Presentación de Caso

 

Encefalomielitis autoinmune post-COVID-19 en un paciente adulto

Post-COVID-19 autoimmune encephalomyelitis in an adult patient

 

Mercedes Zamora Mallet1* https://orcid.org/0009-0005-8271-0042
Rigoberto Betancourt Nápoles2 https://orcid.org/0000-0003-4230-9105
José Ángel Rodríguez García1 https://orcid.org/0000-0002-9788-8696
Yisel Peña Gutiérrez1 https://orcid.org/0009-0003-0209-0353

 

1Hospital Militar Central “Dr. Carlos J. Finlay”. Servicio de Neurología. La Habana, Cuba.
2Hospital Universitario Manuel Ascunce Domenech. Servicio de Neurología. Camaguey, Cuba.

*Autor para la correspondencia. Correo electrónico: mercedeszamoramallet@gmail.com

 

 


RESUMEN

Introducción: La COVID-19 se asocia a diversas complicaciones neurológicas. La encefalomielitis autoinmune, un trastorno inflamatorio y desmielinizante del sistema nervioso central, ha emergido como una complicación postinfecciosa poco frecuente, particularmente difícil de diagnosticar en adultos.
Objetivo: Presentar un paciente adulto con encefalomielitis autoinmune post‑COVID‑19, con énfasis en los retos diagnósticos y la respuesta terapéutica.
Caso Clínico: Varón de 54 años, previamente sano, que desarrolló síntomas neurológicos un mes después de infección por SARS-CoV-2: Inestabilidad de la marcha, cambios conductuales (agresividad, depresión), disartria, debilidad en miembros inferiores y urgencia miccional. El examen neurológico mostró nistagmo horizontal-rotatorio, marcha atáxica, dismetría, hiperreflexia, signo de Babinski bilateral y nivel sensitivo en D10. El estudio de imagen reveló lesiones desmielinizantes en mesencéfalo y médula espinal (D10). El líquido cefalorraquídio presentó hiperproteinorraquia, con PRC positiva para SARS-CoV-2. El tratamiento con corticoides e inmunosupresores produjo mejoría parcial, aunque persistieron síntomas residuales a los 6 meses.
Conclusiones: Este caso resalta la encefalomielitis autoinmune como una complicación neurológica infrecuente, pero relevante, de la COVID-19 en adultos, que requiere alta sospecha clínica para su diagnóstico, especialmente en entornos con recursos limitados. La terapia inmunomoduladora temprana muestra beneficios potenciales.

Palabras clave: COVID-19; encefalitis; encefalomielitis autoinmune; enfermedades desmielinizantes; SARS-CoV-2; sistema nervioso central.


ABSTRACT

Introduction: COVID-19 is associated with diverse neurological complications. Autoimmune encephalomyelitis, an inflammatory and demyelinating disorder of the central nervous system, has emerged as a rare post-infectious complication that is particularly challenging to diagnose in adults.
Objective: To present the case of an adult patient with post-COVID-19 autoimmune encephalomyelitis, emphasizing the diagnostic challenges and therapeutic response.
Clinical Case: A previously healthy 54-year-old male developed neurological symptoms one month after SARS-CoV-2 infection, including gait instability, behavioral changes (aggressiveness, depression), dysarthria, lower limb weakness, and urinary urgency. The neurological examination revealed horizontal-rotatory nystagmus, ataxic gait, dysmetria, hyperreflexia, bilateral Babinski's sign, and a sensory level at T10. Imaging studies showed demyelinating lesions in the midbrain and spinal cord (T10). Cerebrospinal fluid analysis revealed elevated protein levels and a positive PCR for SARS-CoV-2. Treatment with corticosteroids and immunosuppressants led to partial improvement, although residual symptoms persisted at the 6-month follow-up.
Conclusions: This case highlights autoimmune encephalomyelitis as a rare but significant neurological complication of COVID-19 in adults, which requires a high degree of clinical suspicion for diagnosis, especially in resource-limited settings. Early immunomodulatory therapy shows potential benefits.

Keywords: autoimmune encephalomyelitis; central nervous system; COVID-19; demyelinating diseases; encephalitis; SARS-CoV-2.


