos 7 cm de diámetro, en el polo superior del riñón derecho. El riñón izquierdo era normal. No se detectaron otras alteraciones intraabdominales. Los estudios de sangre y de orina fueron normales. Fue remitido al hospital.

El interrogatorio no reportó datos de interés. El examen físico y los signos vitales fueron normales. Se ingresó al paciente.

Se realizaron los exámenes de laboratorio clínico siguientes: hemoglobina, hematocrito, eritrosedimentación, glicemia, colesterol, creatinina, ácido úrico, triglicéridos, TGO, TGP, GGT, proteínas totales y fraccionadas, bilirrubina total y fraccionada, coagulograma completo y el examen general de la orina. Todos fueron normales.

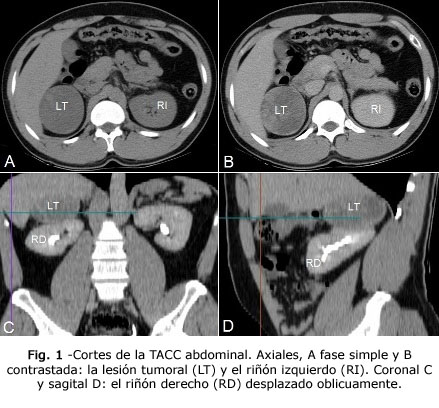
La tomografía axial computarizada contrastada (TACC) tóraco - abdominal, no reveló alteraciones cardiacas ni pleuro- pulmonares. Verificó la lesión tumoral, de 6 x 7 cm, bien delimitada y con densidades variables, en proyección de la glándula suprarrenal derecha, que desplazaba el riñón hacia abajo y con orientación oblicua. El tumor realzó ligeramente y de forma heterogénea. El riñón izquierdo era normal (Fig. 1).

 

 

Los niveles séricos de las hormonas suprarrenales cortisol, aldosterona y testosterona fueron normales. El grupo básico de trabajo acordó realizar la exéresis del tumor, mediante laparotomía convencional, a través de una incisión media supra e infraumbilical. El tumor estaba bien encapsulado y se extrajo sin dificultades. El riñón derecho estaba normal. No hubo complicaciones quirúrgicas ni anestésicas.

El tumor medía entre 6 y 6,5 cm de diámetro y tenía consistencia blanda. Al corte, su aspecto interior era heterogéneo, con un centro rosado más consistente y formaciones mixoides circundantes (Fig. 2).

 

 

El paciente no presentó complicaciones posoperatorias y permaneció otros 4 días en el hospital.

El análisis histopatológico del tumor, con la tinción de hematoxilina y eosina, demostró una población celular homogénea con citoplasma eosinófilo abundante, núcleos vesiculosos con nucléolos prominentes e hipercromáticos y escasas mitosis, típicos del OS.

La inmunohistoquímica lo confirmó: calretinina: positivo, melan- A: positivo, vimentina: positivo, CD10: positivo, CKAE1/AE3: positivo focal, WT-1: negativo, CD205: negativo, desmina: negativo, cromogratina- A: negativo, CD 117: negativo, EMA: no evaluable y Ki-67 < 20 % (Fig. 3).

 

 

Actualmente el paciente está asintomático e incorporado a sus actividades habituales. Asiste a consulta de urología, anualmente, para estudios humorales e imagenológicos de control.

 

 

COMENTARIOS

El OS es un tumor raro, con apenas unos 200 casos publicados desde su primera descripción en 1986. Son más comunes en el riñón, glándulas salivares y tiroides, aunque también se han reportado en paratiroides, hipófisis, laringe, mama, ovario, estómago, intestino delgado, timo, próstata y pulmón.(2) Representan entre el 2 y el 10 % de los tumores suprarrenales en la población adulta.(3)

Predomina en el sexo femenino y en la suprarrenal izquierda. Se puede presentar desde la adolescencia hasta en adultos de la tercera edad.(4,5) Su tamaño usualmente es grande, están bien encapsulados y no infiltran órganos vecinos.(1) Aunque se les considera benignos, entre un 20 y un 30 % son malignos o poseen alto potencial de malignidad.(2) En el reporte de Kanitra y otros, 65 % fueron malignos.(6) En el paciente presentado, concuerda entamaño, estirpe y rango de edad, no así en cuanto al sexo y lateralidad de la lesión.

El OS no presenta síntomas y signos característicos y la mayoría se detecta incidentalmente. Aunque usualmente no son funcionantes, entre el 10 y el 20 % sí lo son, y las manifestaciones clínicas se corresponden con la capa de la corteza suprarrenal afectada.(1) Se han descrito pacientes con pubertad precoz, síndrome de Cushing e hipertensión arterial secundaria a hiperaldosteronismo.(7) En el caso publicado por Costanzo y otros, era multifuncionante, al tener más de una producción hormonal aumentada.(2) No fue así en el paciente presentado.

El ultrasonido es el estudio que con más frecuencia detecta el OS. En ocasiones, como en el caso de este reporte, este examen se realiza por causas que no dependen del hiperfuncionamiento suprarrenal. En este paciente, fue el tamaño de la lesión el que originó el dolor lumbo-abdominal derecho y la consiguiente indicación de la ecografía abdominal.

