Presentación de Caso
Meningioma intracraneal quístico
Cystic intracranial meningioma
Peggys Oleydis Cruz Pérez1 https://orcid.org/0000-0001-7086-3897
Miguel Enrique Espinosa Arévalo1 https://orcid.org/0000-0001-6895-0158
María Eugenia Lafranque Gonzales1 https://orcid.org/0009-0007-3543-0050
Mauro Andrés Miranda Grau1* https://orcid.org/0009-0009-0534-0235
Arniel Sánchez Mosqueda2 https://orcid.org/0009-0001-1159-1585
1Hospital Hermanos Ameijeiras. Servicio de Neurocirugía. La Habana, Cuba.
2Hospital General "Calixto García". Servicio de Cirugía Plástica y Caumatología. La Habana, Cuba.
*Autor para la correspondencia. Correo electrónico: mirandagraumauroandres@gmail.com
RESUMEN
Introducción: Los meningiomas quísticos son tumores infrecuentes. El diagnóstico preoperatorio es complejo debido a su confusión con otros tumores intracraneales de origen glial con componentes quísticos o con metástasis.
Objetivo: Presentar un caso de meningioma quístico, de aparición infrecuente en la práctica neuroquirúrgica.
Caso clínico: Paciente femenina, de 54 años de edad, con cuadro clínico de trastornos conductuales y cefalea holocraneal de gran intensidad, de alrededor de un mes de evolución y difícil control con analgésicos. Los estudios de neuroimagen mostraron una lesión ocupativa de espacio en la región frontal izquierda, con nódulo tumoral y quiste asociados. Los estudios de extensión de metástasis fueron negativos. Se realizó una craneotomía frontal y una exéresis tumoral total guiada por endoscopia. El examen histopatológico evidenció meningioma meningotelial de grado 1. La evolución de la paciente fue satisfactoria.
Conclusiones: El diagnóstico erróneo de los meningiomas quísticos puede ocasionar tratamientos inadecuados.
Palabras clave: hipertensión; meningioma; neoplasias.
ABSTRACT
Introduction: Cystic meningiomas are infrequent tumors. Preoperative diagnosis is complex due to their confusion with other intracranial tumors of glial origin with cystic components or metastasis.
Objective: Present a case of a cystic meningioma that occurs infrequently in neurosurgical practice.
Clinical case: A 54-year-old female patient with clinical manifestations of behavioral disorders and intense holocranial headache, lasting about a month and difficult to control with analgesics. Neuroimaging studies showed a space-occupying lesion at the left frontal level with a tumor nodule and associated cyst. Metastasis extension studies were negative. A frontal craniotomy and total tumor excision guided by endoscopy were performed. The histopathological examination revealed grade 1 meningothelial meningioma. The patient's evolution was satisfactory.
Conclusions: The misdiagnosis of cystic meningiomas can lead to inadequate treatments.
Keywords: hypertension; meningioma; neoplasms.
Recibido: 20/06/2025
Aprobado: 05/01/2026
INTRODUCCIÓN
Los meningiomas surgen de la segunda capa de células aracnoideas y representan el 37,6 % de los tumores cerebrales primarios en adultos. Constituyen el tipo más común de tumor intracraneal benigno.(1) Son de lento crecimiento y, por lo general, de naturaleza no infiltrante. Los síntomas más frecuentes son: cefaleas, déficits neurológicos y convulsiones causadas por efecto de masa o la afectación directa del tumor.(2) Los estudios de neuroimagen de elección, para el diagnóstico preoperatorio son la tomografía computarizada (TC) y la resonancia magnética por imágenes (RMI).(3)
Los meningiomas quísticos son raros y de etiología no clara. Representan entre el 2 % y el 4 % de los meningiomas intracraneales. Predominan en la quinta y sexta década de la vida y se asemejan a otras lesiones, como metástasis o tumores gliales con componentes quísticos. (4)
El examen histopatológico es de vital importancia para establecer el diagnóstico definitivo y conducta posterior. Errar en el diagnóstico de estas lesiones tumorales conlleva la necesidad de realizar técnicas neuroquirúrgicas de resección inadecuadas, de ahí la importancia del diagnóstico neuroimagenológico certero.(5)
Los meningiomas quísticos se pueden evaluar mediante la determinación de marcadores tumorales, tales como la proteína epitelial de membrana (EMA), el antígeno Ki-67 y el receptor de progesterona. Esta evaluación permite distinguir entre estas lesiones y otras neoplasias intracraneales con componente quístico.
La expresión elevada de Ki-67, en particular, se puede asociar con un mayor índice proliferativo y potencial de recurrencia, influenciada por la dificultad quirúrgica que implica la resección completa del componente quístico y su cápsula, así como por la posible presencia de variantes histológicas más agresivas.(6)
El objetivo de este artículo es presentar un caso neuroquirúrgico inusual y destacar la importancia de un diagnóstico preoperatorio correcto para garantizar una selección del tratamiento neuroquirúrgico adecuado.