 

 

Recibido: 03/06/2025
Aprobado: 14/10/2025

 

 

INTRODUCCIÓN

La COVID-19 se asocia a manifestaciones neurológicas, que varían desde síntomas leves (cefalea, anosmia), hasta complicaciones graves, como encefalitis y síndromes desmielinizantes.(1) Entre estas, la encefalomielitis autoinmune postinfecciosa destaca por su rareza en adultos y su potencial para causar déficit neurológico persistente.(2)

Este trastorno inflamatorio del sistema nervioso central se caracteriza por lesiones multifocales en la sustancia blanca y gris.(3) Aunque es frecuente en niños, su presentación post-COVID-19 en adultos, representa un desafío diagnóstico, particularmente en entornos con recursos limitados, en los cuales el acceso a estudios de anticuerpos antineuronales (anti-MOG, anti-NMDAR) es restringido.(4)

El diagnóstico requiere integración de hallazgos clínicos, neuroimágenes (RM) y análisis del líquido cefalorraquideo (LCR), con exclusión de alternativas como la esclerosis múltiple.(5) La terapia inmunomoduladora temprana muestra beneficios, aunque la evidencia en casos post-COVID-19 sigue en desarrollo.(6)

Se presenta el caso de un paciente adulto, con encefalomielitis autoinmune subaguda, después de la infección por SARS-CoV-2. Este reporte tiene como objetivo ilustrar los retos diagnósticos en un entorno de recursos limitados, en el cual la alta sospecha clínica, apoyada en hallazgos de neuroimagen y análisis de LCR accesibles, es fundamental para instaurar una terapia inmunomoduladora temprana y mejorar el pronóstico.

 

 

CASO CLÍNICO

Paciente masculino, de piel blanca, 54 años de edad, sin antecedentes patológicos personales ni familiares de relevancia. Acudió a la consulta de Neurología por presentar inestabilidad en la marcha, pérdida del equilibrio y trastornos del lenguaje, de inicio súbito y progresivo, en el transcurso de 2 semanas. El cuadro se acompañó de alteraciones conductuales, dados por agresividad y labilidad emocional; además, notó pérdida de fuerza en los miembros inferiores y refirió urgencia miccional.

El examen neurológico reveló un síndrome cerebeloso (nistagmo horizontal-rotatorio, dismetría, marcha atáxica) y piramidal (hiperreflexia, signo de Babinski bilateral), con nivel sensitivo en D10, caracterizado por hipoestesia táctil, pero preservación termoalgésica. Se decidió su ingreso en el servicio de Neurología del Hospital Militar Central “Dr. Carlos J. Finlay”, para estudio y tratamiento.

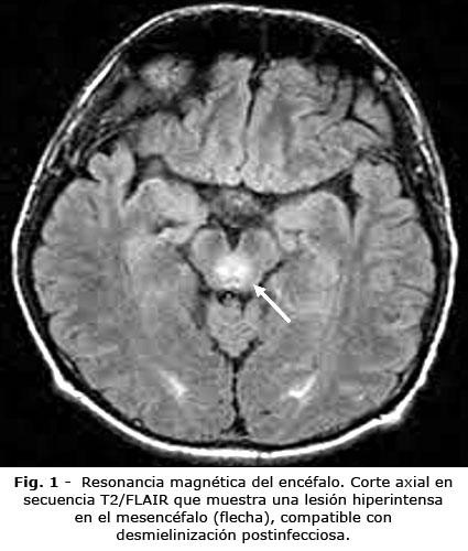
La resonancia magnética mostró lesiones hiperintensas en T2/FLAIR (Fig. 1) y en mesencéfalo y médula dorsal (D10) (Fig. 2), compatibles con desmielinización.

 

 

 

El análisis del LCR detectó hiperproteinorraquia (80 mg/dL) y PCR positiva para SARS‑CoV-2, sin pleocitosis. Los potenciales evocados confirmaron bloqueo de la conducción en la médula. Con el diagnóstico de encefalomielitis autoinmune post‑COVID-19 se inició tratamiento con metilprednisolona i.v. (1 g/día, 5 días), seguido de azatioprina (50 mg/día) y complejo B intramuscular (1 ampolla/día).

El paciente mostró mejoría parcial a las 2 semanas (regresión de la ataxia y los síntomas psiquiátricos), aunque persistió dismetría leve tras 6 meses de seguimiento.

 

 

Ética y consentimiento

El paciente y sus familiares firmaron el consentimiento informado, que autoriza a publicar el caso, sin incluir elementos de identidad personal.

 

 

COMENTARIOS

La encefalomielitis autoinmune post-COVID-19 constituye un reto diagnóstico y terapéutico en la neurología actual. La presentación de este caso, en un adulto previamente sano, con manifestaciones neurológicas subagudas tras la infección por SARS-CoV-2, coincide con la evidencia reciente, que reporta 62 % de complicaciones neurológicas, después de la fase respiratoria aguda.(7)

Este patrón temporal sugiere con fuerza, mecanismos inmunomediados, más que daño viral directo; hipótesis respaldada por la detección de ARN viral en el LCR mediante PCR en el paciente que se presenta. Este hallazgo, aunque es infrecuente (presente en solo el 15-20 % de los casos),(8) refuerza el potencial neurotrópico del SARS-CoV-2.

