Presentación de Caso

 

Tuberculosis pulmonar simuladora de cáncer con tratamiento combinado de primera y segunda línea

Cancer-mimicking pulmonary tuberculosis with combined first- and second-line treatment

 

Julio Antonio Esquivel-Tamayo1* https://orcid.org/0000-0002-8723-3733

1Universidad de Ciencias Médicas de Las Tunas. Policlínico Docente "Manuel Fajardo Rivero". Las Tunas, Cuba.

*Autor para la correspondencia. Correo electrónico: julioantesquivel@gmail.com

 

 


RESUMEN

Introducción: La tuberculosis pulmonar se asocia a síntomas, signos e imágenes radiológicas similares a las del cáncer de pulmón, por tanto, puede simular una neoplasia. En el caso de bacterias resistentes y el déficit de fármacos de primera línea, se recurre a tratamientos combinados de los que en muchas ocasiones no se tiene evidencia de su efectividad.
Objetivo: Contrastar los resultados de investigaciones diagnósticas, con las manifestaciones clínicas en un paciente con tuberculosis pulmonar y del colon.
Caso Clínico: Paciente con tuberculosis pulmonar, con factores de riesgo, manifestaciones clínicas y radiológicas de cáncer de pulmón; se valoró con este diagnóstico hasta que meses después la baciloscopía y la biopsia confirmaron el diagnóstico. Se indicó tratamiento excepcional con fármacos de primera y segunda línea en la primera fase. El paciente evolucionó de forma favorable.
Conclusiones: La tuberculosis pulmonar puede pasar inadvertida, por ser asintomática o simular una neoplasia pulmonar. La baciloscopía es una herramienta esencial para el diagnóstico diferencial y el tratamiento oportuno, que en este caso produjo mejoría clínico-radiológica y bacteriológica.

Palabras clave: antituberculosos; cicloserina; etambutol; isoniacida; moxifloxacino; neoplasias pulmonares; tuberculosis pulmonar.


ABSTRACT

Introduction: Pulmonary tuberculosis is associated with symptoms, signs and radiological images similar to those of lung cancer; therefore, it can simulate a neoplasia. In the case of resistant bacteria and the lack of first-line drugs, combined treatments are used, which in many cases have no evidence of their effectiveness.
Objective: To contrast the results of diagnostic investigations with the clinical manifestations in a patient with pulmonary and colon tuberculosis.
Clinical Case: Patient with pulmonary tuberculosis, with risk factors, clinical and radiological manifestations of lung cancer; he was evaluated with this diagnosis until months later the bacilloscopy and biopsy confirmed the diagnosis. Exceptional treatment with first- and second-line drugs was indicated in the first phase. The patient evolved favorably.
Conclusions: Pulmonary tuberculosis can go unnoticed, because it is asymptomatic or simulates a pulmonary neoplasia. Bacilloscopic examination is an essential tool for differential diagnosis and timely treatment, which in this case produced clinical-radiological and bacteriological improvement.

Keywords: anti-tuberculosis; cycloserine; ethambutol; isoniazid; lung neoplasms; moxifloxacin; pulmonary tuberculosis.


 

 

Recibido: 04/10/2024
Aprobado: 06/02/2025

 

 

INTRODUCCIÓN

La tuberculosis (TB) es una de las enfermedades infecciosas con mayor mortalidad en el mundo y la segunda causa de mortalidad por infección; solo por detrás de la COVID-19 en el año 2022, con 10,6 millones de casos y 1,3 millones de fallecidos.(1)

La TB pulmonar representa el 70 %; se asocia a manifestaciones clínico-radiológicas, similares a las neoplasias pulmonares.(2) En un estudio(3) se identificaron 170 pacientes con diagnóstico de TB y ausencia de neoplasia, con hallazgos radiológicos sugestivos de esta última.

En el año 2022 se diagnosticaron 659 casos nuevos en Cuba (5,9 x 100 000 habitantes), un 87,25 % con la forma pulmonar. Fallecieron en ese año 39 casos (0,3 x 100 000 habitantes).(4)

El tratamiento estándar, de primera línea, combina isoniazida, rifampicina, pirazinamida y etambutol durante 2 meses, seguido de 4 a 10 meses con isoniazida y rifampicina.(5,6,7) Ante bacterias resistentes, la Organización Mundial de la Salud (OMS) clasifica los fármacos en 3 grupos, según la efectividad y seguridad. Entre esos medicamentos, moxifloxacino y terizidone se emplean también ante el déficit de fármacos de primera línea.(8,9,10)

El objetivo del artículo es contrastar los resultados de investigaciones diagnósticas, con las manifestaciones clínicas en un paciente con tuberculosis pulmonar y del colon.

 

 

CASO CLÍNICO

Paciente masculino, de 66 años de edad, piel blanca, procedencia rural, con antecedentes de tabaquismo de hace 12 años; acudió a la consulta de medicina por tos de más de 15 días de evolución, con expectoración blanquecina y en ocasiones hemoptoica, anorexia marcada y pérdida de peso estimada de 10 kg en 3 meses. Al examen físico se constató taquipnea, con crepitantes gruesos al final de la inspiración en el campo pulmonar derecho y disminución del murmullo vesicular en su lóbulo superior.