CASO CLÍNICO
Paciente femenina de 54 años, mestiza, diestra, con antecedentes de asma bronquial controlada, presentó desde hacía un mes un cuadro clínico caracterizado por trastornos conductuales, cefalea holocraneal opresiva, intensa, sin irradiación, matutina, que no se controlaba con analgésicos; y hemiparesia derecha a predominio crural, de más de 20 días (Escala de Daniels 3/5) y moria.
RMI de cráneo simple y contrastada: lesión ocupante de espacio frontal izquierda de 48 mm x 60 mm x 21 mm, hipercaptante de contraste, con un quiste peritumoral lateral, colapso del sistema ventricular ipsilateral y herniación subfalcina (Fig . 1).
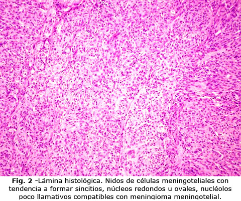
El diagnóstico radiológico reveló metástasis cerebral. Se optó por realizar una craneotomía frontal con apoyo endoscópico y exéresis de la lesión. Se aspiraron 25 mL de líquido xantocrómico del quiste, con exéresis del nódulo adyacente a la duramadre no infiltrada, de color grisáceo, fácil disección y poco vascularizado. Se practicó una exéresis macroscópica total, bajo la sospecha diagnóstica de metástasis cerebral, aunque las paredes del quiste no estaban definidas con un plano de clivaje efectivo con el tejido cerebral. El estudio anatomopatológico informó meningioma meningotelial quístico (Fig. 2).
La paciente tuvo evolución satisfactoria y egresó a los 5 días del posoperatorio.
COMENTARIOS
Se debe sospechar la existencia de un meningioma quístico cuando la porción quística del tumor tiene una proporción similar a la sólida, el componente sólido se localiza en las zonas clásicas de aparición de los meningiomas (convexidad cerebral, alas del esfenoides, hoz del cerebro y líneas de las suturas craneales). Además, se considera cuando la apariencia de la porción sólida es lobulada y se realza uniformemente con el medio de contraste, sobre todo si existen calcificaciones o reacción meníngea u ósea.(7) En este caso, no se identificaron características imagenológicas que sugirieran la presencia de un meningioma quístico; el informe de imagenología indicó la presencia de un glioma de alto grado de malignidad.
El-Fik M y otros(9) clasifican según la localización del quiste con su contenido:
Tipo A: quiste es similar al líquido cefalorraquídeo y de ubicación extratumoral, escaso edema. Se denomina tipo A1 membrana aracnoidea que separa el quiste del tumor y tipo A2 cuando está ausente.
Tipo B: contenido xantocrómico y contiene proteínas. Cuando son extratumorales sin una pared tumoral definida, se denominan tipo B1, y cuando tienen pared definida con captación de contraste en la TC, son tipo B2.
Tipo C: quiste ubicado de forma intratumoral con contenido carmelita oscuro o amarillo turbio. Dentro del tumor con contenido graso, existen cambios secretorios o necróticos. Edema peritumoral.
Tipo D: quistes mixtos.
Desde el punto de vista imagenológico, el diagnóstico radiológico sugiere entidades como tumores gliales con componente quístico asociado o de alto grado de malignidad (glioblastoma) con áreas de necrosis central, metástasis, linfomas y lesiones no neoplásicas como la cisticercosis, absceso cerebral, quistes aracnoideos, entre otros.(9,10,11) La administración de gadolinio en la resonancia magnética nuclear (RMI) permite distinguir las paredes quísticas y demostrar el componente quístico e implante dural del tumor en la superficie ósea.(12,13,14)
La exéresis quirúrgica debe ser total. En los pacientes inoperables o con resecciones parciales, es necesaria una terapia adyuvante para el meningioma residual. La evolución benigna en la mayoría de los casos operados se garantiza mediante examen histopatológico cuidadoso y seguimiento clínico e imagenológico prolongado. Sin embargo, se describen comportamientos agresivos o malignos. En el caso presentado, la resección fue completa y no hubo recidiva al año de la operación.
Los meningiomas quísticos son infrecuentes en la práctica neuroquirúrgica. Estos hallazgos deben ser considerados como diagnósticos diferenciales ante una lesión sólida con quiste asociado. Un diagnóstico erróneo puede tener como resultado conductas terapéuticas incorrectas.
A pesar de ser infrecuentes, el estudio de las lesiones quísticas intracraneales debe incluir el meningioma quístico como diagnóstico diferencial. En el caso que se presenta, con la impresión diagnóstica radiológica divergente de metástasis cerebral frente a glioma de alto grado, procedimiento que incluyó como principio quirúrgico resección subpial de la lesión (eliminación de la lesión hasta 5 mm de tejido cerebral perilesional).
Este aspecto cambió al obtener el resultado histopatológico transoperatorio de meningioma, cuya técnica quirúrgica se basa en la disección subaracnoidea de la lesión con preservación del tejido cerebral circundante, lo que demuestra la relación entre el diagnóstico preoperatorio correcto y la técnica quirúrgica a realizar.
Aspectos bioéticos
La paciente dio su consentimiento informado para publicar su caso, sin datos que la identifiquen.