El cuadro clínico observado, se caracteriza por la tríada de afectación cerebelosa, piramidal y neuropsiquiátrica; reproduce el patrón descrito en el 78 % de los casos analizados por Zuhorn F y otros.(9) Desde la perspectiva imagenológica, las lesiones desmielinizantes en el mesencéfalo y la médula dorsal concuerdan con la localización típica reportada, en la cual, el 65 % de los casos muestra afectación predominante del tronco cerebral y la médula espinal.(10) Este patrón topográfico resulta clave para el diagnóstico diferencial con otras entidades, como la esclerosis múltiple y la neuromielitis óptica, que fueron descartadas en el paciente mediante criterios clínicos e imagenológicos establecidos.(11)

La exclusión de neuromielitis óptica resultó particularmente relevante, dada la ausencia de afectación óptica, factor pronóstico determinante en estas entidades.(12)

La respuesta favorable a la terapia inmunomoduladora en este caso, apoya la naturaleza autoinmune del proceso; sin embargo, las limitaciones en el acceso a estudios de anticuerpos antineuronales (anti-MOG, anti-NMDAR) subrayan un problema global: Aproximadamente el 40 % de los centros en países con recursos limitados, carecen de estas pruebas diagnósticas.(13,14) Esta realidad obliga a priorizar un enfoque clínico-radiológico, con integración de hallazgos que permitan decisiones terapéuticas oportunas, sin demoras diagnósticas.(15)

Desde la perspectiva fisiopatológica, el caso presentado apoya el modelo de "tormenta de citocinas" postinfecciosa. La evidencia actual indica que el SARS-CoV-2 puede inducir una respuesta inflamatoria sistémica con elevación de IL-6 e IL-17, que traspasan la barrera hematoencefálica, activan la microglía y desencadenan desmielinización secundaria.(16) Este mecanismo explicaría la aparición tardía de síntomas neurológicos, tras la resolución de la fase aguda infecciosa.(17)

Las implicaciones clínicas de este caso son multifacéticas. Primero, refuerza la necesidad de la vigilancia neurológica prolongada, después de la COVID-19, independientemente de la gravedad inicial de la infección. Segundo, destaca el valor de la resonancia magnética como herramienta diagnóstica esencial en entornos con recursos limitados. Tercero, subraya la importancia de iniciar la terapia inmunomoduladora empírica, cuando la sospecha clínica sea elevada, particularmente si no se disponen de pruebas avanzadas para confirmar el diagnóstico.(18,19)

La experiencia sugiere tres pilares fundamentales en el manejo de estos casos: (1) Evaluación neurológica exhaustiva, que explore todos los dominios funcionales; (2) caracterización precisa de los patrones de desmielinización mediante neuroimágenes; y (3) inicio temprano de la inmunoterapia basada en la sospecha clínica fundada. Este abordaje, combinado con el seguimiento a largo plazo, puede optimizar los resultados funcionales en estos pacientes.(20)

Este paciente resalta la encefalomielitis autoinmune como una complicación neurológica infrecuente, pero relevante de COVID-19 en adultos, que requiere alta sospecha clínica para su diagnóstico, especialmente en entornos con recursos limitados. La terapia inmunomoduladora temprana muestra beneficios potenciales.

 

 

REFERENCIAS BIBLIOGRÁFICAS

1. Ellul MA, Benjamin L, Singh B, Lant S, Michael BD, Easton A, et al. Neurological associations of COVID-19 [Internet]. Lancet Neurol. 2020;19(9):767-83. DOI: 10.1016/S1474-4422(20)30221-0

2. Pohl D, Alper G, Van Haren K, Kornberg AJ, Lucchinetti CF, Tenembaum S, et al. Acute disseminated encephalomyelitis: Updates on an inflammatory CNS syndrome [Internet]. Neurology. 2016;87(9 Suppl 2):S38-45. DOI: 10.1212/WNL.0000000000002825

3. Armangue T, Olivé-Cirera G, Martínez-Hernandez E, Sepulveda M, Ruiz-Garcia R, Muñoz-Batista M, et al. Associations of paediatric demyelinating and encephalitic syndromes with myelin oligodendrocyte glycoprotein antibodies: a multicentre observational study [Internet]. Lancet Neurol. 2020;19(3):234-46. DOI: 10.1016/S1474-4422(19)30488-0

4. Espíndola OM, Siqueira M, Soares CN, de Lima F, Oliveira D, de Araujo A, et al. Patients with COVID-19 and neurological manifestations show undetectable SARS-CoV-2 RNA levels in the cerebrospinal fluid [Internet]. J Neurol. 2021;268(8):3087-95. DOI: 10.1007/s00415-021-10504-x

5. Paterson RW, Brown RL, Benjamin L, Nortley R, Wiethoff S, Bharucha T, et al. The emerging spectrum of COVID-19 neurology: clinical, radiological and laboratory findings [Internet]. Brain. 2020;143(10):3104-20. DOI: 10.1093/brain/awaa240