En la historia clínica estaba recogido el antecedente de un cuadro similar hacía meses atrás, que requirió ingreso. En este los exámenes de hemoquímica y la ultrasonografía abdominal no mostraron alteraciones. En la radiografía de tórax y la tomografía axial computarizada (TAC) de pulmón, se informó lesiones sugestivas de cáncer. El estudio citológico del líquido pleural fue negativo para células malignas. Se discutió entre los especialistas de medicina interna, radiología, neumología y oncología; se propuso realizar broncoscopia. Esta informó ausencia de indicios de tumoración endobronquial. Por decisión personal y familiar se egresó sin tratamiento antineoplásico.

Negó la presencia de manifestaciones respiratorias entre ambos episodios.

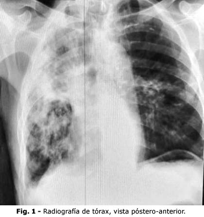
En el cuadro actual, los exámenes hemoquímicos no mostraron alteraciones. En la radiografía de tórax, vista póstero-anterior (Fig. 1) se observó una imagen de opacidad heterogénea, aspecto inflamatorio, con tendencia a ser fibroexudativa que ocupaba los dos tercios superiores del pulmón derecho, y una imagen de aspecto inflamatorio, en los dos tercios inferiores del pulmón izquierdo.

 

 

La TAC mostró múltiples lesiones en el pulmón derecho, nodulares, de tamaño variable y distribución irregular, confluyentes, en una masa tumoral de 64 x 59 x 52 mm, localizadas en el segmento apical del lóbulo inferior; además, engrosamiento nodular pleural perihiliar y mediastínica, de aspecto metastásico. Adenopatías mediastínicas en las regiones prevascular, paratraqueales derechas y precarinales, de aspecto metastásico; discreto derrame pleural en la región basal posterior derecha. En el abdomen existía un engrosamiento marcado y circunferencial en el ciego, de aspecto tumoral y estenosis de la luz, con 38 mm de diámetro; adenopatías regionales, la mayor de 18 x12 mm.

Se realizó ileocolectomía parcial y biopsia de colon. En la biopsia, mediante la tinción de Ziehl-Neelsen se observaron macrófagos activados, con bacilos púrpura en su interior. Se informó: enterocolitis granulomatosa por tuberculosis intestinal. Luego se realizó una baciloscopia, que resultó positiva (codificación 7), lo cual confirmó la afectación pulmonar.

Ante la ausencia de los fármacos rifampicina y pirazinamida, se indicó una primera fase, de 60 días de tratamiento, de lunes a sábado con: moxifloxacino (tableta de 400 mg), 1 tableta; isoniacida (tableta de 150 mg), 2 tabletas; terizidone (cápsula de 250 mg), 3 cápsulas; y etambutol (tableta de 400 mg), 3 tabletas.

Al inicio del tratamiento presentó náuseas y cólicos intestinales; a los 7 días desapareció la tos; al mes las transaminasas y el electrocardiograma no presentaban alteraciones; y los esputos BAAR I y II fueron de codificación 3.

Al final de esta primera fase, el paciente había aumentado 5 kg de peso corporal, las transaminasas y el electrocardiograma estaban inalterados, los esputos BAAR I y II fueron de codificación 2 y tenía mejoría radiológica (Fig. 2).

 

 

 

 

COMENTARIOS

Los síntomas de TB pulmonar son a menudo inespecíficos, o pueden estar ausentes en un 5 % de los casos. La tos, hemoptisis y pérdida de peso son también síntomas del cáncer pulmonar.(11) Algunos patrones radiológicos atípicos de la TB pulmonar, se confunden con neoplasias, en el 3,5 % al 4,5 % de los casos.(3,12) El índice de sospecha de TB pulmonar fue alto con la radiografía del paciente; existía una afectación extensa, para pensar solo en una neoplasia de pulmón, que pese al gran tamaño, no tenía evidencias de metástasis extratorácica.

Los signos tomográficos fueron similares al del caso descrito por Vargas K y otros,(13) quienes encontraron también derrame pleural, presente en el 15 % de los pacientes con neoplasias y 40 % de los casos de TB pulmonar.(14) La confianza en la TAC desvió la atención diagnóstica y la afectación del colon fue la que modificó el criterio diagnóstico.

Aunque la forma hipertrófica de TB en el colon reduce la luz, no hubo evidencias clínicas; al contrario de un estudio(15) en 69 pacientes con TB intestinal, con un 84 % de afectación de la válvula ileocecal, y los síntomas más comunes fueron: dolor abdominal, fiebre, pérdida de peso, diarrea crónica y sensación de masa abdominal.

El diagnóstico de neoplasia puede producir la indicación de terapia paliativa y fin de los estudios.(3) La baciloscopia es la herramienta primaria en el diagnóstico de la TB,(1,5) que fue obviada en el primer ingreso del paciente, lo cual retrasó el diagnóstico, pero se realizó en el segundo, debido al hallazgo intestinal.