La TACC y la resonancia magnética nuclear, carecen de especificidad para distinguir el OS de otros tumores suprarrenales, aunque ciertos detalles de la TACC incrementan el índice de sospecha.(5) Por ejemplo los OS realzan muy poco, menos de 10 unidades Hounsfield (UH) debido a su alto contenido lipídico. Los carcinomas suprarrenales y las lesiones metastásicas, muestran elevadas cifras de realce (> 21 UH) y la mayoría de los feocromocitomas (> 110 UH).(6) Otros autores plantean que en la mayoría de los OS, el realce es heterogéneo.(1,4) La lesión tumoral del paciente de esta presentación, mostró realce heterogéneo e inferior a 20 UH, por lo cual coincide con los autores consultados.

El tratamiento del OS es quirúrgico, ya sea por laparotomía convencional o por mínimo acceso. Es importante tener en cuenta el tamaño de la lesión y su posible estirpe histológica, pues en los mayores de 6 cm o con potencial de malignidad, la cirugía de mínimo acceso es insegura; la disección puede tornarse difícil y existe riesgo de ruptura tumoral.(1,4,5)

El estudio histológico con hematoxilina y eosina describe, típicamente, células poligonales con abundante citoplasma eosinófilo por acúmulos de mitocondrias y nucléolos prominentes e hipercromáticos.(8,9) Para el diagnóstico de certeza se emplea la inmunohistoquímica. Según Peynirci y otros, los OS suelen ser positivos a: melam- A, calretinina y vimentina, como ocurrió en el paciente de este estudio.(7) El índice de proliferación Ki-67 debe ser menor de 20 %, valor que se obtuvo en el paciente que se describe, conforme con lo reportado por Renaudin y otros.(10)

El OS es un tumor infrecuente y de hallazgo fortuito. La TACC no tiene alta especificidad para diferenciarlo de otros tumores suprarrenales. El perfil inmunohistoquímico del tumor es concluyente en el diagnóstico definitivo.

 

 

REFERENCIAS BIBLIOGRÁFICAS

1. Hong Y, Hao Y, Hu J, Xu B, Shan H, Wang X. Adrenocortical oncocytoma. 11 case reports and review of the literature. Medicine. 2017 [acceso: 20/04/2020]; 96 (48): [aprox 4 p.] Disponible en: https://www.ncbi.nlm.nih.gov/pmc/articles/PMC5728750/pdf/medi-96-e8750.pdf

2. Costanzo PR, Paissan AL, Knoblovits P. Functional plurihormonal adrenal oncocytoma: case report and literature review. Clin Case Rep. 2018 [acceso: 20/04/2020]; 6(1):37-44. Disponible en: https://www.ncbi.nlm.nih.gov/pmc/articles/PMC5771899/pdf/CCR3-6-37.pdf

3. Crona J, Beuschlein F, Pacak K, Skogseid B. Advances in adrenal tumors 2018. Endocrine-Related Cancer. 2018 [acceso: 20/04/2020]; 25:405-20. Disponible en: https://www.ncbi.nlm.nih.gov/pmc/articles/PMC5976083/pdf/erc-25-R405.pdf

4. Dong D, Liu X, Ji Z, Li H. Diagnosis and Treatment of Adrenocortical Oncocytoma: Case Report of Five Cases and Review of the Literature. Front. Oncol. 2019 [acceso: 20/04/2020]; 9:[aprox 5 p.].Disponible en: https://www.ncbi.nlm.nih.gov/pmc/articles/PMC6507916/

5. Sato M, Ozawa M, Kuromoto A, Morozumi K, Hoshi S, Numahata K. A case of adrenocortical oncocytic neoplasm treated with laparoscopic adrenalectomy. Urol Case Rep. 2017 [acceso: 20/04/2020]; 15:50-2. Disponible en: https://www.ncbi.nlm.nih.gov/pmc/articles/PMC5622964/pdf/main.pdf

6. Kanitra JJ, Hardaway JC, Soleimani T, Koehler TJ, McLeod MK, Kavuturu S. Adrenocortical oncocytic neoplasm: A systematic review. Surgery. 2018 [acceso: 20/04/2020]; 164(6):1351- 9. Disponible en: https://www.ncbi.nlm.nih.gov/pubmed/30037428

7. Peynirci H, Taskıran B, Dik N, Saraydaroğlu Ö, Ersoy C. Oncocytic neoplasms; rare adrenocortical tumours - a report of eleven patients. Endokrynol Pol. 2018 [acceso: 20/04/2020]; 69(6):682-7. Disponible en: https://journals.viamedica.pl/endokrynologia_polska/article/view/55220

8. Kedia RR, Muinov L, Lele SM, Shivaswamy V. Adrenal oncoctyoma of uncertain malignant potential: a rare etiology of adrenal incidentalomas. Clin Case Rep. 2016 [acceso: 20/04/2020]; 4(3):303-4. Disponible en: https://www.ncbi.nlm.nih.gov/pmc/articles/PMC4771856/

9. Shenouda M, Brown LG, Denning KL, Pacioles T. A case of oncocytic adrenocortical neoplasm of borderline (uncertain) malignant potential. Cureus. 2016 [acceso: 20/04/2020]; 8(6):e638: [aprox 10 p.]. Disponible en: https://www.ncbi.nlm.nih.gov/pmc/articles/PMC4945327/

10. Renaudin K, Smati S, Wargny M, Ghuzlan AA, Aubert S, Leteurtre E, et al. Clinicopathological description of 43 oncocytic adrenocortical tumors: importance of Ki-67 in histoprognostic evaluation. Modern Pathol. 2018 [acceso: 20/04/2020]; 31:1708-16. Disponible en: https://www.nature.com/articles/s41379-018-0077-8.pdf

 

 

Conflictos de intereses

Los autores declaran no tener conflictos de intereses.