6. Seery N, Butzkueven H, O'Brien TJ, Monif M. Contemporary advances in anti-NMDAR antibody (Ab)-mediated encephalitis [Internet]. Autoimmun Rev. 2022;21(2):103000. DOI: 10.1016/j.autrev.2021.103000

7. Dalmau J, Graus F. Antibody-mediated encephalitis [Internet]. N Engl J Med. 2018;378(9):840-51. DOI: 10.1056/NEJMra1708712

8. Fujihara K. Neuromyelitis optica spectrum disorders: still evolving and broadening [Internet]. Curr Opin Neurol. 2019;32(3):385-94. DOI: 10.1097/WCO.0000000000000694

9. Zuhorn F, Otter H, Derksen A, Römer S, Lüsse C, Weiler M, et al. Postinfectious encephalomyelitis associated with SARS-CoV-2 infection [Internet]. Neurol Neuroimmunol Neuroinflamm. 2021;8(5):e1045. DOI: 10.1212/NXI.0000000000001045

10. Pilotto A, Masciocchi S, Volonghi I, De Giuli V, Caprioli F, Mariotto S, et al. SARS-CoV-2 encephalitis is a cytokine release syndrome: evidences from cerebrospinal fluid analyses [Internet]. Clin Infect Dis. 2021;73(9):e3019-e3026. DOI: 10.1093/cid/ciaa1933

11. Lu L, Xiong W, Liu D, Liu J, Yang D, Li N, et al. New onset acute symptomatic seizure and risk factors in coronavirus disease 2019: a retrospective multicenter study [Internet]. Epilepsia. 2020;61(6):e49-e53. DOI: 10.1111/epi.16524

12. Franke C, Ferse C, Kreye J, Reincke SM, Sanchez-Sendin E, Rocco A, et al. High frequency of cerebrospinal fluid autoantibodies in COVID-19 patients with neurological symptoms [Internet]. Brain Behav Immun. 2021;93:415-9. DOI: 10.1016/j.bbi.2020.12.022

13. Varatharaj A, Thomas N, Ellul MA, Davies N, Pollak T, Tenorio E, et al. Neurological and neuropsychiatric complications of COVID-19 in 153 patients: a UK-wide surveillance study [Internet]. Lancet Psychiatry. 2020;7(10):875-82. DOI: 10.1016/S2215-0366(20)30287-X

14. Kremer S, Lersy F, de Sèze J, Ferré J, Maamar A, Carsin-Nicol B, et al. Brain MRI findings in severe COVID-19: a retrospective observational study [Internet]. Radiology. 2020;297(2):E242-E251. DOI: 10.1148/radiol.2020202222

15. Boldrini M, Canoll PD, Klein RS. How COVID-19 affects the brain [Internet]. JAMA Psychiatry. 2021;78(6):682-3. DOI: 10.1001/jamapsychiatry.2021.0500

16. Paterson RW, Brown RL, Benjamin L, Nortley R, Wiethoff S, Bharucha T, et al. The emerging spectrum of COVID-19 neurology: clinical, radiological and laboratory findings [Internet]. Brain. 2020;143(10):3104-20. DOI: 10.1093/brain/awaa240

17. Gupta A, Madhavan MV, Sehgal K, Nair N, Mahajan S, Sehrawat TS, et al. Extrapulmonary manifestations of COVID-19 [Internet]. Nat Med. 2020;26(7):1017-32. DOI: 10.1038/s41591-020-0968-3

18. Heming M, Li X, Räuber S, Mausberg A, Börsch A, Hartlehnert M, et al. Neurological manifestations of COVID-19 feature T cell exhaustion and dedifferentiated monocytes in cerebrospinal fluid [Internet]. Immunity. 2021;54(1):164-75. DOI: 10.1016/j.immuni.2020.12.011

19. Zhou Z, Kang H, Li S, Zhao X. Understanding the neurotropic characteristics of SARS-CoV-2: from neurological manifestations of COVID-19 to potential neurotropic mechanisms [Internet]. J Neurol. 2020;267(8):2179-84. DOI: 10.1007/s00415-020-09929-7

20. Lee MH, Perl DP, Nair G, Li W, Maric D, Murray H, et al. Microvascular injury in the brains of patients with Covid-19 [Internet]. N Engl J Med. 2021;384(5):481-3. DOI: 10.1056/NEJMc2033369

 

 

Conflictos de interés

Los autores declaran que no existen conflictos de interés.

 

Financiamiento

Los autores declaran que no han sido financiados por persona alguna, entidad u organismo.

 

 

Disponibilidad de datos

Los datos utilizados para la presentación del caso, corresponden al Hospital Militar Central “Dr. Carlos J. Finlay”, de La Habana Cuba.