Sobre los 4 fármacos utilizados en la terapia, aunque se documentan excelentes efectos de cada uno por separado,no se encontraron reportes en la bibliografía, sobre su uso combinado.

La TB pulmonar puede pasar inadvertida, por ser asintomática, o simular una neoplasia pulmonar, por lo que la baciloscopia es una herramienta esencial para el diagnóstico diferencial y el tratamiento oportuno, que en este caso produjo mejoría clínico-radiológica y bacteriológica.

 

 

Ética y consentimiento

Se obtuvo el consentimiento informado del paciente para la publicación del caso, con el tratamiento anónimo de los datos.

 

 

REFERENCIAS BIBLIOGRÁFICAS

1. World Health Organization. Global tuberculosis report 2022 [Internet]. Geneva: WHO; 2022. [acceso: 11/09/2024]. Disponible en: https://www.who.int/teams/global-tuberculosis-programme/tb-reports/global-tuberculosis-report-2022

2. Hammen I. Tuberculosis mimicking lung cancer [Internet]. Respir Med Case Rep. 2015; 16:45-7. DOI: 10.1016/j.rmcr.2015.06.007

3. Villena Suarez JR, Vicente W, Taxa L, Cuéllar L, Nuñez Butrón MT, Villegas V, et al. Tuberculosis que imita cáncer: casos derivados al Instituto Nacional de Enfermedades Neoplásicas, Lima-Perú [Internet]. Rev Perú Med Exp Salud Publica. 2018; 35(1):77-83. DOI: 10.17843/rpmesp.2018.351.3602

4. Ministerio de Salud Pública, Dirección de registros médicos y estadísticas de salud. Anuario Estadístico de Salud 2022. La Habana: MINSAP; 2023. [acceso: 11/09/2024]. Disponible en: http://files.sld.cu/dne/files/2023/10/Anuario_Estadistico-de-Salud-2022-Ed-20231.pdf

5. Furin J, Cox H, Pai M. Tuberculosis [Internet]. Lancet. 2019; 393(10181):1642-56. DOI: 10.1016/S0140-6736(19)30308-3

6. Peloquin CA, Davies GR. The treatment of tuberculosis [Internet]. Clin Pharmacol Ther. 2021; 110(6):1455-66. DOI: 10.1002/cpt.2261

7. Horsburgh CR, Barry CE, Lange C. Treatment of Tuberculosis [Internet]. Longo DL, ed. New Engl J Med. 2015; 373(22):2149-60. DOI: 10.1056/NEJMra1413919

8. Nahid P, Mase SR, Migliori GB, Sotgiu G, Bothamley GH, Brozek JL, et al. Treatment of drug-resistant tuberculosis an official ATS/CDC/ERS/IDSA clinical practice guideline [Internet]. Am J Respir Crit Care Med. 2019; 200(10):E93-E142. DOI: 10.1164/rccm.201909-1874ST

9. World Health Organization. WHO consolidated guidelines on drug-resistant tuberculosis treatment [Internet]. Geneva: WHO; 2019. [acceso: 11/09/2024]. Disponible en: https://apps.who.int/iris/bitstream/handle/10665/311-389/9789241550529-eng.pdf?sequence=1&isAllowed=y

10. Mirzayev F, Viney K, Linh NN, Gonzalez Angulo L, Gegia M, Jaramillo E, et al. World Health Organization recommendations on the treatment of drug-resistant tuberculosis, 2020 update [Internet]. Eur Respir J. 2021; 57(6):2003300. DOI: 10.1183/13993003.03300-2020

11. Lang S, Sun J, Wang X, Xiao Y, Wang J, Zhang M, et al. Asymptomatic pulmonary tuberculosis mimicking lung cancer on imaging: A retrospective study [Internet]. Exp Ther Med. 2017; 14(3):2180-88. DOI: 10.3892/etm.2017.4737

12. Afriyie Mensah JS, Awindaogo FR, Asomani SK. Pseudotumour presentation of pulmonary tuberculosis [Internet]. Ghana Med J. 2020; 54(2):126-30. DOI: 10.4314/gmj.v54i2.12

13. Vargas Ponce KG, Meléndez Dávila C, Salas Lopez JA, Llanos Tejada F. Pulmonary tuberculosis as a differential diagnosis of a pulmonary nodule: the great masquerader [Internet]. Oncol Clin Pract. 2024; 20(1):60-3. DOI: 10.5603/OCP.2023.0045

14. Shaw JA, Irusen EM, Diacon AH, Koegelenberg CF. Pleural tuberculosis: A concise clinical review [Internet]. Clin Respir J. 2018; 12(5):1779-86. DOI: 10.1111/crj.12900

15. Patel B, Yagnik VD. Clinical and laboratory features of intestinal tuberculosis [Internet]. Clin Exp Gastroenterol. 2018;11:97-103. DOI: 10.2147/CEG.S154235

 

 

Conflictos de interés

El autor declara que no existen conflictos de interés.

 

Información financiera

No se declaran fuentes de financiamiento.

 

 

Disponibilidad de datos

Los datos utilizados para la presentación del caso corresponden al Policlínico Docente "Manuel Fajardo Rivero", Las Tunas, Cuba.