REFERENCIAS BIBLIOGRAFICAS
1. Elizondo Barriel L, Gil Cruz J, Junco Martín R, Ríos Castillo M, Jorge Nuevas Matos J. Meningioma quístico [Internet]. Archivo Neurociencia (Mex). 2009 [acceso: 24/06/2024]; 14(3):202-5. Disponible en: https://www.medigraphic.com/pdfs/arcneu/ane-2009/ane093j.pdf
2. Zambrano Cedeño M, García Mosquera J. Avances en el diagnóstico y tratamiento de meningioma. Revisión sistemática [Internet]. Revista E-IDEA 4.0 Revista Multidisciplinar. 2022 [acceso: 17/09/2025];4(13):113-25. DOI: 10.53734/mj.vol4.id255
3. Suero Almonte S, Plaza González T, Reyes Llane M, Almora Carbonel L, Musa M. Diagnóstico de masas intracraneales primarias por medio imagenológicos [Internet]. Revista Ciencias Médicas. 2012 [acceso:18/04/2025];16(1): 44-53. Disponible en: http://scielo.sld.cu/scielo.php?script=sci_arttext&pid=S1561-31942012000100007&lng=es
4. Moscote Salazar L, Sabogal Barrios R, Sabogal R. Meningioma Quístico: reporte de caso y revisión de literatura [Internet]. Servicio de Neurocirugía, Universidad de Cartagena, Cartagena de Indias, Colombia. 2007 [acceso: 12/06/2024];16(3):114-16. Disponible en: https://revecuatneurol.com/wp-content/uploads/2015/06/meningioma.pdf
5. Solís AlfonsoI L, González López A, Rojas Manresa J, Mercedes Piñera B. Meningioma quístico [Internet]. Revista Cubana de Medicina Militar. 2010 [acceso: 10/03/2024]; 39(2):163-68. Disponible en: http://www.neurocirugia.com/diagnostico/meningioma/index.htm
6. Hartley B, Saleem Sh, Hintz E, Ziemba Y, Li J, et al. Índice Ki-67 como marcador predictivo de recurrencia del meningioma después de la resección quirúrgica [Internet]. Revista de Neurociencia clínica. 2024;124(2):15-19. DOI: 10.1016/j.jocn.2024.04.015
7. Nigri W, Alcaraz R, Salinas O, Olivetti M, Gonza H, Avataneo D, et al. Meningioma quístico, un desafío diagnóstico [Internet]. Revista Argentina Neurocirugia. 2004 [acceso: 04/04/2024]; 18(6):111-14. Disponible en: https://revecuatneurol.com/wp-content/uploads/2015/06/meningioma.pdf
8. Rengachary A, Batnitzky Y, Salomón L, Kepes M, John J, Morantz C, et al. Lesiones quísticas asociadas a meningiomas intracraneales. [Internet]. Neurosurgery.1979; 4(2):107-14. DOI: 10.1227/00006123-197902000-00001
9. El Filki M, El Henamy Y, Abdel Rahman N. Cystic meningioma [Internet]. Acta Neurochir (Wien). 1996; 138(7): 811–17. DOI: 10.1007/BF01411258
10. Rinaldi M, Mezzano E, Berra M, Olocco R, Pares H, Papalini F, et al. Variante poco frecuente de meningiomas: meningiomas quísticos [Internet]. Revista Argentina Neurocirugía. 2008 [acceso: 25/08/2024];22(3):107-12. Disponible en: https://aanc.org.ar/ranc/items/show/398
11. González Orlandi Y, Elizondo Barrier L, Junco Martín R, Rojas Manresa J, Duboy Limonta V, Pérez Villafuerte A, et al. Meningioma maligno [Internet]. Revista cubana de cirugía. 2011 [acceso: 10/01/2024];50(1):108-14. Disponible en: http://scielo.sld.cu/scielo.php?script=sci_arttext&pid=S0034-74932011000100010&lng=es
12. Carrasco Moro R, Jiménez Zapata HD, Pian Arias H, Martínez San Millán JS, Martínez Rodrigo MA, Pascual Garví JM, et al. Meningiomas quísticos: correlación radiológica y patológica con implicaciones quirúrgicas. Neurocirugía (Madrid). 2019; 30(1): 1-10. DOI: 10.1016/j.neucir.2018.08.002
13. Torres Jaimes A, Loida C. Norman L. Meningioma de la convexidad en placa: reporte de caso y revisión de la literatura [Internet]. Neurol Arg. 2024; 15(3):203-5. DOI: 10.1016/j.neuarg.2022.07.001
14. Casas Parera I, Báez A, Banfi N, Blumenkrantz Y, Halfon M, Barros M, et al. Meningiomas en neurooncología [Internet]. Revista Neurología Argentina. 2016; 8(3): 210-26. DOI: 10.1016/j.neuarg.2016.04.001
Conflictos de interés
Los autores declaran que no existen conflictos de interés.
Información financiaría
Los autores declaran que no hubo subvenciones involucradas en este trabajo
Disponibilidad de los datos
La historia clínica del paciente corresponden al Hospital Hermanos Ameijeiras.